HCY-2基因和同型半胱氨酸与鸡胚先天性心脏畸形发生的关系
http://www.100md.com
37c医学网
作者:李勇 李松 陈光慧 胡白和 孟昭亨 陈星 赵如冰 张晨晖 刘虹 赵智榕 汤健 李竹
单位:李勇 李松 孟昭亨 陈星 赵如冰 张晨晖 刘虹 赵智榕 李竹(100083 北京医科大学中国妇婴保健中心);陈光慧 汤健(心血管研究所);胡白和(生物物理系)
关键词:基因;半胱氨酸;胚胎;心脏缺损,先天性
中华医学杂志000223
【摘要】 目的 探讨新基因HCY-2和同型半胱氨酸与早期先天性心脏畸形发生的关系。方法 应用鸡胚致畸试验观察同型半胱氨酸(0~16 μmol/胚胎)对鸡胚心血管发育的影响;采用脂质体介导基因转移法将已构建的含有全长HCY-2cDNA的真核表达载体转入新生鸡卵,培养4 d后再用Western杂交和免疫组织化学等方法观察HCY-2基因对早胚心血管发育的致畸作用及其编码产物的表达和分布。结果 HCY对器官形成期的心脏有明显的致畸作用并呈剂量-反应关系(P<0.05)。转10 μg和20 μg HCY-2基因能诱导鸡胚心血管系统发育异常,心脏畸形发生率分别为16.7%和24.0%,主要表现型是心包积液、异位心、心外露和心脏过小。Western杂交显示转10 μg和20 μg基因组胚胎样品有HCY-2蛋白大量表达,其分布以胚胎心脏组织为主。HCY-2基因可引起心脏结构紊乱、心内膜垫缺损和抑制心室心房发育,并可损害心肌细胞的超微结构。结论 HCY/HCY-2基因可能是一种新的心脏发育毒性因子;HCY-2基因的异常表达在心血管畸形发生过程中起重要作用。
, 百拇医药
The relationship between HCY-2 gene and congenital
heart teratogenesis in early chick embryos
LI Yong, LI Song, CHEN Guanghui, et al.
(National Center for Maternal and Infant Health Care of China,Beijing Medical University, Beijing 100083)
【Abstract】 Objective To explore the relationship between novel gene (HCY-2), homocysteine and congenital heart defects, and to study their biological mechanisms. Methods The teratogenic test of chick embryos which were treated with D.L-homocysteine (0-16 μmol/embryo) was used to observe the developmental toxicity of homocysteine per se. The eukaryotic expressing vector containing whole-length HCY-2 cDNA (2 014 bp) was microinjected into fertile eggs with lipofect AMINETM reagent; then the effects of HCY-2 gene on cardiovascular damages of embryos, the expression and distribution of HCY-2 gene coding product were investigated with the techniques of Western blot, immunohistochemistry, light and electron microscopy. Results Apparently teratogenic action of homocysteine on developing heart was observed in the critical stage of organogenesis and the damages were concentration dependent (P<0.05). 10~20 μg HCY-2 gene could cause dysmorphogenesis of the cardiovascular system. The congenital heart defect rates were 16.7% and 24.0% respectively. The abnormal forms were ectopic cardis extrathoracic heart and hypoplastic heart. Western blot and immunohistochemical staining showed that HCY-2 protein was largely expressed in the abnormal embryos, with stronger staining at the sites of embryonic heart and brain as compared with controls. Under light and electron microscope, it was seen that HCY-2 gene resulted in structure disturbance, endocardial cushion defect and hypoplasia of heart. Conclusion Homocysteine/HCY-2 gene may be a new heart-developing cytotoxic/genotoxic factor, and HCY-2 gene may play a very important role in the mechanisms of congenital heart defects of chick, and probably humans as well.
