彩色多普勒超声心动图诊断房间隔完整的三房心2例
http://www.100md.com
37c医学网
作者:曾慧茹 祖双 侯传举
单位:曾慧茹(沈阳军区202医院,辽宁沈阳110003);祖双 侯传举(沈阳军区总医院,辽宁沈阳110015)
关键词:三房心;超声检查;多普勒;彩色
中国临床医学影像杂志000531
[中图分类号]R540.4+5;R541[文献标识码]B[文章编号]1008-1062(2000)05-0371-01
Two cases cor triatriatum with complete atrial septum using color Doppler echocardiography
ZENG Hui-ru
, 百拇医药
(Department of Sonography,No.202 PLA Hospital of Shenyang,Shenyang 110003,China)
ZU Shuang
(Department of Sonography,No.202 PLA Hospital of Shenyang,Shenyang 110003,China)
HOU Chuan-ju.
(Department of Sonography,No.202 PLA Hospital of Shenyang,Shenyang 110003,China)
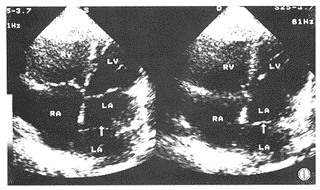
病例例1,男,35岁。2岁发现心脏杂音,运动后心慌、气短30年,加重2年入院检查。查体:体温36.5℃,心律不齐,92次/分,血压14/10kPa。无紫绀及杵状指(趾),双下肢无浮肿,无颈动脉怒张,肝肋下1.0cm,脾未触及,双肺呼吸音清,胸骨左缘3肋间闻及Ⅱ~Ⅲ级收缩期杂音,肺动脉瓣区第二音增强分裂。心电图示心房颤动,右心室肥厚。X线胸片示双肺淤血,心影增大呈二尖瓣型,侧位食道受压,心胸比值0.57。二维超声显示左房、右室内径增大,房、室间隔回声完整,在左房内显示一隔膜状回声将左心房分成二尖瓣侧的主房和肺静脉侧的副房两部分(图1),彩色多普勒血流显像于舒张期显示过左心房内隔膜状中间处五彩镶嵌射流束血流信号,基底部约0.8cm,收缩期显示过二尖瓣少量五彩镶嵌返流束血流信号。诊断房间隔完整的三房心,二尖瓣关闭不全(轻度)。手术所见:心脏中等度增大,以左房、右室增大为主,主肺动脉增粗,在左房内显示一膜状回声将左房分成二尖瓣侧的主房和肺静脉侧的副房两部分,膜状回声中间有一直径约0.5cm孔,房间隔完整。
, 百拇医药
图1 RA:右心房;RV:右心室;LA:左心房;LV:左心室;S:收缩期;D:舒张期。
例2,女,4岁。2岁在当地医院查体时发现心脏杂音。1岁会行走,动后心悸气喘。查体:无紫绀及杵状指(趾)。肝脾未触及,心界稍向左扩大。胸骨左缘3~4肋间可闻及Ⅱ~Ⅲ级喷射性收缩期杂音,肺动脉第二音偏强,心尖区未闻及流量性杂音。体温36.6℃,血压14/10kPa,心率120次/分。心电图示电轴+90°,提示左心室肥大,X线胸片示双肺血增多,主动脉结不大,肺动脉段稍凸,心胸比率0.53。二维超声显示心脏各心腔及大血管内径均在正常范围内,房间隔及室间隔回声完整。在心尖四腔心切面在左心房内显示一条光带状回声将左心房分成两部分(中间有1.0mm回声中断),分别为近肺静脉的副房和近二尖瓣的主房。彩色多普勒显示肺静脉血流信号进入副房后经过左心房内光带回声中断处进入主房再通过二尖瓣进入左心室。在左心房内光带回声中断处形成狭窄后五彩镶嵌射流束血流信号,诊断为房间隔完整的三房心。手术所见:心脏大小正常,肺动脉略增粗,在左心房中间有一厚0.2cm隔膜将左心房分成两部分,隔膜中间有一1.0cm小孔,房间隔回声完整。
讨论三房心是少见的先天性心脏病,多合并房间隔缺损,而房间隔完整的三房心罕见。合并房间隔缺损的三房心临床上表现酷似房间隔缺损,有时可合并紫绀。而房间隔完整的三房心临床表现酷似二尖瓣狭窄,均无紫绀。就其诊断而言,现有的心脏科检查设备中彩色多普勒超声心动图对本病有特异性诊断价值。其中的二维超声心动图可清楚显示左心房内的隔膜状回声和隔膜中间的孔径大小,彩色多普勒血流显像显示过隔膜中间孔的五彩镶嵌射流束血流信号,因无房间隔缺损即没有分流束血流信号。
(1999-09-14收稿), 百拇医药
单位:曾慧茹(沈阳军区202医院,辽宁沈阳110003);祖双 侯传举(沈阳军区总医院,辽宁沈阳110015)
关键词:三房心;超声检查;多普勒;彩色
中国临床医学影像杂志000531
[中图分类号]R540.4+5;R541[文献标识码]B[文章编号]1008-1062(2000)05-0371-01
Two cases cor triatriatum with complete atrial septum using color Doppler echocardiography
ZENG Hui-ru
, 百拇医药
(Department of Sonography,No.202 PLA Hospital of Shenyang,Shenyang 110003,China)
ZU Shuang
(Department of Sonography,No.202 PLA Hospital of Shenyang,Shenyang 110003,China)
HOU Chuan-ju.
