兔胫骨截骨延长区愈合过程的病理学观察
http://www.100md.com
37c医学网
作者:杨举伦 范国华 蔡学敏 林月秋 刘大荣 阮默 夏正武
单位:杨举伦 蔡学敏 刘大荣 夏正武(成都军区昆明总医院病理科);范国华 林月秋 阮默(骨病科,昆明 650032)
关键词:骨延长术;骨再生;骨折愈合;骨形成蛋白;兔;疾病模型,动物
临床与实验病理学杂志000217 摘要 目的:探讨截骨延长区骨愈合的病理学特点和新骨形成规律。方法:取健康兔27只建立胫骨骨延长动物模型,分别于延长的第0、1、3、5、10、15、20、30、40天处死动物,在延长区取材进行病理组织学观察,同时用抗骨形成蛋白(BMP)单抗作免疫组化染色。结果:延长前即出现血肿,延长第1天血肿机化,第3天出现新的血肿,第5天软骨形成和新血肿机化,第15天出现膜内成骨、纤维性成骨和软骨内成骨,第20天延长区大部分被骨性骨痂取代,第30天开始改建。免疫组化染色显示延长区纤维母细胞、骨母细胞和软骨细胞均不同程度表达BMP。结论:延长区存在膜内成骨、纤维性成骨和软骨内成骨3种方式,以软骨内成骨为主;内源性BMP参与了延长区愈合过程。
, http://www.100md.com
中图分类号 R683;R336 文献标识码 A 文章编号 1001-7399(2000)02-0140-04
Pathological observation of osteogenesis of rabbit tibial lengthened-aera by osteotomy and physical distraction
Yang Julun, Fan Guohua, Cai Xuemin, Lin Yueqiu, Liu Darong, Ruan Mo, Xia Zhengwu
Dept of Pathol,Dept of Osteopathy, Kunming General Hospital of Chengdu Military Command, Kunming 650032
ABSTRACT Purpose To study pathological characteristics of osteogenesis of rabbit tibial lengthened-area. Methods Twenty-seven rabbits were used to make models of tibial-lengthening by osteotomy and distraction. The rabbits were killed for morphological observation of tibial lengthened-aera.Bone morphogenetic protein(BMP) was detected immunohistochdmically using monoclonal antibody against BMP. Results Haematoma was presented before distraction. On the first day after distraction haemotoma was organized by granulation tissues. New haemetoma was seen on the 3rd day. On the 5th day new haemotoma was organized and cartilage formed. On the 15th day intramembranous ossification, fibrous ossification and endochondral ossification was present. On the 20th day bone callus occupied the majority of lengthened-area. On the 30th day reconstraction of callus began. It was showed different level expression of BMP in fibroblasts, osteoblasts and chondrocytes. Conclusions (1) Intramembtanous ossification, fibrous ossification and endochondral ossification are involved in the process of osteogenesis of lengthened-area and endochondral ossification is a main pattern. (2)Interal BMP takes part in the osteogenesis of lengthened-area.
