MRI测量颞叶钩回间距在老年痴呆诊断上的应用
http://www.100md.com
37c医学网
作者:安维民 贾建军 汤洪川 蔡幼铨 王鲁宁
单位:安维民 蔡幼铨 贾建军(解放军总医院核磁共振室,北京 100853);汤洪川 王鲁宁(解放军总医院神经内科)
关键词:痴呆;磁共振成像;钩回间距
军医进修学院学报000117 摘 要:目的:本研究为验证MRI上颞叶间距对于Alzhemier disease(AD)的诊断和鉴别诊断价值。方法:在1.5 Tesla GE Sign Horizon或Siemens 1.0 Tesla上对 476 例,其中AD组 61 例,Vascular Dementia (VD)组 53 例,健康老年对照组(heathly control, HC)组 111 例,和其他健康成人对照组(other heathly control, OHC) 251 例,在常规轴位 T1 序列上测量颞叶钩回间距,并测量经两侧大脑角的大脑左右径。结果:经统计学分析表明,AD组、VD组、HC组较OHC组颞叶钩回间距显著差异,颞叶钩回间距/大脑左右径值显著差异;AD组较VD组、HC组颞叶钩回间距极显著差异,颞叶钩回间距/大脑左右径值明显增大;VD组与HC组之间无明显差异。结论:表明在MRI上测量颞叶钩回间距对诊断AD具有临床应用价值。
, http://www.100md.com
中图号:R445.2 文献标识码:A
文章编号:1005-1139(2000)01-0051-53
Application of the measurment from MRI in the diagnosis of dementia
AN Wei-min,CAI You-quan,(Department of Radiology, PLA General Hospital,Beijing 100853, China)
JIA Jian-jun, TANG Hong-chuan,WANG Lu-ning
Abstract:Objective:To assess the value of measurement the interuncal distance (IUD) in the diagnosis the demented patients.Methods:We measured IUD from axial MR scans acquired on 1.5-T GE Sign Horizon or 1.0-T Siemens. We estimated IUD and intracranial width from a total of 476 subjects: 61 patients diagnosed probable AD, 53 patients diagnosed VD; 111 healthy cognitively normal yunger control subjects. Results:The IUD and interuncal distance/intracranial width differed between the AD subjects and other groups, but did not differ between the AD subjects and other groups, but did not differ between the VD and HC groups.Conclusion:Our results showed that IUD and interuncal distance/intracranial width was a valued diagnostic tool for AD.
, 百拇医药
Key words:dementia; magnetic resonance imaging (MRI); interuncal distance (IUD)▲
随着经济的发展,人口寿命的延长,下个世纪将进入老龄社会,目前我国,60岁以上人口老年痴呆的患病率为高达2.9%[4],因此老年痴呆的诊断引起越来多的重视。目前临床对痴呆的类型鉴别诊断较为困难,主要依靠临床病史、体征、检测量表、影像学表现等综合判断,其中影像学的表现在定性诊断中较为重要的作用。利用MRI测量颞叶钩回间距作为诊断依据国内外均有报道[2,3,6]。笔者通过对Alzheimer disease(AD)、Vascular Dementia (VD)大宗病例和不同年龄组的健康对照组在MRI片上进行颞叶钩回间距的测量,颞叶钩回间距/大脑左右径的比值计算,并按临床分型进行分析。
1 对象和方法
, http://www.100md.com
1.1 对象 痴呆患者均选择在1989~1998年我院神经科老年痴呆门诊就诊及住院患者,AD组61例,平均年龄72.27岁,VD53例平均年龄72.8岁,均符合美国精神障碍与统计手册等四版(DSM-IV-R)的标准和国内汤洪川等提出的AD与VD临床诊断标准[5],HC组111例,平均年龄67.07岁;OHC组251例,平均年龄38.65岁。
1.2 方法 采用Siemens1.0T和GESignHorizon1.5T超导型MR扫描机,标准头部表面线圈。常规横轴位扫描,用自旋回波序列,T1TR/TE=500/14ms或500/11ms,T2TR/TE=2000/15,层厚8mm,层间距5mm12层,矩阵256×256。在横轴位T1加权图像上取上池层面测量颞叶钩回间距(图1、图2)和经大脑脚层面测量大脑左右径,并计算颞叶钩回间距/大脑左右径比值。
