创伤性湿肺的X线诊断
http://www.100md.com
37c医学网
作者:陈仲武 陈益光
单位:福建医科大学附属第一医院放射科,福建福州350005
关键词:肺水肿;胸部损伤
中国临床医学影像杂志000118
[中图分类号]R816.4 [文献标识码]A [文章编号]1008-1062(2000)01-0053-02
X- ray diagnosis of traumatic wet lung
CHEN Zhong-wu,CHEN Yi-guang
Department of Radiology,The First Affiliated Hospital of Fujian Medical University,Fuzhou 350005,China
, 百拇医药
创伤性湿肺是胸部外伤中常见的一种综合病变,首先由Burford等于1945年报道,经Danie在动物实验中得到证实[1]。本文收集我院1995年6月~1999年4月经临床和X线摄片、透视追踪观察确诊的创伤性湿肺78例,结合文献复习探讨了创伤性湿肺的形成原因、X线表现、X线分型及鉴别诊断,现报告如下。
1 一般资料
本组78例中,男56例,女22例。年龄4~69例,平均37.1±13.2岁,其中以20~50岁发生率最高。本组撞伤45例,砸伤19例,跌伤9例,刀伤4例,爆炸伤1例。临床多数患者表现为胸痛、咳嗽和进行性呼吸困难,少数患者有血痰、呼吸音减低、痰鸣音及水泡音。受伤至X线检查时间,最短者30分,最长者3天,大多数病人在伤后24小时内就诊。病变分布以中下肺野多见,共59例,其中单侧肺发病者64例,双侧肺发病者14例。本组病例湿肺出现最早者为伤后30分,最晚为36小时,消散时间最早为48小时,最迟为14天。本组病例合并肋骨骨折45例,上肢骨折28例,下肢骨折11例,脊柱骨折8例,骨盆骨折3例,颅骨骨折3例;单骨骨折36例,多骨骨折22例,单骨多发骨折17例;合并液气胸25例,皮下气肿14例,纵隔气肿及纵隔疝4例。
, http://www.100md.com
2 X线表现
本组X线所见可分为以下4种情况。
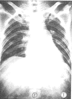
①肺纹理增粗增浓,血管影像模糊,伴有广泛的斑点状或小片状影像,密度较淡,边缘模糊。本组有27例,占34.6%(图1)。
图1 间质型:显示肺纹理增粗模糊,伴有斑点状及小片状阴影形成。
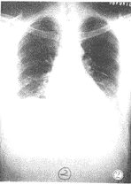
②局限在肺的一段或一叶内的片状或大片状模糊阴影,密度不均,边缘模糊,以中下肺野多见,类似大叶性肺炎或肺段肺炎。本组有13例,占16.7%(图2)。
图2 节段实变型:表现左下肺野心缘旁片状模糊密度增高影,局限在左肺上叶舌段水平。
, http://www.100md.com
③弥漫斑片状和/或斑点状模糊影像,多沿支气管走行分布,常累及一侧或双侧肺野的大部,密度淡而不均,部分可融合成片状。本组10例,占12.8%(图3)。
图3 弥漫实变型:表现双肺野弥漫斑点状及片状模糊密度增高影,沿支气管走行分布,密度淡而不均,部分融合成片状。
④一侧或双侧肺野呈磨玻璃状改变,表现为密度较淡的均匀一致的云雾样增浓影,似肺野盖上一层面纱,亦称“面纱征”。本组28例,占35.9%(图4)。
图4 云雾型:表现双肺野密度较淡的均匀一致的云雾状阴影,似肺野蒙上一层面纱。
3 讨论
, http://www.100md.com
