直肠前突的超声诊断
http://www.100md.com
37c医学网
作者:程荣昆 李贤兰 钱英 刘妍
单位:655600 云南省陆良县中医院医技科
关键词:直肠前突;超声诊断
中国超声医学杂志991111
摘 要 目的:探讨超声对直肠前突的诊断价值。方法:本文应用B型超声对36例女性排粪障碍的患者进行直肠检测,并测量前突的深度。结果:发现24例患者直肠前壁突向阴道,依其深度可分三度,即:10~20mm为轻度,20~30mm为中度,≥31mm为重度。本组3例手术修补治愈。结论:本法诊断直肠前突迅速、可靠、操作简便、经济、无创伤等优点,可作为首选的影像学诊断方法。前突深度分度法对临床治疗可提供重要依据。
Ultrasonic Diagnosis of Rectocele
, http://www.100md.com
Cheng Yongkun,Li Xianlan,Qian Ying,et al
Luliang Chinese Medical Hospital Yunnan 655600
ABSTRACT Objective:To investigate the diagnostic value of ultrasonography in rectocele.Methods:The rectus was examined by B-ultrasound due to difficult defecation for 36 females..Twenty-four proved to be due to presence of rectocele.Three patients cured by operation.Results:The rectocele depths usually measured 10mm to more than 30mm.Their ultrasound pictures were demonstrated in this paper.Conclusion:Dection of rectocele depth provides important in formations for clinical treatment planning.
, 百拇医药
KEY WORDS Rectocele Ultrasonography
直肠前突(Rectocele,RC)指排便时直肠前壁呈囊袋状向前(向阴道)突出而导致排便困难,是女性的常见病。国内卢任华曾对其病因诊断、检查方法及治疗作过研究〔1〕。本病既往常采用排粪造影确诊,超声诊断国内未见报道。我们自1993年10月到1998年10月对36例女性排粪障碍的患者进行超声检查,结果报告如下。
资料与方法
本组36例均为女性,年龄20~56岁,平均38岁,均有婚育史。其中生1胎者8例,2胎者21例,3~4胎者7例。病程最短2年,最长20年。30例有难产史。症状:30例有便秘,便次少,排不尽感,4例有肛门坠胀、疼痛,1例有便血史,1例有终日便意感,肛门胀痛、失眠。体征:20例指诊 可触及前突,1例有痔,7例子宫后屈位,29例前位或平位,1例子宫肌瘤,余阴性。32例需用药或灌肠,4例需手助才能完成排便。
, http://www.100md.com
应用EUB-305型及Acuson-128XP 10c超声诊断仪,机械扇扫及扇扩探头,频率3.5~4.0MHz。检查时患者取仰卧位,膀胱适度充盈,在耻骨联合上方行纵切及横切。先观察子宫附件,然后声束指向阴道部,观察阴道后方直肠前壁突向阴道的深度及长度,测量其深度,测量方法参照国内排粪造影RC测量法〔2〕,如图1示。
AB:长度,CD:深度,Rect;直肠,V:阴道,BL:膀胱
图1 直肠前突的测量示意图
结 果
36例患者中,24例有不同程度的RC。参照国内排粪造影分度法〔2〕,将RC分为三度。轻度:10~20mm,8例;中度:21~30mm,13例;重度:≥31mm,3例。本组8例轻度RC采用中药补中益气汤加减,多吃蔬菜水果及盆底肌肉锻练,症状明显缓解。5例中度RC采用注射硬化剂治疗,症状有改善。3例重度RC采用手术修补治愈。
, 百拇医药
讨 论
RC的发生机理:由于女性盆腔解剖生理的特殊性,直肠前壁在作用力下,往往向结构薄弱之阴道直肠窝部突起,加之先天性阴道后壁发育不良或难产导致产道损伤及不良排便习惯,使直肠前壁呈囊袋状向阴道突出,形成RC。