, 百拇医药
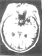
图1 正常老年对照组(左图)
颞叶钩回间距正常(长箭头),大脑左右径(短箭头)
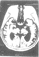
图2 AD患者(右图)
颞叶钩回间距增宽(黑箭头)
2 结 果
AD组患者的颞叶钩回间距和颞叶钩回间距/大脑左右径与其他各组之间均有着极显著差异;年轻对照组的颞叶钩回间距/大脑左右径与其它各组之间有显著差异。OHC组的大脑左右径与其他各组之间有显著差异。
各组MRI的测量数据和统计结果见表1~3。
表1 各组颞叶钩回间距(L/mm)
, http://www.100md.com
≥35
<35且≥30
<30且≥25
<25
AD组(n=61)
23
37
1
VD组(n=53)
1
1
22
29
, http://www.100md.com
HC组(n=111)
47
64
OHC组(n=251)
27
224
表2 各组颞叶钩回间距/大脑左右径比值
≥0.25
<0.2且≥0.22
<0.22且≥0.2
<0.2且≥0.16
<0.16
, 百拇医药
AD组(n=61)
37
24
VD组(n=53)
2
12
38
1
HC组(n=111)
18
92
1
OHC组(n=251)
, 百拇医药
13
105
133
表3 统计结果(
±s)
颞叶钩回间距(mm)
大脑左右径(mm)
颞叶钩回间距/大脑左右径
AD组(n=61)
33.76±4.52**
131.84±6.9
0.256±0.034**
, 百拇医药
VD组(n=53)
24.94±4.77
133.15±6.69
0.187±0.038
HC组(n=111)
24.63±3.80
133.18±4.86
0.085±0.028
OHC组(n=251)
22.55±3.05
140.4±8.01*
, 百拇医药
0.161±0.20*
*表明P<0.05;**表明P<0.001
3 讨 论
AD是一种神经系统退行性疾病,目前病因未明。该病的早期临床表现为认知功能障碍和记忆功能障碍,继而出现全面智能衰退与神经功能障碍。病理切片除大脑皮层的广泛萎缩外,主要是海马、杏仁核以及颞叶萎缩、变性,是造成MRI上颞叶钩回间距增宽、大脑容积缩小的病理学依据。Dahldeck于1991首先利用MRI颞叶钩回间距诊断AD,并认为AD患者的颞叶钩回间距均大于30mm[6]。国内学者蔡幼铨等的研究结论与此相近[3]。
AD组、VD组和HC组的大脑左右径、颞叶钩回间距/大脑左右径比值与OHC组之间有显著差异,这证实随年龄的递增大脑的容积[1,2],特别在AD患者中颞叶、海马、杏核仁的容积萎缩更为明显,因此颞叶钩回间距/大脑左右径比值较其它几组明显增大。
, http://www.100md.com
表1可以看出在本组研究中有1例AD患者的颞叶钩回间距在25~30mm,为29mm,但其大脑左右径为122mm,颞叶钩回间距/大脑左右径大于0.22;这例患者经临床痴呆评定表(CDR)和总体退化量表(GDS)评估属于轻型痴呆。在VD患者组中有2例的颞叶钩回间距在超过30mm,在这2例患者中MRI显示脑梗塞的范围较广,不除外混合型痴呆的可能。在HC组均小于30mm其中颞叶钩回间距最大为28mm,其年龄均超过75岁,但大脑左右径均大于130mm;在OHC组中颞叶钩回间距均小于30mm。
从表1、2的结果中可以看出AD组中颞叶钩回间距超过35mm占37.7%,超过30mm占98.3%,颞叶钩回间距/大脑左右径大于0.25的占60.7%,全部大于0.22;VD组中颞叶钩回间距超过35mm占1.89%,超过30mm占3.77%,颞叶钩回间距/大脑左右径大于0.22的占3.77%;各年龄正常对照组颞叶钩回间距均不超过30mm、颞叶钩回间距/大脑左右径小于0.22。
, 百拇医药 我们通过对61例AD,53例VD、111例HC的测量结果表明AD患者颞叶钩回间距与VD、HC和OHC之间具有明显差异,小于30mm的仅1例临床属于轻型痴呆,因此颞叶钩回间距的测量有助于AD的诊断;AD的颞叶钩回间距/大脑左右径超过0.22的高达100%以上,VD组中颞叶钩回间距大于30mm仅为3.77%,VD组中颞叶钩回间距/大脑左右径超过0.22的为3.77%。HC组和OHC组中颞叶钩回间距/大脑左右径均小于0.22。因此颞叶钩回间距和颞叶钩回间距/大脑左右径两者的结合提高了对AD诊断的敏感性和特异性。笔者在国内第一次提出在MRI综合分析颞叶钩回间距和颞叶钩回间距/大脑左右径之比有助于提高对AD诊断的特异性。
(本文的数据统计得到军医进修学院统计教研室张高魁同志的协助,特表感谢)■
作者简介:安维民,男,1966-4-24生,天津人,1990年毕业于第四军医大学,军医进修学院97级放射科硕士研究生,导师蔡幼铨教授。电话:(010)66937754
, 百拇医药
参考文献:
[1]Jack CR Jr, petersen RC, Xu YC et al. Medical temporal atrophy on MRI in normal aging very mild Alzheimers disease [J]. Neurology, 1997, 49:786-794.