创伤性湿肺是胸部外伤中的一种综合病变,Burford1945年观察尸检病肺的病理改变有充血、间质水肿或出血和实变,故提出为“创伤性湿肺”,国内有作者提出创伤性湿肺也称之为湿肺或湿肺综合征。一般创伤程度轻者,肺内出现湿肺的时间较晚或不出现湿肺改变,创伤程度重者,湿肺出现的时间较早,症状也比较严重。合并有三根以上肋骨骨折或单骨多发骨折或有皮下气肿或/和纵隔气肿发生时,多有肺内出血或血气胸。因此可以认为,创伤程度的轻重,与湿肺出现的早晚成比例关系。
由于致伤的种类及创伤的程度不同,形成创伤性湿肺的因素可以是多方面的:①肺循环障碍:是湿肺形成的根本原因,当胸部承受外来撞击后,血管内壁出现一些脱落细胞碎片与血小板、红白细胞聚集,形成微血栓阻塞该处的血液,使血流变慢,甚或呈淤血状态,血管内压力增高,血浆中的水分和低分子物质溢出血管外而形成湿肺;②缺氧:由于胸部外伤后,肺换气功能障碍,致氧气吸入不足,而肺在缺氧的情况下,血液中的粒细胞释放组织胺类物质和多肽类体液物质,使肺的局部低氧区血管和小支气管收缩,从而增加了血运的阻力,影响了毛细血管的通透性,使血浆和组织液漏到肺泡或间质内形成湿肺;③颅脑损伤:当外力非直接撞击胸部而是引起颅脑损伤时,可直接刺激中枢神经系统,造成肺过度通气,使肺表面活性物质向肺泡内释放;或由于抗利尿激素增加与神经血管反应失调,产生碱中毒后引起大脑血管收缩和大脑缺氧,促使肺血管发生反射性挛缩,使体循环的液体移向肺组织造成肺动脉高压,产生肺水肿,本组有13例合并颅脑损伤者,其肺内均出现不同程度的湿肺改变;④肺毛细血管的直接破坏:当伤势较重,直接破坏肺毛细血管时,能使体液和血浆渗出或溢出,可在短时间内出现湿肺改变。
, http://www.100md.com
创伤性湿肺的X线表现是肺挫伤及肺裂伤的复合性改变,其X线表现及分型,一般可分为下列4型:①间质型:显示肺纹理增粗模糊伴有斑点状或小片状阴影;②节段实变型:局限在肺的一段或一叶内之片状模糊阴影,以中下肺野多见;③弥漫实变型:在单侧或双侧肺野显示大小不等的斑片状和/或斑点状模糊影,密度淡而不均,部分可融合成片状;④云雾型:一侧或双侧肺野呈磨玻璃样改变,显示为密度较淡的均匀一致的云雾状增浓影,似肺野朦上一层面纱,其中隐约可显示出前三种类型的影像。本组病例X线所见类型与文献报道相同〔2〕,其中间质型27例,节段实变型13例,弥漫实变型10例,云雾型28例。本组病例其X线所见以间质型与云雾型多见。
创伤性湿肺病理改变复杂,X线表现多样,需与以下病变进行鉴别:①与肺出血鉴别:肺出血是由于肺血管损伤所致血液渗透到肺泡和肺间质,X线表现为小片状或大片状实变影,中心密度较高,边缘密度较淡,可跨叶存在,具有特征性,消散较慢,一般为1~3周,且肺出血者常可引起胸膜腔改变,少者肋膈角变钝或变平,血量多者常掩盖膈肌。而湿肺一般密度较淡,发生时间较晚,消散也快;②与创伤性肺血肿鉴别:创伤性肺血肿一是伤后肺组织有撕裂,伤口周围充满血液,形成肺组织内血肿,二是肺破裂时形成创伤性肺大泡,肺大泡被血液灌注和肺的弹性回缩作用而形成肺血肿,X线表现为圆形、椭圆形或梭形致密影,清晰锐利,形态固定,随着时间的推移由于水分吸收血肿影像逐渐缩小,密度增高,可单发或多发,多为中等大小,比湿肺出现为晚,消散也慢,少者数天,多者可数月;③与创伤性肺不张鉴别:创伤性肺不张为伤后肺泡塌陷,泡壁变薄,可有中小动静脉破裂出血,支气管断裂或管内有凝血块阻塞,一般在伤后24小时以上出现,通常较湿肺形成的时间为晚,且病变密度较均匀,无其他病变衬托,多在下叶出现;④与肺炎鉴别:多发斑片状及大叶性或节段性分布的创伤性湿肺,其X线表现与肺炎极相似,此时应依据临床症状及病史,肺炎患者一般无外伤史,且早期即有发热症状。
陈仲武:福建医科大学附属第一医院放射科医师
〔参考文献〕
〔1〕李兰贵.创伤性湿肺的X线诊断.中华放射学杂志,1981,15(4)∶261~263.