, 百拇医药
【Key words】 Genes; Cysteine; Embryo; Heart defects, congenital
Kokame等[1]和我们均克隆出用同型半胱氨酸(HCY)诱导的新基因[2],但这些基因是否对心血管发育产生影响,对此我们观察了同型半胱氨酸对早期鸡胚心血管的发育毒性作用,并探讨新基因(HCY-2 cDNA,全长为2 014 bp,编码142个氨基酸)与心血管畸形发生的关系,以期确定HCY-2基因的功能。
材料与方法
1.鸡胚培养:未经免疫的当天新生莱杭鸡种蛋购自北京家禽孵化实验场,按已建立的方法进行定时翻转培养[3]。
2.致畸实验:将2 d龄鸡胚系统随机分成7组,每组1次性注射新鲜配制的D、L-同型半胱氨酸(D、L-HCY,美国Sigma公司产品),浓度依次为0、0.5、1.0、2.0、4.0、8.0和16.0 μmol/胚胎,对照组注射无D、L-HCY的注射用水,封闭后继续培养2 d,收获胚胎,体视镜观察。
, http://www.100md.com
3.真核表达载体构建和脂质体介导基因转移:HCY-2 cDNA是经差异显示法及3’和5’-RACE反应,由同型半胱氨酸诱导培养的平滑肌细胞中克隆出来的,然后将全长HCY-2 cDNA再克隆到真核表达载体pcD2中,形成pcD2/HCY-2重组质粒后用于基因转移。转基因用的脂质体LipofectAMINETM为美国Gibco公司产品。先将100 ml LipofectAMINETM加入900 μl的无血清DMEM中,混匀后沿管壁缓慢加入pcD2/HCY-2,边加边旋转,摇匀后室温放置30 min。每实验组微注射HCY-2cDNA的剂量依次为5、10和20 μg/新生鸡卵,阴性对照组微注射空载质粒和蒸馏水,注射体积均为10 μl。入孵化箱,翻转培养4 d后收获胚胎,显微镜下检查。
4.Western杂交:镜检后的胚胎(每只胚胎湿重约为15~20 mg,每组4只)分别入玻璃研磨器,胚胎蛋白质提取和浓度测定参照文献[4]。蛋白质样品用体积分数为10%聚丙烯酰胺凝胶分离,然后转到硝酸纤维素膜上。第一抗体为HCY-2多克隆抗体(稀释度为1∶5 000,是本室应用纯化的HCY-2重组蛋白免疫兔后制成的),第二抗体为碱性磷酸酶标记的抗兔IgG(稀释度为1∶7 500,美国Promega 公司产品)。用5-溴-4-氯-3-吲哚磷酸盐/硝基四氮唑蓝(BCIP/NBT) 显色反应检测杂交信号。
, 百拇医药
5.免疫组织化学染色:采用ABC法。石蜡切片(5 μm),常规脱蜡,体积分数为3% H2O2的封闭内源性过氧化物酶。一抗为HCY-2多克隆抗体(1∶200);二抗用生物素标记的抗兔IgG(1∶100),华美生物工程公司)。DAB显色,封片后镜检有棕黄色者为阳性,阴性对照不加一抗。
6.电镜观察:活胚胎用3%戊二醛固定30 min,漂洗后行体积分数为1% OsO4再固定,酒精系列脱水。醋酸异戊酯置换后将样品转至干燥器中进行临界点干燥。用钟表镊子仔细修整胚胎,去除腹膜等组织和暴露心脏,小心上样固定,然后用离子镀仪给胚胎镀金,扫描电镜观察。大体检查完后,再用极细镊子将胚胎心脏旁的前肢芽和尾侧躯体剥除(本步骤操作小心),暴露大体心脏后继续观察。透射电镜样品按常规制备,胚胎心脏经定位修饰后制成超薄切片,铅-铀染色后镜下观察和记录细胞超微结构的改变。
7.统计学处理:数据输入计算机,进行χ2和趋势性χ2检验。
, 百拇医药
结果
1.D、L-HCY对前肠期鸡胚心血管发育的毒性作用:由表1可见,注射不同剂量的HCY能损害2 d龄鸡胚心脏的正常发育,所诱发的心脏畸形主要表现是心包积液、心外露、异位心脏和心脏过小等。
表1 同型半胱氨酸对2 d龄鸡胚心脏发育的影响 鸡胚注射剂量
(μmol/只胚胎)
活胚胎数
(个)
心脏畸形数(个)
只
百分率*(%)
0
, http://www.100md.com
34
0
0
0.5
44
1
2.3
1.0
56
2
3.6
2.0
54
3
, http://www.100md.com
5.6
4.0
57
5
8.8
8.0
41
9
21.9
16.0
26
8
30.8
, http://www.100md.com 注:*趋势性χ2检验,P<0.05
2.转全长HCY-2 cDNA 对新生鸡卵心血管发育的影响:空载质粒、dH2O和转基因5 μg组胚胎发育良好,无畸形发生。转基因组(10~20 μg)心脏发育异常(表2,图1)。
图1 转10 μg HCY-2基因组,4 d龄鸡胚心脏为异位双心 ×8
表2 转HCY-2基因对新生鸡卵心血管发育的影响 组别
活胚胎
(个)
心脏畸形
, http://www.100md.com
出血灶**
个数
百分率
(%)
个数
百分率
(%)
空载质粒组
30
0
0
1
3.3