[2]Qiwen Mu, Jingxia Xie, Zongyao Wen et al. A quantitative MR study of the Hippocampal formation, the Amygadala, and the Temporal horn of the lateral ventricle in healthy subjects 40 to 90 years of Age [J]. AJNR, 1999,20:207-211.
[3]蔡幼铨,汤洪川,赵 霖等.MRI测量颞叶钩回间距对老年期痴呆的诊断价值[J].中国医学影像学杂志,1995,3(4):243-245.
, 百拇医药
[4]张明园,Katzman R,陈佩俊等.痴呆和阿尔茨海默病的发病率[J]. 中华精神科杂志,1998,31(4):195-198.
[5]汤洪川,朱明伟,马志中等.老年期痴呆 104 例临床研究[J].中华神经科杂志,1996,29:164-167.
[6]Dahlbeck W, Neluney KW, Yeakley JW. The interuncal distance: a new MR measurement for the hippocampal atrophy of Alzheimer′s disease [J]. AJNR, 1991,12:931-935.
收稿日期:1999-09-06
改回日期:1999-10-12, http://www.100md.com
单位:安维民 蔡幼铨 贾建军(解放军总医院核磁共振室,北京 100853);汤洪川 王鲁宁(解放军总医院神经内科)
关键词:痴呆;磁共振成像;钩回间距
军医进修学院学报000117 摘 要:目的:本研究为验证MRI上颞叶间距对于Alzhemier disease(AD)的诊断和鉴别诊断价值。方法:在1.5 Tesla GE Sign Horizon或Siemens 1.0 Tesla上对 476 例,其中AD组 61 例,Vascular Dementia (VD)组 53 例,健康老年对照组(heathly control, HC)组 111 例,和其他健康成人对照组(other heathly control, OHC) 251 例,在常规轴位 T1 序列上测量颞叶钩回间距,并测量经两侧大脑角的大脑左右径。结果:经统计学分析表明,AD组、VD组、HC组较OHC组颞叶钩回间距显著差异,颞叶钩回间距/大脑左右径值显著差异;AD组较VD组、HC组颞叶钩回间距极显著差异,颞叶钩回间距/大脑左右径值明显增大;VD组与HC组之间无明显差异。结论:表明在MRI上测量颞叶钩回间距对诊断AD具有临床应用价值。
, http://www.100md.com
中图号:R445.2 文献标识码:A
文章编号:1005-1139(2000)01-0051-53
Application of the measurment from MRI in the diagnosis of dementia
AN Wei-min,CAI You-quan,(Department of Radiology, PLA General Hospital,Beijing 100853, China)
JIA Jian-jun, TANG Hong-chuan,WANG Lu-ning
Abstract:Objective:To assess the value of measurement the interuncal distance (IUD) in the diagnosis the demented patients.Methods:We measured IUD from axial MR scans acquired on 1.5-T GE Sign Horizon or 1.0-T Siemens. We estimated IUD and intracranial width from a total of 476 subjects: 61 patients diagnosed probable AD, 53 patients diagnosed VD; 111 healthy cognitively normal yunger control subjects. Results:The IUD and interuncal distance/intracranial width differed between the AD subjects and other groups, but did not differ between the AD subjects and other groups, but did not differ between the VD and HC groups.Conclusion:Our results showed that IUD and interuncal distance/intracranial width was a valued diagnostic tool for AD.