, 百拇医药
KEY WORDS bone lengthening;bone regeneration; fracture healing; bone morphogenetic protein; rabbits; disease models, animal
胫骨截骨延长术是80年代初由Monticelli等〔1〕提出的,是矫正肢体短缩畸形、修复长骨大段骨缺损及矮身材美容增高的有效方法〔2〕。但在临床实际应用中由于存在延长区骨痂形成不良、愈合时间长等缺点,使该项技术的应用受到一定的限制〔3〕。因此,研究骨延长区的成骨方式和新骨形成规律对于探讨骨延长区的成骨机制进而寻找促进骨延长区愈合的方法有重要意义。本实验选择日本大耳白兔建立胫骨截骨延长的动物模型,运用X线检查、光镜观察等手段研究延长区骨愈合的过程,并用免疫组化法探讨了延长区内源性骨形成蛋白(BMP)的表达。
1 材料与方法
, http://www.100md.com
1.1 实验动物 选择3月龄清洁级日本大耳白兔27只,均为雌性,体重2.1~2.5 kg,平均2.3 kg。精制颗粒饲料笼养,自由饮水。
1.2 骨延长模型的制备 剃净右后肢毛,以3%戊巴比妥钠经耳缘静脉行全身麻醉。取左侧卧位,在无菌条件下于右侧胫骨中下1/3处作长约1.0 cm的纵行切口,钝性分离胫前肌,纵行切开骨膜并环行剥离,置入直径为0.5 mm的线锯备用。分别在截骨平面上下各1.5 cm及0.5 cm处穿放4组克氏针(直径1.2 mm),安装半环槽式外固定架,拉动线锯横行截断骨干,清创后缝合骨膜,关闭切口,并作无菌敷料包扎。麻醉清醒后归笼饲养。术后第4天开始进行骨延长,具体方法是调节半环架上的螺母,每天调节2次,每次延长1 mm,共延长10天,总延长长度为20 mm。
1.3 延长区X线检查 术后第3天X线观察截骨端对位对线情况;分别于骨延长的第5、10、15、20、30和40天X线摄片观察骨再生修复过程。
, 百拇医药
1.4 取材与制片 分别于骨延长的第0、1、3、5、10、15、20、30、40天各处死3只动物,分离胫骨周围软组织,完整切取延长区新生骨痂,置10%福尔马林溶液中固定,4℃下以5%硝酸脱钙,常规脱水、浸蜡、包埋、切片、HE染色,光镜观察。
1.5 免疫组化染色 以BMP的单克隆抗体(第四军医大学提供)为第一抗体作免疫组化染色(S-P法),观察延长区骨愈合过程中内源性BMP的表达情况。
2 结果
2.1 大体观察 在10天的延长期内,延长肢长度逐渐增加,延长区增粗,停止延长后则长度不再增加。未延长肢无此变化。延长区骨膜增厚,完整,未见撕裂痕迹。
2.2 X线检查 所有实验兔术后胫骨对位对线良好,延长过程中截骨端逐渐分离,未发生错位现象。延长第5天截骨端见少量低密度云絮状骨痂影,中央呈明显放射状透光区。第10天两断端骨痂影密度增高,数量增多,放射性透光区清楚。第15天(即停止延长后5天)骨痂影由两端向中央生长,局部骨痂连接。第20天延长区骨痂大部分连接,呈节段性致密疏松现象。第30天骨痂充满延长区,密度增高增粗,骨外膜下可见梭形骨痂包裹。第40天新生骨皮质影开始形成,连接成细线状,骨痂密度高且均匀(图1)。
, 百拇医药
2.3 病理组织学观察 骨延长0天(截骨术后第3天)截骨区广泛出血,红细胞充斥于纤维结缔组织之间,挤压纤维结缔组织,形成血肿。血肿内及血肿边缘可见大量坏死细胞碎片。血肿周围结缔组织内散在多个骨碎片,其外形不规则,边缘不整齐,有的骨细胞已变性、坏死甚至消失,表明骨片开始坏死。延长第1天见血肿内及边缘成纤维细胞、毛细血管增生,形成肉芽组织,表明血肿开始机化。新生的肉芽组织疏松,成纤维细胞和毛细血管连接成网状,其间富含粘液样基质,似胚胎期的间充质。延长第3天大部分血肿被肉芽组织取代,但周围结缔组织内又出现新的出血灶。延长第5天肉芽组织内毛细血管减少,成纤维细胞和纤维细胞数量明显增多,并出现较多的网状纤维和部分胶原纤维,使肉芽组织转化为纤维组织。纤维组织沿长轴方向(纵向)排列,其中有软骨细胞形成。新形成的软骨细胞大而圆,胞浆丰富,核小,紧密排列成片块状或岛屿状。纤维组织内仍有死骨片存在。此外可见新的出血灶和血肿机化现象。第10天纤维组织内见多个软骨岛,大小不等,有的相邻软骨岛已融合。仍可见到新鲜出血灶和血肿机化现象。第15天骨膜区及机化区的纤维组织内有骨样组织生成,骨样组织与其周围的纤维组织有移行,表明膜内成骨和纤维性成骨开始(图2,3)。