, 百拇医药
蒸馏水组(μg/新生鸡卵)
22
0
0
1
4.5
5
21
0
0
3
14.3
10
, http://www.100md.com 24
4
16.7*
6
25.0
20
25
6
24.0*
9
36.0
注:*与空载质粒和蒸馏水对照组比较,P<0.05;**趋势性χ2检验,P<0.05
, 百拇医药
3.4 d龄鸡胚HCY-2蛋白表达水平:Western 印迹杂交结果显示(图2),空载质粒组、dH2O组和转5 μg HCY-2基因组发育正常的胚胎无HCY-2蛋白表达。转10和20 μg HCY-2基因组的心血管畸形胚胎有HCY-2蛋白(相对分子质量为15 000)大量表达。
1.标准HCY-2重组蛋白;2.转20 μg HCY-2基因;3.转10 μg HCY-2基因;
4.转5 μg HCY-2基因;5.空载质粒组;6.dH2O
图2 Western杂交结果
4.免疫组织化学:空载质粒组4 d龄鸡胚心脏发育正常,腹侧和背侧心内膜垫向腔内突出,在管腔中线处相遇并开始融合;心室壁结构疏松,可见许多肌小梁相互连接成网格状;整个心脏切面上HCY-2蛋白表达均呈阴性(图3)。反之,转基因组表现心腔结构紊乱,发育相对滞后和心内膜垫部分缺损等。切面上HCY-2蛋白表达呈强阳性(图4,5)。
, 百拇医药
图3 空载质粒组,4 d龄鸡胚心内膜垫在中线处融合,HCY-2蛋白表达阴性。ABC ×25
图4 转20 μg HCY-2基因组,4 d龄鸡胚心内膜垫有缺损,HCY-2蛋白表达呈强阳性。ABC ×25
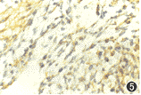
图5 心肌细胞HCY-2蛋白表达阳性放大,定位于胞质和核膜。ABC ×200
5.电镜观察:扫描电镜下,与空载质粒对照组比较,转基因(10~20 μg)鸡胚的心室和心房发育不良(图6),说明HCY-2可干扰心原基细胞的分化和增殖速度,所导致的原始心壁心肌细胞数量减少是房室发育不全的重要基础。透射电镜下转基因组心肌细胞形态变异和固缩,细胞间缝隙连接减少;胞内线粒体和内质网有不同程度肿胀,空泡和溶酶体数量增多,肌丝减少排列紊乱,闰盘少见等现象。
, 百拇医药
图6 转10 μg HCY-2基因组,扫描电镜下心脏表面粗糙,发育相对迟缓 ×50
讨论
HCY是一种含硫氨基酸,为体内蛋氨酸代谢的中间产物。现已发现由环境和遗传因素导致的高HCY血症是许多疾病(如:出生缺陷、心血管病、糖尿病等)发生的重要基础之一。目前虽没有完全肯定高HCY血症与人先心病有关,但已有实验结果提示,HCY能诱发鸡胚发生先天性心脏病[5]。本研究也显示HCY可直接引起鸡胚心血管发生畸变,其毒性作用呈明显剂量-反应关系,证明HCY是一种能损害或干扰早期心血管生长发育的危险因子。
由于“在细胞水平上观察到的结果切不可直接往整体上推论”[6],而我们又要从整体效应上阐述所克隆的新基因(HCY-2)的功能,所以我们将不同剂量的HCY-2 cDNA转入新生鸡卵,进行四维时空整体动态观察。发现HCY-2能诱导4 d龄鸡胚发生心脏畸形,而对照组无一例畸形发生,提示HCY-2基因具有功能,与先心病的早期发生有关,可能是一种能干扰心血管正常发育和形成的基因毒物。
, http://www.100md.com
新生鸡卵转HCY-2基因后是否能翻译出相应蛋白质呢?Western blot结果表明正常发育的鸡胚(空载质粒和dH2O组)无HCY-2蛋白表达,转5 μg HCY-2 cDNA亦无HCY-2蛋白表达,所以此剂量对鸡胚无致畸效应;而发生心脏畸形的鸡胚(10和20 μg HCY-2基因组)均有HCY-2蛋白高表达。进一步的免疫组织化学定性定位分析发现,HCY-2蛋白表达的主要靶器官是心血管和神经系统,说明大量表达的HCY-2蛋白可能是引起心脏发育异常的一个关键因素,其表达量超过形成鸡胚心脏的原基细胞生理耐受阈值时就可导致其发生整体性调控失衡和发育紊乱。
本研究中我们发现,HCY-2可干扰鸡胚心血管细胞的分化和增殖,损害细胞的超微结构等,从而致使形成心脏的多胚层细胞分化、迁移和组合失常,结果引起心内膜、心腔间隔及心肌发育出轨,最终发生畸形效应,这可能是HCY-2诱发心血管畸形发生的重要分子病理基础之一,其作用与homeobox基因族异常表达十分相似[7]。
, 百拇医药
基金项目:国家自然科学基金资助项目(39730470,39870697)参考文献
[1]Kokame K, Kato H, Miyata T. Homocysteine-respondent genes in vascular endothelial cells identified by differential display analysis. J Biol Chem,1996,271:29659-29665.