RC的超声诊断标准和分度的探讨:我们观察测量50例正常男女性仰卧位直肠声像图表现:在直肠肛管交界处前方可有1~10mm深的前突(图2),因此我们将≥10mm者列入异常统计。在临床治疗中,为了明确病变的严重程度,我们进行了分度的探讨。在观察中,我们发现症状严重者突出深度越深,而长度变短或变化不大,因此考虑以深度作为分度代表其严重程度。即前突深度10~20mm为轻度,21~30mm为中度,≥31mm为重度。本组轻度8例,中度13例(图3),重度3例(图4)。这种以深度为准的分度方法经临床观察、治疗是可行的。一般轻度者可采用中药治疗,中度以上可手术治疗,该分度法我们将在今后的工作中进一步研究探讨其可行性。
, http://www.100md.com
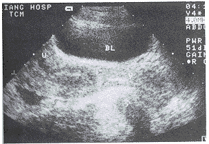
V:阴道,BL:膀胱,U:子宫 *:直肠前壁
图2 正常女性直肠前壁1~10mm突起
V:阴道,BL:膀胱,U:子宫
图3 中度RC(箭头所指)
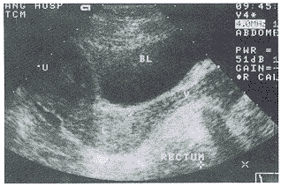
Reclum:直肠,V:阴道,BL;膀胱,U:子宫
图4 重度RC
RC的并发症:根据文献报道〔2〕RC常合并直肠内套叠或会阴下降。排粪造影对它们显示较好。超声下无法诊断会阴下降,对直肠内套叠由于受粪便的干扰有时也不易显示。本组病例未发现这些合并症,可能与超声的局限性有关。
, http://www.100md.com
超声对RC的诊断价值:既往对RC的检查主要依靠X线检查、排粪造影能发现RC的存在及其合并症,为临床治疗提供可靠依据,但存在损伤大、操作程序复杂、痛苦、费用高等缺点。而超声无须特殊准备,方法简便、直观显示、无创伤性、费用低、可重复检查等特点可列为首选检查方法,必要时辅以X线、排粪造影检查可提高其并发症的检出率。
参考文献
1 卢任华,万向荣,龙春金,等.直肠前突239例分析.中华外科杂志,1990,2(28):102
2 尚志中,陈九如主编.胃肠道造影原理与诊断。第1版,上海科学技术文献出版社,1995,345
(本文承蒙昆明市中医院放射科赵骧老师指导,特此致谢!)
(1999-04-26收稿), 百拇医药
单位:655600 云南省陆良县中医院医技科
关键词:直肠前突;超声诊断
中国超声医学杂志991111
摘 要 目的:探讨超声对直肠前突的诊断价值。方法:本文应用B型超声对36例女性排粪障碍的患者进行直肠检测,并测量前突的深度。结果:发现24例患者直肠前壁突向阴道,依其深度可分三度,即:10~20mm为轻度,20~30mm为中度,≥31mm为重度。本组3例手术修补治愈。结论:本法诊断直肠前突迅速、可靠、操作简便、经济、无创伤等优点,可作为首选的影像学诊断方法。前突深度分度法对临床治疗可提供重要依据。
Ultrasonic Diagnosis of Rectocele
, http://www.100md.com
Cheng Yongkun,Li Xianlan,Qian Ying,et al
Luliang Chinese Medical Hospital Yunnan 655600
ABSTRACT Objective:To investigate the diagnostic value of ultrasonography in rectocele.Methods:The rectus was examined by B-ultrasound due to difficult defecation for 36 females..Twenty-four proved to be due to presence of rectocele.Three patients cured by operation.Results:The rectocele depths usually measured 10mm to more than 30mm.Their ultrasound pictures were demonstrated in this paper.Conclusion:Dection of rectocele depth provides important in formations for clinical treatment planning.