, 百拇医药
Key words:dementia; magnetic resonance imaging (MRI); interuncal distance (IUD)▲
随着经济的发展,人口寿命的延长,下个世纪将进入老龄社会,目前我国,60岁以上人口老年痴呆的患病率为高达2.9%[4],因此老年痴呆的诊断引起越来多的重视。目前临床对痴呆的类型鉴别诊断较为困难,主要依靠临床病史、体征、检测量表、影像学表现等综合判断,其中影像学的表现在定性诊断中较为重要的作用。利用MRI测量颞叶钩回间距作为诊断依据国内外均有报道[2,3,6]。笔者通过对Alzheimer disease(AD)、Vascular Dementia (VD)大宗病例和不同年龄组的健康对照组在MRI片上进行颞叶钩回间距的测量,颞叶钩回间距/大脑左右径的比值计算,并按临床分型进行分析。
1 对象和方法
, http://www.100md.com
1.1 对象 痴呆患者均选择在1989~1998年我院神经科老年痴呆门诊就诊及住院患者,AD组61例,平均年龄72.27岁,VD53例平均年龄72.8岁,均符合美国精神障碍与统计手册等四版(DSM-IV-R)的标准和国内汤洪川等提出的AD与VD临床诊断标准[5],HC组111例,平均年龄67.07岁;OHC组251例,平均年龄38.65岁。
1.2 方法 采用Siemens1.0T和GESignHorizon1.5T超导型MR扫描机,标准头部表面线圈。常规横轴位扫描,用自旋回波序列,T1TR/TE=500/14ms或500/11ms,T2TR/TE=2000/15,层厚8mm,层间距5mm12层,矩阵256×256。在横轴位T1加权图像上取上池层面测量颞叶钩回间距(图1、图2)和经大脑脚层面测量大脑左右径,并计算颞叶钩回间距/大脑左右径比值。
, 百拇医药
图1 正常老年对照组(左图)
颞叶钩回间距正常(长箭头),大脑左右径(短箭头)
图2 AD患者(右图)
颞叶钩回间距增宽(黑箭头)
2 结 果
AD组患者的颞叶钩回间距和颞叶钩回间距/大脑左右径与其他各组之间均有着极显著差异;年轻对照组的颞叶钩回间距/大脑左右径与其它各组之间有显著差异。OHC组的大脑左右径与其他各组之间有显著差异。
各组MRI的测量数据和统计结果见表1~3。
表1 各组颞叶钩回间距(L/mm)
, http://www.100md.com
≥35
<35且≥30
<30且≥25
<25
AD组(n=61)
23
37
1
VD组(n=53)
1
1
22
29
, http://www.100md.com
HC组(n=111)
47
64
OHC组(n=251)
27
224
表2 各组颞叶钩回间距/大脑左右径比值
≥0.25
<0.2且≥0.22
<0.22且≥0.2
<0.2且≥0.16
<0.16
, 百拇医药
AD组(n=61)
37
24
VD组(n=53)
2
12
38
1
HC组(n=111)
18
92
1
OHC组(n=251)
, 百拇医药
13
105
133
表3 统计结果(
颞叶钩回间距(mm)
大脑左右径(mm)
颞叶钩回间距/大脑左右径
AD组(n=61)
33.76±4.52**
131.84±6.9
0.256±0.034**
, 百拇医药
VD组(n=53)
24.94±4.77
133.15±6.69
0.187±0.038
HC组(n=111)
24.63±3.80
133.18±4.86
0.085±0.028
OHC组(n=251)
22.55±3.05
140.4±8.01*
, 百拇医药
0.161±0.20*
*表明P<0.05;**表明P<0.001
3 讨 论
AD是一种神经系统退行性疾病,目前病因未明。该病的早期临床表现为认知功能障碍和记忆功能障碍,继而出现全面智能衰退与神经功能障碍。病理切片除大脑皮层的广泛萎缩外,主要是海马、杏仁核以及颞叶萎缩、变性,是造成MRI上颞叶钩回间距增宽、大脑容积缩小的病理学依据。Dahldeck于1991首先利用MRI颞叶钩回间距诊断AD,并认为AD患者的颞叶钩回间距均大于30mm[6]。国内学者蔡幼铨等的研究结论与此相近[3]。