[2]陈光慧,朱燕青,张晨晖,等. 同型半胱氨酸/半胱氨酸诱导血管平滑肌细胞中的新cDNA. 中国生物化学与分子生物学报,1998,14:8-14.
[3]李勇,陈星,齐佩文,等. 同型半胱氨酸对鸡神经胚形成期胚胎的发育毒性和致畸作用初探. 中国优生优育,1998,9:7-9.
[4]J 萨姆布鲁克,EF 弗里奇,T 曼尼阿蒂斯. 分子克隆实验指南. 金冬雁,黎孟枫,译. 第2版. 北京:科学出版社,1993,888-897.
, 百拇医药
[5]Rosenquist TH, Ratashak SA, Selhub J. Homocysteine induces congenital defects of the heart and neural tube: effect of folic acid. Proc Natl Acad Sci USA,1996,93:15227-15232.
[6]刘德培. 对当前我国医学分子生物学研究的几点看法. 中华医学杂志,1998,78:807-809.
[7]李松,张泽峰,朱惠萍,等. 心脏发育的分子生物学和先天性心脏病. 中国优生优育,1997,8:82-85.
收稿日期:1999-02-08, 百拇医药
单位:李勇 李松 孟昭亨 陈星 赵如冰 张晨晖 刘虹 赵智榕 李竹(100083 北京医科大学中国妇婴保健中心);陈光慧 汤健(心血管研究所);胡白和(生物物理系)
关键词:基因;半胱氨酸;胚胎;心脏缺损,先天性
中华医学杂志000223
【摘要】 目的 探讨新基因HCY-2和同型半胱氨酸与早期先天性心脏畸形发生的关系。方法 应用鸡胚致畸试验观察同型半胱氨酸(0~16 μmol/胚胎)对鸡胚心血管发育的影响;采用脂质体介导基因转移法将已构建的含有全长HCY-2cDNA的真核表达载体转入新生鸡卵,培养4 d后再用Western杂交和免疫组织化学等方法观察HCY-2基因对早胚心血管发育的致畸作用及其编码产物的表达和分布。结果 HCY对器官形成期的心脏有明显的致畸作用并呈剂量-反应关系(P<0.05)。转10 μg和20 μg HCY-2基因能诱导鸡胚心血管系统发育异常,心脏畸形发生率分别为16.7%和24.0%,主要表现型是心包积液、异位心、心外露和心脏过小。Western杂交显示转10 μg和20 μg基因组胚胎样品有HCY-2蛋白大量表达,其分布以胚胎心脏组织为主。HCY-2基因可引起心脏结构紊乱、心内膜垫缺损和抑制心室心房发育,并可损害心肌细胞的超微结构。结论 HCY/HCY-2基因可能是一种新的心脏发育毒性因子;HCY-2基因的异常表达在心血管畸形发生过程中起重要作用。
, 百拇医药
The relationship between HCY-2 gene and congenital
heart teratogenesis in early chick embryos
LI Yong, LI Song, CHEN Guanghui, et al.
