结节性多动脉炎伴肾梗死及慢性肾缺血一例
http://www.100md.com
37c医学网
作者:孙奇志 左力 刘玉春 赵明辉 邹万忠
单位:100034 北京医科大学第一医院肾内科
关键词:
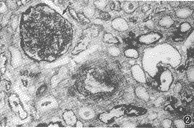
中华内科杂志000529 患者 女,34岁。因无尿伴恶心、呕吐16 d,水肿4 d,于1999年2月10日入院。21 d前受凉后发热(39 ℃),咳嗽,咳痰。当地医院诊为上呼吸道感染,给予青霉素治疗2 d后症状减轻停药。3 d后体温又复高达40 ℃,并伴恶心、呕吐、无尿。Hb 115 g/L,尿蛋白(+++),血尿素氮26.8 mmol/L。予青霉素、补液等治疗后仍无尿,故行血液透析。患者于入院前6 d曾有恶心、呕吐,每日排尿50 ml左右,4 d前出现颜面水肿,为进一步诊疗转入我院。发病期间无皮疹、关节痛及咯血,无肌痛和四肢感觉异常,发病后体重下降4 kg。既往:患者5年前曾患甲型肝炎,已治愈。无烟酒嗜好,无毒物接触史。入院体检:T 36.5 ℃,P 60次/min,R 20次/min,BP 105/75 mm Hg(14/10 kPa),轻度贫血貌,全身浅表淋巴结未触及,无皮疹、网状青斑、皮下结节和皮下出血点,双眼睑及颜面部水肿,听力正常,扁桃体无肿大。双肺呼吸音清,心界不大,心率60次/ min,律齐,心尖部可闻Ⅲ级收缩期杂音。腹平软,肝脾肋下未及,双肾区无叩击痛,双下肢无水肿。小腿肌肉无压痛。实验室检查: Hb 98 g/L, WBC 6.7×109/L,血小板225×109/L。尿蛋白(+++),比重1.014,尿红细胞50个/HP。尿浓缩试验最高尿比重1.008。内生肌酐清除率4.30 ml/min。血尿素氮19.6 mmol/L,血肌酐996.4 μmol/L,血尿酸546 μmol/L。血沉24 mm/1h;血清总蛋白55 g/L,白蛋白29 g/L,血C3 0.60 g/L;类风湿因子、C反应蛋白、 抗O均无异常;抗核抗体、抗中性粒细胞胞浆抗体(ANCA)、抗肾小球基底膜(GBM)抗体、乙肝两对半检测均阴性;免疫球蛋白: IgG 8.52 g/L, IgA 1.16 g/L, IgM 1.77 g/L。X线胸片示双侧肺、膈均无异常。超声心动图示左心扩大,轻度二尖瓣关闭不全。双肾B超示左肾13.0 cm×5.0 cm×4.5 cm;右肾11.8 cm×5.4 cm×4.4 cm;肾实质厚1.9 cm;双肾回声增强;肾盂未见扩张。肾穿刺病理结果:免疫荧光可见3个肾小球,IgG、IgA、IgM、FRA、ALB及C3,C1q均为阴性。光镜下可见29个肾小球,9个球基底膜严重皱缩,肾小球缺血性硬化,3个节段性硬化,6个肾小球毛细血管襻高度扩张、充血,1个节段性纤维素样坏死,其余肾小球系膜和基质轻度弥漫增生,肾小管多灶状萎缩及蛋白管型和碎屑管型,部分大灶状坏死崩解。间质水肿伴有灶状核皱缩、核碎裂及白细胞浸润。小动脉内膜高度增厚,肌层部分破坏,管腔狭窄,符合经典型结节性多动脉炎伴肾梗死及慢性肾缺血改变(图1,2)。入院后经予口服泼尼 松30mg,每日1次,血液透析治疗。第11天始尿量渐增多,最多达2 100 ml/d,患者病情明显好转。第20天化验尿常规正常,内生肌酐清除率由4.30 ml/min上升至28 ml/min、血肌酐由996.4 μmol/L下降为254 μmol/L,尿素氮由19.6 mmol/L下降为7.07 mmol/L。
, http://www.100md.com