软骨岛内多处出现软骨细胞变性坏死和基质溶解,在该处形成骨样组织,表明软骨内多个骨化中心形成,软骨内成骨开始(图4)。第20天见软骨内成骨和纤维性成骨继续发展,形成的骨小梁交织成网状,骨小梁表面被覆一层骨母细胞。网眼内为纤维组织。新的出血灶已被完全机化成纤维组织。死骨片已溶解并被纤维组织取代。第30天大部分纤维组织和软骨组织已被网状骨小梁组成的骨性骨痂取代,局部区域尚有残存的软骨。骨小梁沿长轴排列,其内胶原纤维增多,骨细胞体积缩小,基质有钙盐沉积,表面的骨母细胞减少,出现多核的破骨细胞,骨小梁之间的网眼内纤维组织坏死形成空腔(早期的骨髓腔),表明新生骨开始改建。第40天骨小梁继续钙化,沿长轴规则排列,网眼内的纤维组织绝大部分消失,有的骨髓腔内出现骨髓组织,另外还见到新的软骨灶和骨化灶。
, http://www.100md.com
图1 兔胫骨截骨延长第40天X线片所见。延长区已被骨痂连接起来,可见骨皮质影,但骨密度不如正常骨。
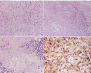
图2 胫骨延长第15天,机化的肉芽组织直接成骨(纤维性成骨)。HE×200
图3 胫骨延长第15天,骨外膜部位直接成骨(膜内成骨)。HE×100
图4 胫骨延长第15天,软骨岛中央出现骨化中心(软骨内成骨)。HE×400
图5 胫骨延长第10天,纤维母细胞内有BMP表达。HE×400
2.4 免疫组化观察 骨延长0天,坏死组织和血肿内即呈BMP阳性。第1天和第3天,除血肿和坏死组织外,肉芽组织内也出现BMP。第5天纤维性骨痂及其中的软骨组织富含BMP。第10、15、20天,纤维组织、软骨细胞和软骨基质呈BMP阳性(图5);新形成的骨小梁和骨样组织除与纤维组织和软骨组织移行部位的骨样组织含少量BMP外,大部分骨小梁(包括骨细胞及骨基质)均不含BMP;骨小梁周围的骨母细胞呈BMP强阳性。第30、40天,骨小梁不表达BMP,但骨母细胞及残存的软骨组织和纤维组织仍呈BMP阳性。综上所述,截骨后即有BMP释放到坏死组织和血肿内,从延长开始到第40天,机化的肉芽组织、纤维组织、软骨组织及骨母细胞均表达BMP,而骨小梁内的骨基质和骨细胞自始至终均无BMP表达。
, http://www.100md.com
3 讨论
3.1 病理组织学改变 骨延长区的骨愈合是一种特殊类型的骨愈合,外界施加的牵张应力造成了新的损伤,改变了延长区的微环境〔4〕,势必影响愈合的进度和成骨方式。本实验发现,延长区的愈合过程仍遵循普通骨折愈合的4个阶段,即血肿形成、血肿机化、骨痂形成和骨痂改建。但从本实验看,骨延长区的愈合与普通骨折愈合又有不同:(1)普通骨折愈合的4个阶段依次完成,不相互交叉。而延长区因受外力牵拉,在愈合过程中形成新的损伤,故4个阶段出现交叉和重叠。例如在机化期和骨痂形成期出现新的血肿和机化,在改建期见骨性骨痂和软骨性骨痂形成。(2)普通骨折愈合的骨痂来源于两种细胞,一是由骨外膜深层的细胞形成外骨痂(包括骨性骨痂和软骨性骨痂,后者通过软骨化骨变成骨性骨痂),二是由骨内膜细胞和骨髓的网织细胞分化成内骨痂(包括骨性骨痂和软骨性骨痂)。骨延长区的骨痂形成则不同:(1)由骨外膜细胞分化形成外骨痂;(2)由血肿机化产生的幼稚纤维组织形成内骨痂。这些纤维组织先形成骨样组织和软骨,软骨再通过软骨内成骨变成骨样组织。
, http://www.100md.com
Kawamura等认为延长骨再生修复采取膜内成骨和软骨内成骨两种方式〔5~7〕,本实验发现还有第3种成骨方式,即纤维内成骨。骨膜有很强的成骨能力,Finley〔8〕最早用带血管的自体骨膜移植,成功地修复了狗胫骨5 cm的骨缺损。已经证实,骨膜细胞在骨折时可转化为较幼稚的大细胞,再变成骨母细胞,此即膜内成骨。我们发现,血肿和坏死组织机化后的肉芽组织也可成为幼稚的纤维结缔组织,其中的一些幼稚细胞分化成骨母细胞,进一步形成骨样组织,我们称为纤维内成骨,以示与膜内成骨区别。
虽然延长骨修复过程同时有软骨和骨样组织形成,但数量上以软骨性骨痂为主,骨性骨痂为辅。软骨性骨痂经软骨内成骨形成骨性骨痂。这是由于延长区的断端间距比普通骨折宽,因此断端间活动度大,局部血液供应差,氧张力低,而软骨基质是营养物质弥散最好的媒介,且软骨细胞代谢的需氧量很少,因此软骨性骨痂更能适应延长区的骨再生微环境。但是软骨性骨痂通过软骨内成骨变成骨性骨痂,比纤维组织直接成骨需要的时间长,影响了愈合速度。我们发现,尽管延长骨修复早期即有软骨岛形成,其后纤维组织中才形成骨样组织和骨小梁,但软骨内成骨比纤维性成骨晚。此结果与文献报道相同〔7,9〕。