(National Center for Maternal and Infant Health Care of China,Beijing Medical University, Beijing 100083)
【Abstract】 Objective To explore the relationship between novel gene (HCY-2), homocysteine and congenital heart defects, and to study their biological mechanisms. Methods The teratogenic test of chick embryos which were treated with D.L-homocysteine (0-16 μmol/embryo) was used to observe the developmental toxicity of homocysteine per se. The eukaryotic expressing vector containing whole-length HCY-2 cDNA (2 014 bp) was microinjected into fertile eggs with lipofect AMINETM reagent; then the effects of HCY-2 gene on cardiovascular damages of embryos, the expression and distribution of HCY-2 gene coding product were investigated with the techniques of Western blot, immunohistochemistry, light and electron microscopy. Results Apparently teratogenic action of homocysteine on developing heart was observed in the critical stage of organogenesis and the damages were concentration dependent (P<0.05). 10~20 μg HCY-2 gene could cause dysmorphogenesis of the cardiovascular system. The congenital heart defect rates were 16.7% and 24.0% respectively. The abnormal forms were ectopic cardis extrathoracic heart and hypoplastic heart. Western blot and immunohistochemical staining showed that HCY-2 protein was largely expressed in the abnormal embryos, with stronger staining at the sites of embryonic heart and brain as compared with controls. Under light and electron microscope, it was seen that HCY-2 gene resulted in structure disturbance, endocardial cushion defect and hypoplasia of heart. Conclusion Homocysteine/HCY-2 gene may be a new heart-developing cytotoxic/genotoxic factor, and HCY-2 gene may play a very important role in the mechanisms of congenital heart defects of chick, and probably humans as well.
, 百拇医药
【Key words】 Genes; Cysteine; Embryo; Heart defects, congenital
Kokame等[1]和我们均克隆出用同型半胱氨酸(HCY)诱导的新基因[2],但这些基因是否对心血管发育产生影响,对此我们观察了同型半胱氨酸对早期鸡胚心血管的发育毒性作用,并探讨新基因(HCY-2 cDNA,全长为2 014 bp,编码142个氨基酸)与心血管畸形发生的关系,以期确定HCY-2基因的功能。
材料与方法
1.鸡胚培养:未经免疫的当天新生莱杭鸡种蛋购自北京家禽孵化实验场,按已建立的方法进行定时翻转培养[3]。