讨论 据本例上述特点,临床诊断考虑为急性肾功能衰竭(ARF)。完全无尿多提示肾皮质坏死、血管阻塞、严重的急性增殖性肾小球肾炎或完全性尿路梗阻。急进性肾小球肾炎(RPGN)的发病可能与感染、药物、自身免疫性疾病和碳氢化合物等有关,表现为急性肾炎综合征并急进性肾功能衰竭,发病凶险。肾穿刺病理为新月体肾炎,可依ANCA和抗GBM抗体及肾活检病理结果分为5型。肾皮质坏死:ARF时出现血管短路现象,血流比例反向;儿茶酚胺增多加重肾脏缺血;RAS系统激活致入球小动脉痉挛,而肾皮质外层肾素含量高,故肾皮质缺血最严重。常见的原因有:军团菌感染、ATN、溶血尿毒综合征(HUS)、恶性肿瘤、肾脏大中血管病变(肾静脉血栓形成、肾动脉闭塞等)。
结节性多动脉炎(PAN)属于累及多器官中、小血管的原发性血管炎,各器官中等动脉炎症致狭窄及阻塞而引起相应脏器缺血、坏死、功能障碍。典型结节性多动脉炎(CPA)以肾为最常见的受累器官,见于70%~80%的病人,主要是叶间及弓状动脉的血管壁坏死性炎症,严重者动脉壁全层纤维素样坏死,可有动脉瘤、动脉血栓形成造成缺血、梗死,表现为肾动脉、叶间动脉及小叶间动脉的血管壁水肿,黏液变性、WBC浸润、纤维素样坏死、弹力纤维断裂和血栓形成,肾实质可见新旧不等的梗死病灶。静止修复期的动脉壁显示结缔组织增生,血管周围有单核巨噬细胞、淋巴样细胞及白细胞浸润。此病可有不规则发热、乏力、体重下降、肌痛、关节痛、多形性大片状皮疹等表现。化验可见血沉快、CRP增高、IgG增高,C3一般无改变,血清乙肝病毒标志物检出率为6%~54%。ANCA多阴性。PAN累及脏器的顺序依次为:肾脏、心脏、消化道、皮肤及中枢神经系统。美国风湿病学会1990年制定的本病的诊断标准,关键在于血管造影及动脉活检。治疗应加用激素及细胞毒类药物。细胞毒类药物可提高病人存活率。病理改变重者(如纤维素样坏死)应予激素冲击治疗。病因如为乙型肝炎病毒,可试用抗病毒治疗,如α-干扰素等。

图1 小动脉内膜高度增厚,肌层部分破坏,管腔狭窄 图2 肾小球基底膜严重皱缩,肾小球缺血性梗死,肾小管多灶萎缩 图1,2 均为HE×200
(收稿日期:1999-09-06), 百拇医药
单位:100034 北京医科大学第一医院肾内科
关键词:
中华内科杂志000529 患者 女,34岁。因无尿伴恶心、呕吐16 d,水肿4 d,于1999年2月10日入院。21 d前受凉后发热(39 ℃),咳嗽,咳痰。当地医院诊为上呼吸道感染,给予青霉素治疗2 d后症状减轻停药。3 d后体温又复高达40 ℃,并伴恶心、呕吐、无尿。Hb 115 g/L,尿蛋白(+++),血尿素氮26.8 mmol/L。予青霉素、补液等治疗后仍无尿,故行血液透析。患者于入院前6 d曾有恶心、呕吐,每日排尿50 ml左右,4 d前出现颜面水肿,为进一步诊疗转入我院。发病期间无皮疹、关节痛及咯血,无肌痛和四肢感觉异常,发病后体重下降4 kg。既往:患者5年前曾患甲型肝炎,已治愈。无烟酒嗜好,无毒物接触史。入院体检:T 36.5 ℃,P 60次/min,R 20次/min,BP 105/75 mm Hg(14/10 kPa),轻度贫血貌,全身浅表淋巴结未触及,无皮疹、网状青斑、皮下结节和皮下出血点,双眼睑及颜面部水肿,听力正常,扁桃体无肿大。双肺呼吸音清,心界不大,心率60次/ min,律齐,心尖部可闻Ⅲ级收缩期杂音。腹平软,肝脾肋下未及,双肾区无叩击痛,双下肢无水肿。小腿肌肉无压痛。实验室检查: Hb 98 g/L, WBC 6.7×109/L,血小板225×109/L。尿蛋白(+++),比重1.014,尿红细胞50个/HP。尿浓缩试验最高尿比重1.008。内生肌酐清除率4.30 ml/min。血尿素氮19.6 mmol/L,血肌酐996.4 μmol/L,血尿酸546 μmol/L。