AD组、VD组和HC组的大脑左右径、颞叶钩回间距/大脑左右径比值与OHC组之间有显著差异,这证实随年龄的递增大脑的容积[1,2],特别在AD患者中颞叶、海马、杏核仁的容积萎缩更为明显,因此颞叶钩回间距/大脑左右径比值较其它几组明显增大。
, http://www.100md.com
表1可以看出在本组研究中有1例AD患者的颞叶钩回间距在25~30mm,为29mm,但其大脑左右径为122mm,颞叶钩回间距/大脑左右径大于0.22;这例患者经临床痴呆评定表(CDR)和总体退化量表(GDS)评估属于轻型痴呆。在VD患者组中有2例的颞叶钩回间距在超过30mm,在这2例患者中MRI显示脑梗塞的范围较广,不除外混合型痴呆的可能。在HC组均小于30mm其中颞叶钩回间距最大为28mm,其年龄均超过75岁,但大脑左右径均大于130mm;在OHC组中颞叶钩回间距均小于30mm。
从表1、2的结果中可以看出AD组中颞叶钩回间距超过35mm占37.7%,超过30mm占98.3%,颞叶钩回间距/大脑左右径大于0.25的占60.7%,全部大于0.22;VD组中颞叶钩回间距超过35mm占1.89%,超过30mm占3.77%,颞叶钩回间距/大脑左右径大于0.22的占3.77%;各年龄正常对照组颞叶钩回间距均不超过30mm、颞叶钩回间距/大脑左右径小于0.22。
, 百拇医药 我们通过对61例AD,53例VD、111例HC的测量结果表明AD患者颞叶钩回间距与VD、HC和OHC之间具有明显差异,小于30mm的仅1例临床属于轻型痴呆,因此颞叶钩回间距的测量有助于AD的诊断;AD的颞叶钩回间距/大脑左右径超过0.22的高达100%以上,VD组中颞叶钩回间距大于30mm仅为3.77%,VD组中颞叶钩回间距/大脑左右径超过0.22的为3.77%。HC组和OHC组中颞叶钩回间距/大脑左右径均小于0.22。因此颞叶钩回间距和颞叶钩回间距/大脑左右径两者的结合提高了对AD诊断的敏感性和特异性。笔者在国内第一次提出在MRI综合分析颞叶钩回间距和颞叶钩回间距/大脑左右径之比有助于提高对AD诊断的特异性。
(本文的数据统计得到军医进修学院统计教研室张高魁同志的协助,特表感谢)■
作者简介:安维民,男,1966-4-24生,天津人,1990年毕业于第四军医大学,军医进修学院97级放射科硕士研究生,导师蔡幼铨教授。电话:(010)66937754
, 百拇医药
参考文献:
[1]Jack CR Jr, petersen RC, Xu YC et al. Medical temporal atrophy on MRI in normal aging very mild Alzheimers disease [J]. Neurology, 1997, 49:786-794.
[2]Qiwen Mu, Jingxia Xie, Zongyao Wen et al. A quantitative MR study of the Hippocampal formation, the Amygadala, and the Temporal horn of the lateral ventricle in healthy subjects 40 to 90 years of Age [J]. AJNR, 1999,20:207-211.
[3]蔡幼铨,汤洪川,赵 霖等.MRI测量颞叶钩回间距对老年期痴呆的诊断价值[J].中国医学影像学杂志,1995,3(4):243-245.
, 百拇医药
[4]张明园,Katzman R,陈佩俊等.痴呆和阿尔茨海默病的发病率[J]. 中华精神科杂志,1998,31(4):195-198.
[5]汤洪川,朱明伟,马志中等.老年期痴呆 104 例临床研究[J].中华神经科杂志,1996,29:164-167.
[6]Dahlbeck W, Neluney KW, Yeakley JW. The interuncal distance: a new MR measurement for the hippocampal atrophy of Alzheimer′s disease [J]. AJNR, 1991,12:931-935.
收稿日期:1999-09-06
改回日期:1999-10-12, http://www.100md.com