(Department of Sonography,No.202 PLA Hospital of Shenyang,Shenyang 110003,China)
病例例1,男,35岁。2岁发现心脏杂音,运动后心慌、气短30年,加重2年入院检查。查体:体温36.5℃,心律不齐,92次/分,血压14/10kPa。无紫绀及杵状指(趾),双下肢无浮肿,无颈动脉怒张,肝肋下1.0cm,脾未触及,双肺呼吸音清,胸骨左缘3肋间闻及Ⅱ~Ⅲ级收缩期杂音,肺动脉瓣区第二音增强分裂。心电图示心房颤动,右心室肥厚。X线胸片示双肺淤血,心影增大呈二尖瓣型,侧位食道受压,心胸比值0.57。二维超声显示左房、右室内径增大,房、室间隔回声完整,在左房内显示一隔膜状回声将左心房分成二尖瓣侧的主房和肺静脉侧的副房两部分(图1),彩色多普勒血流显像于舒张期显示过左心房内隔膜状中间处五彩镶嵌射流束血流信号,基底部约0.8cm,收缩期显示过二尖瓣少量五彩镶嵌返流束血流信号。诊断房间隔完整的三房心,二尖瓣关闭不全(轻度)。手术所见:心脏中等度增大,以左房、右室增大为主,主肺动脉增粗,在左房内显示一膜状回声将左房分成二尖瓣侧的主房和肺静脉侧的副房两部分,膜状回声中间有一直径约0.5cm孔,房间隔完整。
, 百拇医药
图1 RA:右心房;RV:右心室;LA:左心房;LV:左心室;S:收缩期;D:舒张期。
例2,女,4岁。2岁在当地医院查体时发现心脏杂音。1岁会行走,动后心悸气喘。查体:无紫绀及杵状指(趾)。肝脾未触及,心界稍向左扩大。胸骨左缘3~4肋间可闻及Ⅱ~Ⅲ级喷射性收缩期杂音,肺动脉第二音偏强,心尖区未闻及流量性杂音。体温36.6℃,血压14/10kPa,心率120次/分。心电图示电轴+90°,提示左心室肥大,X线胸片示双肺血增多,主动脉结不大,肺动脉段稍凸,心胸比率0.53。二维超声显示心脏各心腔及大血管内径均在正常范围内,房间隔及室间隔回声完整。在心尖四腔心切面在左心房内显示一条光带状回声将左心房分成两部分(中间有1.0mm回声中断),分别为近肺静脉的副房和近二尖瓣的主房。彩色多普勒显示肺静脉血流信号进入副房后经过左心房内光带回声中断处进入主房再通过二尖瓣进入左心室。在左心房内光带回声中断处形成狭窄后五彩镶嵌射流束血流信号,诊断为房间隔完整的三房心。手术所见:心脏大小正常,肺动脉略增粗,在左心房中间有一厚0.2cm隔膜将左心房分成两部分,隔膜中间有一1.0cm小孔,房间隔回声完整。
讨论三房心是少见的先天性心脏病,多合并房间隔缺损,而房间隔完整的三房心罕见。合并房间隔缺损的三房心临床上表现酷似房间隔缺损,有时可合并紫绀。而房间隔完整的三房心临床表现酷似二尖瓣狭窄,均无紫绀。就其诊断而言,现有的心脏科检查设备中彩色多普勒超声心动图对本病有特异性诊断价值。其中的二维超声心动图可清楚显示左心房内的隔膜状回声和隔膜中间的孔径大小,彩色多普勒血流显像显示过隔膜中间孔的五彩镶嵌射流束血流信号,因无房间隔缺损即没有分流束血流信号。
(1999-09-14收稿), 百拇医药