〔2〕张宝田,王东,张靖,等创伤性湿肺的X线分析实用放射学杂志,1994,10(4)∶250~251.
(1999-06-15收稿), http://www.100md.com
单位:福建医科大学附属第一医院放射科,福建福州350005
关键词:肺水肿;胸部损伤
中国临床医学影像杂志000118
[中图分类号]R816.4 [文献标识码]A [文章编号]1008-1062(2000)01-0053-02
X- ray diagnosis of traumatic wet lung
CHEN Zhong-wu,CHEN Yi-guang
Department of Radiology,The First Affiliated Hospital of Fujian Medical University,Fuzhou 350005,China
, 百拇医药
创伤性湿肺是胸部外伤中常见的一种综合病变,首先由Burford等于1945年报道,经Danie在动物实验中得到证实[1]。本文收集我院1995年6月~1999年4月经临床和X线摄片、透视追踪观察确诊的创伤性湿肺78例,结合文献复习探讨了创伤性湿肺的形成原因、X线表现、X线分型及鉴别诊断,现报告如下。
1 一般资料
本组78例中,男56例,女22例。年龄4~69例,平均37.1±13.2岁,其中以20~50岁发生率最高。本组撞伤45例,砸伤19例,跌伤9例,刀伤4例,爆炸伤1例。临床多数患者表现为胸痛、咳嗽和进行性呼吸困难,少数患者有血痰、呼吸音减低、痰鸣音及水泡音。受伤至X线检查时间,最短者30分,最长者3天,大多数病人在伤后24小时内就诊。病变分布以中下肺野多见,共59例,其中单侧肺发病者64例,双侧肺发病者14例。本组病例湿肺出现最早者为伤后30分,最晚为36小时,消散时间最早为48小时,最迟为14天。本组病例合并肋骨骨折45例,上肢骨折28例,下肢骨折11例,脊柱骨折8例,骨盆骨折3例,颅骨骨折3例;单骨骨折36例,多骨骨折22例,单骨多发骨折17例;合并液气胸25例,皮下气肿14例,纵隔气肿及纵隔疝4例。
, http://www.100md.com
2 X线表现
本组X线所见可分为以下4种情况。
①肺纹理增粗增浓,血管影像模糊,伴有广泛的斑点状或小片状影像,密度较淡,边缘模糊。本组有27例,占34.6%(图1)。
图1 间质型:显示肺纹理增粗模糊,伴有斑点状及小片状阴影形成。
②局限在肺的一段或一叶内的片状或大片状模糊阴影,密度不均,边缘模糊,以中下肺野多见,类似大叶性肺炎或肺段肺炎。本组有13例,占16.7%(图2)。
图2 节段实变型:表现左下肺野心缘旁片状模糊密度增高影,局限在左肺上叶舌段水平。
, http://www.100md.com
③弥漫斑片状和/或斑点状模糊影像,多沿支气管走行分布,常累及一侧或双侧肺野的大部,密度淡而不均,部分可融合成片状。本组10例,占12.8%(图3)。
图3 弥漫实变型:表现双肺野弥漫斑点状及片状模糊密度增高影,沿支气管走行分布,密度淡而不均,部分融合成片状。
④一侧或双侧肺野呈磨玻璃状改变,表现为密度较淡的均匀一致的云雾样增浓影,似肺野盖上一层面纱,亦称“面纱征”。本组28例,占35.9%(图4)。
图4 云雾型:表现双肺野密度较淡的均匀一致的云雾状阴影,似肺野蒙上一层面纱。
3 讨论
, http://www.100md.com
创伤性湿肺是胸部外伤中的一种综合病变,Burford1945年观察尸检病肺的病理改变有充血、间质水肿或出血和实变,故提出为“创伤性湿肺”,国内有作者提出创伤性湿肺也称之为湿肺或湿肺综合征。一般创伤程度轻者,肺内出现湿肺的时间较晚或不出现湿肺改变,创伤程度重者,湿肺出现的时间较早,症状也比较严重。合并有三根以上肋骨骨折或单骨多发骨折或有皮下气肿或/和纵隔气肿发生时,多有肺内出血或血气胸。因此可以认为,创伤程度的轻重,与湿肺出现的早晚成比例关系。