, http://www.100md.com
与普通骨折愈合比较,延长骨愈合所需的时间较长。一般大鼠和家兔骨折后数日内即有明显骨痂形成,2~3周即出现较坚实的骨痂连接。本实验发现,在截骨第33天(骨延长的第30天)虽然先期形成的骨痂已开始改建,但延长区仍然可见到新的骨痂形成。可见,加快延长区骨愈合的速度,缩短愈合时间是骨延长治疗必须解决的问题。
3.2 延长区骨愈合过程中BMP的表达 BMP与转化生长因子、成纤维细胞生长因子同属骨生长因子。已证实它是正常胚胎时期骨、牙组织和成年骨修复最主要的诱导分化因子〔10〕,其成骨机制是作用于间充质细胞表面受体,在一定外界环境影响下诱导间充质细胞分化为成骨细胞及成软骨细胞〔11〕。骨的发生一经启动,则由PDGH、FGF以及一些非特异性细胞因子、激素等多种因素共同调节,来维持骨细胞代谢过程〔12〕。BMP可以启动间充质细胞成为骨系细胞,但不能使已分化的骨系细胞大量增殖〔2〕。免疫组化研究结果显示,在延长骨再生修复的全过程中BMP均有不同程度的表达,表明BMP与延长区骨愈合密切相关,其具体作用机制有待进一步探讨。
, http://www.100md.com
作者简介:杨举伦,男,36岁,博士,主任医师,硕士生导师。
参考文献
1,Monticelli G,Spinelli R. Leg lengthening by closed metaphyseal corticotomy. Ital J Orthop Traumatol,1983;9(20):139
2,李起鸿.我国修复长骨大段骨缺损的进展. 中华骨科杂志, 1997;17(1):13
3,Hamanishi C, Vasuwakio Y, Kikuchi H et al. Classification of the callus in limb lengthening. Acta Orthop Scand, 1992;63:430
4,Friedlaender GE. Current concepts review: Enhancement of fracture-healing. J Bone Joint Surg, 1995;77-A:940
, 百拇医药
5,Kawamura B, Hosono S, Takahashi T et al. Limb lengthening by means of subcauaneous osteotomy. J Bone Joint Surg(Am), 1968;50:851
6,Peltonen J, Alitalo L, Karaharyu E et al. Distraction of the growth plate. Acta Orthop Scan, 1984;55:359
7,王大勇,李起鸿,柳凤轩. 不同速度延长对骨再生修复的影响.第三军医大学学报,1991;13(4):342
8,Finley JM. Revascularized periosteal grafts:A new method to produce functional new bone without bone grafting. Plast Reconst Surg,1978;66:1
, 百拇医药
9,沈型初,柳用墨,周江南. 胫骨干骺端与骨干截骨延长术骨愈合过程对比实验研究. 中华骨科杂志,1988;8(5):381
10,胡蕴玉. 骨生长因子与骨愈合的研究与展望. 中华骨科杂志, 1996;16(9):539
11,马真胜,胡蕴玉.骨形态发生蛋白诱导成骨机制的研究进展. 国外医学创伤与外科基本问题分册,1994;15(8):156
12,Forst HM. The biology of fracture healing. Clin Orthop,1989;248:243
收稿日期:1999-04-14 修回日期:1999-07-09, http://www.100md.com
单位:杨举伦 蔡学敏 刘大荣 夏正武(成都军区昆明总医院病理科);范国华 林月秋 阮默(骨病科,昆明 650032)