血沉24 mm/1h;血清总蛋白55 g/L,白蛋白29 g/L,血C3 0.60 g/L;类风湿因子、C反应蛋白、 抗O均无异常;抗核抗体、抗中性粒细胞胞浆抗体(ANCA)、抗肾小球基底膜(GBM)抗体、乙肝两对半检测均阴性;免疫球蛋白: IgG 8.52 g/L, IgA 1.16 g/L, IgM 1.77 g/L。X线胸片示双侧肺、膈均无异常。超声心动图示左心扩大,轻度二尖瓣关闭不全。双肾B超示左肾13.0 cm×5.0 cm×4.5 cm;右肾11.8 cm×5.4 cm×4.4 cm;肾实质厚1.9 cm;双肾回声增强;肾盂未见扩张。肾穿刺病理结果:免疫荧光可见3个肾小球,IgG、IgA、IgM、FRA、ALB及C3,C1q均为阴性。光镜下可见29个肾小球,9个球基底膜严重皱缩,肾小球缺血性硬化,3个节段性硬化,6个肾小球毛细血管襻高度扩张、充血,1个节段性纤维素样坏死,其余肾小球系膜和基质轻度弥漫增生,肾小管多灶状萎缩及蛋白管型和碎屑管型,部分大灶状坏死崩解。间质水肿伴有灶状核皱缩、核碎裂及白细胞浸润。小动脉内膜高度增厚,肌层部分破坏,管腔狭窄,符合经典型结节性多动脉炎伴肾梗死及慢性肾缺血改变(图1,2)。入院后经予口服泼尼 松30mg,每日1次,血液透析治疗。第11天始尿量渐增多,最多达2 100 ml/d,患者病情明显好转。第20天化验尿常规正常,内生肌酐清除率由4.30 ml/min上升至28 ml/min、血肌酐由996.4 μmol/L下降为254 μmol/L,尿素氮由19.6 mmol/L下降为7.07 mmol/L。
, http://www.100md.com
讨论 据本例上述特点,临床诊断考虑为急性肾功能衰竭(ARF)。完全无尿多提示肾皮质坏死、血管阻塞、严重的急性增殖性肾小球肾炎或完全性尿路梗阻。急进性肾小球肾炎(RPGN)的发病可能与感染、药物、自身免疫性疾病和碳氢化合物等有关,表现为急性肾炎综合征并急进性肾功能衰竭,发病凶险。肾穿刺病理为新月体肾炎,可依ANCA和抗GBM抗体及肾活检病理结果分为5型。肾皮质坏死:ARF时出现血管短路现象,血流比例反向;儿茶酚胺增多加重肾脏缺血;RAS系统激活致入球小动脉痉挛,而肾皮质外层肾素含量高,故肾皮质缺血最严重。常见的原因有:军团菌感染、ATN、溶血尿毒综合征(HUS)、恶性肿瘤、肾脏大中血管病变(肾静脉血栓形成、肾动脉闭塞等)。
结节性多动脉炎(PAN)属于累及多器官中、小血管的原发性血管炎,各器官中等动脉炎症致狭窄及阻塞而引起相应脏器缺血、坏死、功能障碍。典型结节性多动脉炎(CPA)以肾为最常见的受累器官,见于70%~80%的病人,主要是叶间及弓状动脉的血管壁坏死性炎症,严重者动脉壁全层纤维素样坏死,可有动脉瘤、动脉血栓形成造成缺血、梗死,表现为肾动脉、叶间动脉及小叶间动脉的血管壁水肿,黏液变性、WBC浸润、纤维素样坏死、弹力纤维断裂和血栓形成,肾实质可见新旧不等的梗死病灶。静止修复期的动脉壁显示结缔组织增生,血管周围有单核巨噬细胞、淋巴样细胞及白细胞浸润。此病可有不规则发热、乏力、体重下降、肌痛、关节痛、多形性大片状皮疹等表现。化验可见血沉快、CRP增高、IgG增高,C3一般无改变,血清乙肝病毒标志物检出率为6%~54%。ANCA多阴性。PAN累及脏器的顺序依次为:肾脏、心脏、消化道、皮肤及中枢神经系统。美国风湿病学会1990年制定的本病的诊断标准,关键在于血管造影及动脉活检。治疗应加用激素及细胞毒类药物。细胞毒类药物可提高病人存活率。病理改变重者(如纤维素样坏死)应予激素冲击治疗。病因如为乙型肝炎病毒,可试用抗病毒治疗,如α-干扰素等。
图1 小动脉内膜高度增厚,肌层部分破坏,管腔狭窄 图2 肾小球基底膜严重皱缩,肾小球缺血性梗死,肾小管多灶萎缩 图1,2 均为HE×200
(收稿日期:1999-09-06), 百拇医药