, 百拇医药
KEY WORDS Rectocele Ultrasonography
直肠前突(Rectocele,RC)指排便时直肠前壁呈囊袋状向前(向阴道)突出而导致排便困难,是女性的常见病。国内卢任华曾对其病因诊断、检查方法及治疗作过研究〔1〕。本病既往常采用排粪造影确诊,超声诊断国内未见报道。我们自1993年10月到1998年10月对36例女性排粪障碍的患者进行超声检查,结果报告如下。
资料与方法
本组36例均为女性,年龄20~56岁,平均38岁,均有婚育史。其中生1胎者8例,2胎者21例,3~4胎者7例。病程最短2年,最长20年。30例有难产史。症状:30例有便秘,便次少,排不尽感,4例有肛门坠胀、疼痛,1例有便血史,1例有终日便意感,肛门胀痛、失眠。体征:20例指诊 可触及前突,1例有痔,7例子宫后屈位,29例前位或平位,1例子宫肌瘤,余阴性。32例需用药或灌肠,4例需手助才能完成排便。
, http://www.100md.com
应用EUB-305型及Acuson-128XP 10c超声诊断仪,机械扇扫及扇扩探头,频率3.5~4.0MHz。检查时患者取仰卧位,膀胱适度充盈,在耻骨联合上方行纵切及横切。先观察子宫附件,然后声束指向阴道部,观察阴道后方直肠前壁突向阴道的深度及长度,测量其深度,测量方法参照国内排粪造影RC测量法〔2〕,如图1示。
AB:长度,CD:深度,Rect;直肠,V:阴道,BL:膀胱
图1 直肠前突的测量示意图
结 果
36例患者中,24例有不同程度的RC。参照国内排粪造影分度法〔2〕,将RC分为三度。轻度:10~20mm,8例;中度:21~30mm,13例;重度:≥31mm,3例。本组8例轻度RC采用中药补中益气汤加减,多吃蔬菜水果及盆底肌肉锻练,症状明显缓解。5例中度RC采用注射硬化剂治疗,症状有改善。3例重度RC采用手术修补治愈。
, 百拇医药
讨 论
RC的发生机理:由于女性盆腔解剖生理的特殊性,直肠前壁在作用力下,往往向结构薄弱之阴道直肠窝部突起,加之先天性阴道后壁发育不良或难产导致产道损伤及不良排便习惯,使直肠前壁呈囊袋状向阴道突出,形成RC。
RC的超声诊断标准和分度的探讨:我们观察测量50例正常男女性仰卧位直肠声像图表现:在直肠肛管交界处前方可有1~10mm深的前突(图2),因此我们将≥10mm者列入异常统计。在临床治疗中,为了明确病变的严重程度,我们进行了分度的探讨。在观察中,我们发现症状严重者突出深度越深,而长度变短或变化不大,因此考虑以深度作为分度代表其严重程度。即前突深度10~20mm为轻度,21~30mm为中度,≥31mm为重度。本组轻度8例,中度13例(图3),重度3例(图4)。这种以深度为准的分度方法经临床观察、治疗是可行的。一般轻度者可采用中药治疗,中度以上可手术治疗,该分度法我们将在今后的工作中进一步研究探讨其可行性。
, http://www.100md.com
V:阴道,BL:膀胱,U:子宫 *:直肠前壁
图2 正常女性直肠前壁1~10mm突起
V:阴道,BL:膀胱,U:子宫
图3 中度RC(箭头所指)
Reclum:直肠,V:阴道,BL;膀胱,U:子宫
图4 重度RC
RC的并发症:根据文献报道〔2〕RC常合并直肠内套叠或会阴下降。排粪造影对它们显示较好。超声下无法诊断会阴下降,对直肠内套叠由于受粪便的干扰有时也不易显示。本组病例未发现这些合并症,可能与超声的局限性有关。
, http://www.100md.com
超声对RC的诊断价值:既往对RC的检查主要依靠X线检查、排粪造影能发现RC的存在及其合并症,为临床治疗提供可靠依据,但存在损伤大、操作程序复杂、痛苦、费用高等缺点。而超声无须特殊准备,方法简便、直观显示、无创伤性、费用低、可重复检查等特点可列为首选检查方法,必要时辅以X线、排粪造影检查可提高其并发症的检出率。
参考文献
1 卢任华,万向荣,龙春金,等.直肠前突239例分析.中华外科杂志,1990,2(28):102
2 尚志中,陈九如主编.胃肠道造影原理与诊断。第1版,上海科学技术文献出版社,1995,345
(本文承蒙昆明市中医院放射科赵骧老师指导,特此致谢!)
(1999-04-26收稿), 百拇医药