关键词:骨延长术;骨再生;骨折愈合;骨形成蛋白;兔;疾病模型,动物
临床与实验病理学杂志000217 摘要 目的:探讨截骨延长区骨愈合的病理学特点和新骨形成规律。方法:取健康兔27只建立胫骨骨延长动物模型,分别于延长的第0、1、3、5、10、15、20、30、40天处死动物,在延长区取材进行病理组织学观察,同时用抗骨形成蛋白(BMP)单抗作免疫组化染色。结果:延长前即出现血肿,延长第1天血肿机化,第3天出现新的血肿,第5天软骨形成和新血肿机化,第15天出现膜内成骨、纤维性成骨和软骨内成骨,第20天延长区大部分被骨性骨痂取代,第30天开始改建。免疫组化染色显示延长区纤维母细胞、骨母细胞和软骨细胞均不同程度表达BMP。结论:延长区存在膜内成骨、纤维性成骨和软骨内成骨3种方式,以软骨内成骨为主;内源性BMP参与了延长区愈合过程。
, http://www.100md.com
中图分类号 R683;R336 文献标识码 A 文章编号 1001-7399(2000)02-0140-04
Pathological observation of osteogenesis of rabbit tibial lengthened-aera by osteotomy and physical distraction
Yang Julun, Fan Guohua, Cai Xuemin, Lin Yueqiu, Liu Darong, Ruan Mo, Xia Zhengwu
Dept of Pathol,Dept of Osteopathy, Kunming General Hospital of Chengdu Military Command, Kunming 650032
ABSTRACT Purpose To study pathological characteristics of osteogenesis of rabbit tibial lengthened-area. Methods Twenty-seven rabbits were used to make models of tibial-lengthening by osteotomy and distraction. The rabbits were killed for morphological observation of tibial lengthened-aera.Bone morphogenetic protein(BMP) was detected immunohistochdmically using monoclonal antibody against BMP. Results Haematoma was presented before distraction. On the first day after distraction haemotoma was organized by granulation tissues. New haemetoma was seen on the 3rd day. On the 5th day new haemotoma was organized and cartilage formed. On the 15th day intramembranous ossification, fibrous ossification and endochondral ossification was present. On the 20th day bone callus occupied the majority of lengthened-area. On the 30th day reconstraction of callus began. It was showed different level expression of BMP in fibroblasts, osteoblasts and chondrocytes. Conclusions (1) Intramembtanous ossification, fibrous ossification and endochondral ossification are involved in the process of osteogenesis of lengthened-area and endochondral ossification is a main pattern. (2)Interal BMP takes part in the osteogenesis of lengthened-area.
