骶骨动脉瘤样骨囊肿1例报告
http://www.100md.com
37c医学网
作者:赵江民 唐家川 姚绍平
单位:赵江民(云南省第一人民医院MRI室 650032); 唐家川(云南省第一人民医院CT室 650032); 姚绍平(云南省第一人民医院骨科 650032)
关键词:
实用放射学杂志000132 One Case:Aneurysm Bone Cyst of Sacrum▲
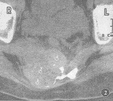
病人,女,20岁。右骶部疼痛性包块伴鞍区麻木3个月。3个月前无诱因感骶部隐痛,右侧骶部隆起,渐出现二便障碍。体检:鞍区浅、深感觉减退,四肢肌力Ⅴ级,右骶部触及肿块大小约5 cm×5 cm,质硬、固定,压之疼痛及鞍区麻木加重。B超检查:子宫右后方探及6.9 cm×4.0 cm大小低回声包块,边缘清楚,内部回声均匀。X线检查:骶3~5右侧骨质膨胀性破坏,边缘清楚,无明显硬化(图1)。CT检查:骶骨右侧明显骨质破坏,可见约6.5 cm×5.6 cm大小的巨大软组织块,分叶状,境界清楚,密度不均匀,CT值22~64 HU,有小点状钙化,肿瘤有网格样增强(图2)。MRI检查:骶3~5右侧膨胀性骨质破坏,可见约8 cm×6 cm×6 cm大小的囊实性肿块,边缘清楚,囊性占大部分,呈多房状,囊性部分呈长短T1混杂信号,T2信号不均匀明显增高,T2WI可见多个液平,其间隔呈长T1短T2信号。直肠向左前推移。子宫右侧可见一类圆形长T1长T2信号(图3)。DSA检查:骶骨前方可见增粗,紊乱之肿瘤血管网,动脉呈瘤样扩张。
, http://www.100md.com
图1 骶3~5右侧可见类圆形的巨大的骨质破坏区,边缘(↑)清楚且无硬化
图2 CT示骶骨右侧骨质破坏,可见约6.5 cm×5.6 cm大小分叶状软组织肿块
图3 MRI横轴位T1WI(TR/TE=500/15 ms)、T2WI(TR/TE=2000/110 ms),骶骨右侧多房囊实性肿块,呈T1混杂T2高信号,间隔呈长T1短T2信号,T2WI可见多个液平
1 手术所见
, 百拇医药
骶3~5膨胀,以腹侧为甚,骨壁被侵蚀,肿瘤质地软,呈囊性,有分叶,与腹腔脏器有粘连。肿块约8 cm×8 cm×7 cm,表面粗糙,切开为囊实相间,出血性包块。行肿瘤切除。术后病理诊断:骶骨动脉瘤样骨囊肿。
2 讨论
动脉瘤样骨囊肿多见于青少年,一半以上的病人小于15岁,女性多见,多发于长骨,特别是股骨,其增长迅速,故有近一半病例根据其病变的X线表现无法做出良性肿瘤的诊断。国外学者[1]认为病灶周围反应性新生骨壳是X线诊断动脉瘤样骨囊肿的一个重要征象。在MRI上,动脉瘤样骨囊肿的囊性部分呈长T1长T2信号,间隔呈长T1短T2信号,部分病例的T2WI可见液平,液平下方信号较上方低,主要由于液平下方含有含铁血黄素所致[2]。本例X线及CT片均未见反应性的新生骨壳,而MRI却具有典型的表现,其中部分短T1信号,病理证实为慢性出血。虽然动脉瘤样骨囊肿是一种非肿瘤性膨胀性骨疾病,但有时X线及CT检查少有特异性表现,而MRI能部分反映病变的组织学特点,对其诊断具有较高的价值。■
参考文献:
[1]Vergel De,Dlos AM,Bond JR,et al.Aneurysmal bone cyst.Cancer,1992;69(12):2921~2931