2.致畸实验:将2 d龄鸡胚系统随机分成7组,每组1次性注射新鲜配制的D、L-同型半胱氨酸(D、L-HCY,美国Sigma公司产品),浓度依次为0、0.5、1.0、2.0、4.0、8.0和16.0 μmol/胚胎,对照组注射无D、L-HCY的注射用水,封闭后继续培养2 d,收获胚胎,体视镜观察。
, http://www.100md.com
3.真核表达载体构建和脂质体介导基因转移:HCY-2 cDNA是经差异显示法及3’和5’-RACE反应,由同型半胱氨酸诱导培养的平滑肌细胞中克隆出来的,然后将全长HCY-2 cDNA再克隆到真核表达载体pcD2中,形成pcD2/HCY-2重组质粒后用于基因转移。转基因用的脂质体LipofectAMINETM为美国Gibco公司产品。先将100 ml LipofectAMINETM加入900 μl的无血清DMEM中,混匀后沿管壁缓慢加入pcD2/HCY-2,边加边旋转,摇匀后室温放置30 min。每实验组微注射HCY-2cDNA的剂量依次为5、10和20 μg/新生鸡卵,阴性对照组微注射空载质粒和蒸馏水,注射体积均为10 μl。入孵化箱,翻转培养4 d后收获胚胎,显微镜下检查。
4.Western杂交:镜检后的胚胎(每只胚胎湿重约为15~20 mg,每组4只)分别入玻璃研磨器,胚胎蛋白质提取和浓度测定参照文献[4]。蛋白质样品用体积分数为10%聚丙烯酰胺凝胶分离,然后转到硝酸纤维素膜上。第一抗体为HCY-2多克隆抗体(稀释度为1∶5 000,是本室应用纯化的HCY-2重组蛋白免疫兔后制成的),第二抗体为碱性磷酸酶标记的抗兔IgG(稀释度为1∶7 500,美国Promega 公司产品)。用5-溴-4-氯-3-吲哚磷酸盐/硝基四氮唑蓝(BCIP/NBT) 显色反应检测杂交信号。
, 百拇医药
5.免疫组织化学染色:采用ABC法。石蜡切片(5 μm),常规脱蜡,体积分数为3% H2O2的封闭内源性过氧化物酶。一抗为HCY-2多克隆抗体(1∶200);二抗用生物素标记的抗兔IgG(1∶100),华美生物工程公司)。DAB显色,封片后镜检有棕黄色者为阳性,阴性对照不加一抗。
6.电镜观察:活胚胎用3%戊二醛固定30 min,漂洗后行体积分数为1% OsO4再固定,酒精系列脱水。醋酸异戊酯置换后将样品转至干燥器中进行临界点干燥。用钟表镊子仔细修整胚胎,去除腹膜等组织和暴露心脏,小心上样固定,然后用离子镀仪给胚胎镀金,扫描电镜观察。大体检查完后,再用极细镊子将胚胎心脏旁的前肢芽和尾侧躯体剥除(本步骤操作小心),暴露大体心脏后继续观察。透射电镜样品按常规制备,胚胎心脏经定位修饰后制成超薄切片,铅-铀染色后镜下观察和记录细胞超微结构的改变。
7.统计学处理:数据输入计算机,进行χ2和趋势性χ2检验。
, 百拇医药
结果
1.D、L-HCY对前肠期鸡胚心血管发育的毒性作用:由表1可见,注射不同剂量的HCY能损害2 d龄鸡胚心脏的正常发育,所诱发的心脏畸形主要表现是心包积液、心外露、异位心脏和心脏过小等。
表1 同型半胱氨酸对2 d龄鸡胚心脏发育的影响 鸡胚注射剂量
(μmol/只胚胎)
活胚胎数
(个)
心脏畸形数(个)
只
百分率*(%)
0
, http://www.100md.com
34
0
0
0.5
44
1
2.3
1.0
56
2
3.6
2.0
54
3
, http://www.100md.com
5.6
4.0
57
5
8.8
8.0
41
9
21.9
16.0
26
8
30.8
, http://www.100md.com 注:*趋势性χ2检验,P<0.05
2.转全长HCY-2 cDNA 对新生鸡卵心血管发育的影响:空载质粒、dH2O和转基因5 μg组胚胎发育良好,无畸形发生。转基因组(10~20 μg)心脏发育异常(表2,图1)。
图1 转10 μg HCY-2基因组,4 d龄鸡胚心脏为异位双心 ×8
表2 转HCY-2基因对新生鸡卵心血管发育的影响 组别
活胚胎
(个)
心脏畸形
, http://www.100md.com
出血灶**
个数
百分率
(%)
个数
百分率
(%)
空载质粒组
30
0
0
1
3.3
, 百拇医药
蒸馏水组(μg/新生鸡卵)
22
0
0
1
4.5
5
21
0
0
3
14.3
10
, http://www.100md.com 24
4
16.7*
6
25.0
20
25
6
24.0*
9
36.0
注:*与空载质粒和蒸馏水对照组比较,P<0.05;**趋势性χ2检验,P<0.05
, 百拇医药
3.4 d龄鸡胚HCY-2蛋白表达水平:Western 印迹杂交结果显示(图2),空载质粒组、dH2O组和转5 μg HCY-2基因组发育正常的胚胎无HCY-2蛋白表达。转10和20 μg HCY-2基因组的心血管畸形胚胎有HCY-2蛋白(相对分子质量为15 000)大量表达。
1.标准HCY-2重组蛋白;2.转20 μg HCY-2基因;3.转10 μg HCY-2基因;
4.转5 μg HCY-2基因;5.空载质粒组;6.dH2O
图2 Western杂交结果