, 百拇医药
KEY WORDS bone lengthening;bone regeneration; fracture healing; bone morphogenetic protein; rabbits; disease models, animal
胫骨截骨延长术是80年代初由Monticelli等〔1〕提出的,是矫正肢体短缩畸形、修复长骨大段骨缺损及矮身材美容增高的有效方法〔2〕。但在临床实际应用中由于存在延长区骨痂形成不良、愈合时间长等缺点,使该项技术的应用受到一定的限制〔3〕。因此,研究骨延长区的成骨方式和新骨形成规律对于探讨骨延长区的成骨机制进而寻找促进骨延长区愈合的方法有重要意义。本实验选择日本大耳白兔建立胫骨截骨延长的动物模型,运用X线检查、光镜观察等手段研究延长区骨愈合的过程,并用免疫组化法探讨了延长区内源性骨形成蛋白(BMP)的表达。
1 材料与方法
, http://www.100md.com
1.1 实验动物 选择3月龄清洁级日本大耳白兔27只,均为雌性,体重2.1~2.5 kg,平均2.3 kg。精制颗粒饲料笼养,自由饮水。
1.2 骨延长模型的制备 剃净右后肢毛,以3%戊巴比妥钠经耳缘静脉行全身麻醉。取左侧卧位,在无菌条件下于右侧胫骨中下1/3处作长约1.0 cm的纵行切口,钝性分离胫前肌,纵行切开骨膜并环行剥离,置入直径为0.5 mm的线锯备用。分别在截骨平面上下各1.5 cm及0.5 cm处穿放4组克氏针(直径1.2 mm),安装半环槽式外固定架,拉动线锯横行截断骨干,清创后缝合骨膜,关闭切口,并作无菌敷料包扎。麻醉清醒后归笼饲养。术后第4天开始进行骨延长,具体方法是调节半环架上的螺母,每天调节2次,每次延长1 mm,共延长10天,总延长长度为20 mm。
1.3 延长区X线检查 术后第3天X线观察截骨端对位对线情况;分别于骨延长的第5、10、15、20、30和40天X线摄片观察骨再生修复过程。
, 百拇医药
1.4 取材与制片 分别于骨延长的第0、1、3、5、10、15、20、30、40天各处死3只动物,分离胫骨周围软组织,完整切取延长区新生骨痂,置10%福尔马林溶液中固定,4℃下以5%硝酸脱钙,常规脱水、浸蜡、包埋、切片、HE染色,光镜观察。
1.5 免疫组化染色 以BMP的单克隆抗体(第四军医大学提供)为第一抗体作免疫组化染色(S-P法),观察延长区骨愈合过程中内源性BMP的表达情况。
2 结果
2.1 大体观察 在10天的延长期内,延长肢长度逐渐增加,延长区增粗,停止延长后则长度不再增加。未延长肢无此变化。延长区骨膜增厚,完整,未见撕裂痕迹。
2.2 X线检查 所有实验兔术后胫骨对位对线良好,延长过程中截骨端逐渐分离,未发生错位现象。延长第5天截骨端见少量低密度云絮状骨痂影,中央呈明显放射状透光区。第10天两断端骨痂影密度增高,数量增多,放射性透光区清楚。第15天(即停止延长后5天)骨痂影由两端向中央生长,局部骨痂连接。第20天延长区骨痂大部分连接,呈节段性致密疏松现象。第30天骨痂充满延长区,密度增高增粗,骨外膜下可见梭形骨痂包裹。第40天新生骨皮质影开始形成,连接成细线状,骨痂密度高且均匀(图1)。
, 百拇医药
2.3 病理组织学观察 骨延长0天(截骨术后第3天)截骨区广泛出血,红细胞充斥于纤维结缔组织之间,挤压纤维结缔组织,形成血肿。血肿内及血肿边缘可见大量坏死细胞碎片。血肿周围结缔组织内散在多个骨碎片,其外形不规则,边缘不整齐,有的骨细胞已变性、坏死甚至消失,表明骨片开始坏死。延长第1天见血肿内及边缘成纤维细胞、毛细血管增生,形成肉芽组织,表明血肿开始机化。新生的肉芽组织疏松,成纤维细胞和毛细血管连接成网状,其间富含粘液样基质,似胚胎期的间充质。延长第3天大部分血肿被肉芽组织取代,但周围结缔组织内又出现新的出血灶。延长第5天肉芽组织内毛细血管减少,成纤维细胞和纤维细胞数量明显增多,并出现较多的网状纤维和部分胶原纤维,使肉芽组织转化为纤维组织。纤维组织沿长轴方向(纵向)排列,其中有软骨细胞形成。新形成的软骨细胞大而圆,胞浆丰富,核小,紧密排列成片块状或岛屿状。纤维组织内仍有死骨片存在。