[2]高元桂,蔡幼铨,蔡祖龙,等.磁共振成像诊断学.北京:人民军医出版社,1992:648, http://www.100md.com
单位:赵江民(云南省第一人民医院MRI室 650032); 唐家川(云南省第一人民医院CT室 650032); 姚绍平(云南省第一人民医院骨科 650032)
关键词:
实用放射学杂志000132 One Case:Aneurysm Bone Cyst of Sacrum▲
病人,女,20岁。右骶部疼痛性包块伴鞍区麻木3个月。3个月前无诱因感骶部隐痛,右侧骶部隆起,渐出现二便障碍。体检:鞍区浅、深感觉减退,四肢肌力Ⅴ级,右骶部触及肿块大小约5 cm×5 cm,质硬、固定,压之疼痛及鞍区麻木加重。B超检查:子宫右后方探及6.9 cm×4.0 cm大小低回声包块,边缘清楚,内部回声均匀。X线检查:骶3~5右侧骨质膨胀性破坏,边缘清楚,无明显硬化(图1)。CT检查:骶骨右侧明显骨质破坏,可见约6.5 cm×5.6 cm大小的巨大软组织块,分叶状,境界清楚,密度不均匀,CT值22~64 HU,有小点状钙化,肿瘤有网格样增强(图2)。MRI检查:骶3~5右侧膨胀性骨质破坏,可见约8 cm×6 cm×6 cm大小的囊实性肿块,边缘清楚,囊性占大部分,呈多房状,囊性部分呈长短T1混杂信号,T2信号不均匀明显增高,T2WI可见多个液平,其间隔呈长T1短T2信号。直肠向左前推移。子宫右侧可见一类圆形长T1长T2信号(图3)。DSA检查:骶骨前方可见增粗,紊乱之肿瘤血管网,动脉呈瘤样扩张。
, http://www.100md.com
图1 骶3~5右侧可见类圆形的巨大的骨质破坏区,边缘(↑)清楚且无硬化
图2 CT示骶骨右侧骨质破坏,可见约6.5 cm×5.6 cm大小分叶状软组织肿块
图3 MRI横轴位T1WI(TR/TE=500/15 ms)、T2WI(TR/TE=2000/110 ms),骶骨右侧多房囊实性肿块,呈T1混杂T2高信号,间隔呈长T1短T2信号,T2WI可见多个液平
1 手术所见
, 百拇医药
骶3~5膨胀,以腹侧为甚,骨壁被侵蚀,肿瘤质地软,呈囊性,有分叶,与腹腔脏器有粘连。肿块约8 cm×8 cm×7 cm,表面粗糙,切开为囊实相间,出血性包块。行肿瘤切除。术后病理诊断:骶骨动脉瘤样骨囊肿。
2 讨论
动脉瘤样骨囊肿多见于青少年,一半以上的病人小于15岁,女性多见,多发于长骨,特别是股骨,其增长迅速,故有近一半病例根据其病变的X线表现无法做出良性肿瘤的诊断。国外学者[1]认为病灶周围反应性新生骨壳是X线诊断动脉瘤样骨囊肿的一个重要征象。在MRI上,动脉瘤样骨囊肿的囊性部分呈长T1长T2信号,间隔呈长T1短T2信号,部分病例的T2WI可见液平,液平下方信号较上方低,主要由于液平下方含有含铁血黄素所致[2]。本例X线及CT片均未见反应性的新生骨壳,而MRI却具有典型的表现,其中部分短T1信号,病理证实为慢性出血。虽然动脉瘤样骨囊肿是一种非肿瘤性膨胀性骨疾病,但有时X线及CT检查少有特异性表现,而MRI能部分反映病变的组织学特点,对其诊断具有较高的价值。■
参考文献:
[1]Vergel De,Dlos AM,Bond JR,et al.Aneurysmal bone cyst.Cancer,1992;69(12):2921~2931
[2]高元桂,蔡幼铨,蔡祖龙,等.磁共振成像诊断学.北京:人民军医出版社,1992:648, http://www.100md.com