4.免疫组织化学:空载质粒组4 d龄鸡胚心脏发育正常,腹侧和背侧心内膜垫向腔内突出,在管腔中线处相遇并开始融合;心室壁结构疏松,可见许多肌小梁相互连接成网格状;整个心脏切面上HCY-2蛋白表达均呈阴性(图3)。反之,转基因组表现心腔结构紊乱,发育相对滞后和心内膜垫部分缺损等。切面上HCY-2蛋白表达呈强阳性(图4,5)。
, 百拇医药
图3 空载质粒组,4 d龄鸡胚心内膜垫在中线处融合,HCY-2蛋白表达阴性。ABC ×25
图4 转20 μg HCY-2基因组,4 d龄鸡胚心内膜垫有缺损,HCY-2蛋白表达呈强阳性。ABC ×25
图5 心肌细胞HCY-2蛋白表达阳性放大,定位于胞质和核膜。ABC ×200
5.电镜观察:扫描电镜下,与空载质粒对照组比较,转基因(10~20 μg)鸡胚的心室和心房发育不良(图6),说明HCY-2可干扰心原基细胞的分化和增殖速度,所导致的原始心壁心肌细胞数量减少是房室发育不全的重要基础。透射电镜下转基因组心肌细胞形态变异和固缩,细胞间缝隙连接减少;胞内线粒体和内质网有不同程度肿胀,空泡和溶酶体数量增多,肌丝减少排列紊乱,闰盘少见等现象。
, 百拇医药
图6 转10 μg HCY-2基因组,扫描电镜下心脏表面粗糙,发育相对迟缓 ×50
讨论
HCY是一种含硫氨基酸,为体内蛋氨酸代谢的中间产物。现已发现由环境和遗传因素导致的高HCY血症是许多疾病(如:出生缺陷、心血管病、糖尿病等)发生的重要基础之一。目前虽没有完全肯定高HCY血症与人先心病有关,但已有实验结果提示,HCY能诱发鸡胚发生先天性心脏病[5]。本研究也显示HCY可直接引起鸡胚心血管发生畸变,其毒性作用呈明显剂量-反应关系,证明HCY是一种能损害或干扰早期心血管生长发育的危险因子。
由于“在细胞水平上观察到的结果切不可直接往整体上推论”[6],而我们又要从整体效应上阐述所克隆的新基因(HCY-2)的功能,所以我们将不同剂量的HCY-2 cDNA转入新生鸡卵,进行四维时空整体动态观察。发现HCY-2能诱导4 d龄鸡胚发生心脏畸形,而对照组无一例畸形发生,提示HCY-2基因具有功能,与先心病的早期发生有关,可能是一种能干扰心血管正常发育和形成的基因毒物。
, http://www.100md.com
新生鸡卵转HCY-2基因后是否能翻译出相应蛋白质呢?Western blot结果表明正常发育的鸡胚(空载质粒和dH2O组)无HCY-2蛋白表达,转5 μg HCY-2 cDNA亦无HCY-2蛋白表达,所以此剂量对鸡胚无致畸效应;而发生心脏畸形的鸡胚(10和20 μg HCY-2基因组)均有HCY-2蛋白高表达。进一步的免疫组织化学定性定位分析发现,HCY-2蛋白表达的主要靶器官是心血管和神经系统,说明大量表达的HCY-2蛋白可能是引起心脏发育异常的一个关键因素,其表达量超过形成鸡胚心脏的原基细胞生理耐受阈值时就可导致其发生整体性调控失衡和发育紊乱。
本研究中我们发现,HCY-2可干扰鸡胚心血管细胞的分化和增殖,损害细胞的超微结构等,从而致使形成心脏的多胚层细胞分化、迁移和组合失常,结果引起心内膜、心腔间隔及心肌发育出轨,最终发生畸形效应,这可能是HCY-2诱发心血管畸形发生的重要分子病理基础之一,其作用与homeobox基因族异常表达十分相似[7]。
, 百拇医药
基金项目:国家自然科学基金资助项目(39730470,39870697)参考文献
[1]Kokame K, Kato H, Miyata T. Homocysteine-respondent genes in vascular endothelial cells identified by differential display analysis. J Biol Chem,1996,271:29659-29665.
[2]陈光慧,朱燕青,张晨晖,等. 同型半胱氨酸/半胱氨酸诱导血管平滑肌细胞中的新cDNA. 中国生物化学与分子生物学报,1998,14:8-14.
[3]李勇,陈星,齐佩文,等. 同型半胱氨酸对鸡神经胚形成期胚胎的发育毒性和致畸作用初探. 中国优生优育,1998,9:7-9.
[4]J 萨姆布鲁克,EF 弗里奇,T 曼尼阿蒂斯. 分子克隆实验指南. 金冬雁,黎孟枫,译. 第2版. 北京:科学出版社,1993,888-897.
, 百拇医药
[5]Rosenquist TH, Ratashak SA, Selhub J. Homocysteine induces congenital defects of the heart and neural tube: effect of folic acid. Proc Natl Acad Sci USA,1996,93:15227-15232.
[6]刘德培. 对当前我国医学分子生物学研究的几点看法. 中华医学杂志,1998,78:807-809.
[7]李松,张泽峰,朱惠萍,等. 心脏发育的分子生物学和先天性心脏病. 中国优生优育,1997,8:82-85.
收稿日期:1999-02-08, 百拇医药