此外可见新的出血灶和血肿机化现象。第10天纤维组织内见多个软骨岛,大小不等,有的相邻软骨岛已融合。仍可见到新鲜出血灶和血肿机化现象。第15天骨膜区及机化区的纤维组织内有骨样组织生成,骨样组织与其周围的纤维组织有移行,表明膜内成骨和纤维性成骨开始(图2,3)。软骨岛内多处出现软骨细胞变性坏死和基质溶解,在该处形成骨样组织,表明软骨内多个骨化中心形成,软骨内成骨开始(图4)。第20天见软骨内成骨和纤维性成骨继续发展,形成的骨小梁交织成网状,骨小梁表面被覆一层骨母细胞。网眼内为纤维组织。新的出血灶已被完全机化成纤维组织。死骨片已溶解并被纤维组织取代。第30天大部分纤维组织和软骨组织已被网状骨小梁组成的骨性骨痂取代,局部区域尚有残存的软骨。骨小梁沿长轴排列,其内胶原纤维增多,骨细胞体积缩小,基质有钙盐沉积,表面的骨母细胞减少,出现多核的破骨细胞,骨小梁之间的网眼内纤维组织坏死形成空腔(早期的骨髓腔),表明新生骨开始改建。第40天骨小梁继续钙化,沿长轴规则排列,网眼内的纤维组织绝大部分消失,有的骨髓腔内出现骨髓组织,另外还见到新的软骨灶和骨化灶。
, http://www.100md.com
图1 兔胫骨截骨延长第40天X线片所见。延长区已被骨痂连接起来,可见骨皮质影,但骨密度不如正常骨。
图2 胫骨延长第15天,机化的肉芽组织直接成骨(纤维性成骨)。HE×200
图3 胫骨延长第15天,骨外膜部位直接成骨(膜内成骨)。HE×100
图4 胫骨延长第15天,软骨岛中央出现骨化中心(软骨内成骨)。HE×400
图5 胫骨延长第10天,纤维母细胞内有BMP表达。HE×400
2.4 免疫组化观察 骨延长0天,坏死组织和血肿内即呈BMP阳性。第1天和第3天,除血肿和坏死组织外,肉芽组织内也出现BMP。第5天纤维性骨痂及其中的软骨组织富含BMP。第10、15、20天,纤维组织、软骨细胞和软骨基质呈BMP阳性(图5);新形成的骨小梁和骨样组织除与纤维组织和软骨组织移行部位的骨样组织含少量BMP外,大部分骨小梁(包括骨细胞及骨基质)均不含BMP;骨小梁周围的骨母细胞呈BMP强阳性。第30、40天,骨小梁不表达BMP,但骨母细胞及残存的软骨组织和纤维组织仍呈BMP阳性。综上所述,截骨后即有BMP释放到坏死组织和血肿内,从延长开始到第40天,机化的肉芽组织、纤维组织、软骨组织及骨母细胞均表达BMP,而骨小梁内的骨基质和骨细胞自始至终均无BMP表达。
, http://www.100md.com
3 讨论
3.1 病理组织学改变 骨延长区的骨愈合是一种特殊类型的骨愈合,外界施加的牵张应力造成了新的损伤,改变了延长区的微环境〔4〕,势必影响愈合的进度和成骨方式。本实验发现,延长区的愈合过程仍遵循普通骨折愈合的4个阶段,即血肿形成、血肿机化、骨痂形成和骨痂改建。但从本实验看,骨延长区的愈合与普通骨折愈合又有不同:(1)普通骨折愈合的4个阶段依次完成,不相互交叉。而延长区因受外力牵拉,在愈合过程中形成新的损伤,故4个阶段出现交叉和重叠。例如在机化期和骨痂形成期出现新的血肿和机化,在改建期见骨性骨痂和软骨性骨痂形成。(2)普通骨折愈合的骨痂来源于两种细胞,一是由骨外膜深层的细胞形成外骨痂(包括骨性骨痂和软骨性骨痂,后者通过软骨化骨变成骨性骨痂),二是由骨内膜细胞和骨髓的网织细胞分化成内骨痂(包括骨性骨痂和软骨性骨痂)。骨延长区的骨痂形成则不同:(1)由骨外膜细胞分化形成外骨痂;(2)由血肿机化产生的幼稚纤维组织形成内骨痂。这些纤维组织先形成骨样组织和软骨,软骨再通过软骨内成骨变成骨样组织。
, http://www.100md.com
Kawamura等认为延长骨再生修复采取膜内成骨和软骨内成骨两种方式〔5~7〕,本实验发现还有第3种成骨方式,即纤维内成骨。骨膜有很强的成骨能力,Finley〔8〕最早用带血管的自体骨膜移植,成功地修复了狗胫骨5 cm的骨缺损。已经证实,骨膜细胞在骨折时可转化为较幼稚的大细胞,再变成骨母细胞,此即膜内成骨。我们发现,血肿和坏死组织机化后的肉芽组织也可成为幼稚的纤维结缔组织,其中的一些幼稚细胞分化成骨母细胞,进一步形成骨样组织,我们称为纤维内成骨,以示与膜内成骨区别。