由于致伤的种类及创伤的程度不同,形成创伤性湿肺的因素可以是多方面的:①肺循环障碍:是湿肺形成的根本原因,当胸部承受外来撞击后,血管内壁出现一些脱落细胞碎片与血小板、红白细胞聚集,形成微血栓阻塞该处的血液,使血流变慢,甚或呈淤血状态,血管内压力增高,血浆中的水分和低分子物质溢出血管外而形成湿肺;②缺氧:由于胸部外伤后,肺换气功能障碍,致氧气吸入不足,而肺在缺氧的情况下,血液中的粒细胞释放组织胺类物质和多肽类体液物质,使肺的局部低氧区血管和小支气管收缩,从而增加了血运的阻力,影响了毛细血管的通透性,使血浆和组织液漏到肺泡或间质内形成湿肺;③颅脑损伤:当外力非直接撞击胸部而是引起颅脑损伤时,可直接刺激中枢神经系统,造成肺过度通气,使肺表面活性物质向肺泡内释放;或由于抗利尿激素增加与神经血管反应失调,产生碱中毒后引起大脑血管收缩和大脑缺氧,促使肺血管发生反射性挛缩,使体循环的液体移向肺组织造成肺动脉高压,产生肺水肿,本组有13例合并颅脑损伤者,其肺内均出现不同程度的湿肺改变;④肺毛细血管的直接破坏:当伤势较重,直接破坏肺毛细血管时,能使体液和血浆渗出或溢出,可在短时间内出现湿肺改变。
, http://www.100md.com
创伤性湿肺的X线表现是肺挫伤及肺裂伤的复合性改变,其X线表现及分型,一般可分为下列4型:①间质型:显示肺纹理增粗模糊伴有斑点状或小片状阴影;②节段实变型:局限在肺的一段或一叶内之片状模糊阴影,以中下肺野多见;③弥漫实变型:在单侧或双侧肺野显示大小不等的斑片状和/或斑点状模糊影,密度淡而不均,部分可融合成片状;④云雾型:一侧或双侧肺野呈磨玻璃样改变,显示为密度较淡的均匀一致的云雾状增浓影,似肺野朦上一层面纱,其中隐约可显示出前三种类型的影像。本组病例X线所见类型与文献报道相同〔2〕,其中间质型27例,节段实变型13例,弥漫实变型10例,云雾型28例。本组病例其X线所见以间质型与云雾型多见。
创伤性湿肺病理改变复杂,X线表现多样,需与以下病变进行鉴别:①与肺出血鉴别:肺出血是由于肺血管损伤所致血液渗透到肺泡和肺间质,X线表现为小片状或大片状实变影,中心密度较高,边缘密度较淡,可跨叶存在,具有特征性,消散较慢,一般为1~3周,且肺出血者常可引起胸膜腔改变,少者肋膈角变钝或变平,血量多者常掩盖膈肌。而湿肺一般密度较淡,发生时间较晚,消散也快;②与创伤性肺血肿鉴别:创伤性肺血肿一是伤后肺组织有撕裂,伤口周围充满血液,形成肺组织内血肿,二是肺破裂时形成创伤性肺大泡,肺大泡被血液灌注和肺的弹性回缩作用而形成肺血肿,X线表现为圆形、椭圆形或梭形致密影,清晰锐利,形态固定,随着时间的推移由于水分吸收血肿影像逐渐缩小,密度增高,可单发或多发,多为中等大小,比湿肺出现为晚,消散也慢,少者数天,多者可数月;③与创伤性肺不张鉴别:创伤性肺不张为伤后肺泡塌陷,泡壁变薄,可有中小动静脉破裂出血,支气管断裂或管内有凝血块阻塞,一般在伤后24小时以上出现,通常较湿肺形成的时间为晚,且病变密度较均匀,无其他病变衬托,多在下叶出现;④与肺炎鉴别:多发斑片状及大叶性或节段性分布的创伤性湿肺,其X线表现与肺炎极相似,此时应依据临床症状及病史,肺炎患者一般无外伤史,且早期即有发热症状。
陈仲武:福建医科大学附属第一医院放射科医师
〔参考文献〕
〔1〕李兰贵.创伤性湿肺的X线诊断.中华放射学杂志,1981,15(4)∶261~263.
〔2〕张宝田,王东,张靖,等创伤性湿肺的X线分析实用放射学杂志,1994,10(4)∶250~251.
(1999-06-15收稿), http://www.100md.com