虽然延长骨修复过程同时有软骨和骨样组织形成,但数量上以软骨性骨痂为主,骨性骨痂为辅。软骨性骨痂经软骨内成骨形成骨性骨痂。这是由于延长区的断端间距比普通骨折宽,因此断端间活动度大,局部血液供应差,氧张力低,而软骨基质是营养物质弥散最好的媒介,且软骨细胞代谢的需氧量很少,因此软骨性骨痂更能适应延长区的骨再生微环境。但是软骨性骨痂通过软骨内成骨变成骨性骨痂,比纤维组织直接成骨需要的时间长,影响了愈合速度。我们发现,尽管延长骨修复早期即有软骨岛形成,其后纤维组织中才形成骨样组织和骨小梁,但软骨内成骨比纤维性成骨晚。此结果与文献报道相同〔7,9〕。
, http://www.100md.com
与普通骨折愈合比较,延长骨愈合所需的时间较长。一般大鼠和家兔骨折后数日内即有明显骨痂形成,2~3周即出现较坚实的骨痂连接。本实验发现,在截骨第33天(骨延长的第30天)虽然先期形成的骨痂已开始改建,但延长区仍然可见到新的骨痂形成。可见,加快延长区骨愈合的速度,缩短愈合时间是骨延长治疗必须解决的问题。
3.2 延长区骨愈合过程中BMP的表达 BMP与转化生长因子、成纤维细胞生长因子同属骨生长因子。已证实它是正常胚胎时期骨、牙组织和成年骨修复最主要的诱导分化因子〔10〕,其成骨机制是作用于间充质细胞表面受体,在一定外界环境影响下诱导间充质细胞分化为成骨细胞及成软骨细胞〔11〕。骨的发生一经启动,则由PDGH、FGF以及一些非特异性细胞因子、激素等多种因素共同调节,来维持骨细胞代谢过程〔12〕。BMP可以启动间充质细胞成为骨系细胞,但不能使已分化的骨系细胞大量增殖〔2〕。免疫组化研究结果显示,在延长骨再生修复的全过程中BMP均有不同程度的表达,表明BMP与延长区骨愈合密切相关,其具体作用机制有待进一步探讨。
, http://www.100md.com
作者简介:杨举伦,男,36岁,博士,主任医师,硕士生导师。
参考文献
1,Monticelli G,Spinelli R. Leg lengthening by closed metaphyseal corticotomy. Ital J Orthop Traumatol,1983;9(20):139
2,李起鸿.我国修复长骨大段骨缺损的进展. 中华骨科杂志, 1997;17(1):13
3,Hamanishi C, Vasuwakio Y, Kikuchi H et al. Classification of the callus in limb lengthening. Acta Orthop Scand, 1992;63:430
4,Friedlaender GE. Current concepts review: Enhancement of fracture-healing. J Bone Joint Surg, 1995;77-A:940
, 百拇医药
5,Kawamura B, Hosono S, Takahashi T et al. Limb lengthening by means of subcauaneous osteotomy. J Bone Joint Surg(Am), 1968;50:851
6,Peltonen J, Alitalo L, Karaharyu E et al. Distraction of the growth plate. Acta Orthop Scan, 1984;55:359
7,王大勇,李起鸿,柳凤轩. 不同速度延长对骨再生修复的影响.第三军医大学学报,1991;13(4):342
8,Finley JM. Revascularized periosteal grafts:A new method to produce functional new bone without bone grafting. Plast Reconst Surg,1978;66:1
, 百拇医药
9,沈型初,柳用墨,周江南. 胫骨干骺端与骨干截骨延长术骨愈合过程对比实验研究. 中华骨科杂志,1988;8(5):381
10,胡蕴玉. 骨生长因子与骨愈合的研究与展望. 中华骨科杂志, 1996;16(9):539
11,马真胜,胡蕴玉.骨形态发生蛋白诱导成骨机制的研究进展. 国外医学创伤与外科基本问题分册,1994;15(8):156
12,Forst HM. The biology of fracture healing. Clin Orthop,1989;248:243
收稿日期:1999-04-14 修回日期:1999-07-09, http://www.100md.com