同种异体游离骨骺移植修复股骨头部分坏死缺损的实验研究
http://www.100md.com
37c医学网
作者:吴苏稼 郭炳旭 林恩及 富小志
单位:吴苏稼(南京军区南京总医院骨科 210002); 林恩及(南京军区南京总医院骨科 210002); 富小志(病理科); 郭炳旭(黑龙江省萝北县人民医院)
关键词:骨骺移植;股骨头;坏死缺损;实验
江苏医药000209 摘 要:目的 研究同种异体游离骨骺移植修复股骨头及关节软骨的部分缺损。方法 选用出生1个月的新西兰大白兔的髂骨骨骺作为供体,成年同种兔作为受体。术后3、6、12和24周进行股骨头及移植骨骺的大体、组织学和组织化学、超微结构的观察。结果 只要彻底去除移植骨骺表面附着的肌肉和纤维结缔组织,控制一定的移植骨骺厚度,大部分游离骨骺可存活并保持一定的生长塑形能力和机械支撑作用;移植骨骺在关节表面一定的压力和摩擦力的作用下,在移植骨骺的关节面区始终保持正常的软骨代谢能力和与关节软骨相似的组织结构而不发生骨化。结论 利用同种异体游离骨骺移植修复成人部分股骨头及关节软骨的坏死缺损,具有一定的临床意义。
, 百拇医药
Free epiphyseal allotransplantation in rabbits:An experimental approach to repair focal defect of the femoral head
WU Sujia,GUO Binxu,LIN Enji,et al
(Department of Orthopedics,Jinling Hospital,Nanjing 210002)
Abstract:Objective To develop a procedure to transplant free allogenic epiphyseal graft into defect in the femoral head.Methods The transplanted graft was obtained from skeletally immature one-month-old New Zealand white rabbit,and it consisted of the pysis and some overlying epiphyseal cartilage.The operation was performed in 24 adult New Zealand white rabbits,of whom 12 were used as controls.In this group,the same defects were created without graft transplantation.After the operation,all the rabbits were observed for 3,6,12 and 24 weeks respectively.The results were assessed in terms of the gross appearance,histological,histochemical and ultrastructural characteristics.Results The transplanted epiphysis retained its normal morphology,united with the femoral head and superficiality of transplanted epiphysis continued to have metabolic ability of normal cartilage without undergoing ossification.Conclusion The results of this study demonstrated that free epiphyseal allotransplantation into focal defect can remain viable and function well on condition that they are fashioned properly and inserted gently.
, 百拇医药
Key words:Free epiphyseal allotransplantation Femoral head Defect Experiment▲
成人股骨头缺血性坏死的治疗目前仍是骨科领域较为棘手的问题之一,特别是对中青年患者,尚缺乏有效的外科治疗手段。目前采用的局部减压,带血管肌骨瓣等的治疗不能同时达到既改善股骨头的血循环,提高坏死区的支撑能力,又能修复坏死塌陷的关节软骨的综合治疗手段。本实验设计采用同种异体游离骨骺移植修复部分股骨头坏死缺损的方法,是利用骨骺组织具有生长塑形,逐渐骨化和具有一定的免疫屏蔽特点,试图对成人股骨头部分缺血坏死进行治疗,拟在临床上找到一种早期治疗股骨头坏死缺损的方法。利用自体游离骨骺移植在临床和实验研究中已有报道[1],但利用同种异体骨骺移植尚未见到报道。本研究试图对同种异体移植骨骺的成活、生长塑形和替代关节软骨等问题进行探讨。
材料和方法
, http://www.100md.com
实验选用3 kg左右的成年新西兰大白兔24只作为受体,选用兔龄为1个月左右的同种白兔作为供体,按实验需要的不同时间分别取两侧髂骨骨骺,将24只成年兔平均分为两组(实验组和对照组)进行手术。
手术采用氯氨酮100 mg/kg肌肉注射麻醉,取供体兔一侧髂骨骨骺,体积约为0.5 cm×0.3 cm×0.4 cm,仔细剥离附着于骨骺表面的纤维结缔组织,以便使移植后受体部位的血液和关节液可渗入骨骺内。受体兔麻醉后取髋部前外侧切口,长约5 cm,暴露髋关节,在股骨头前外侧面造成骨缺损,其体积稍略大于移植骨骺的体积,约占整个股骨头体积的30%,其中包括部分关节软骨缺损,面积约为0.4 cm×0.3 cm,不损伤圆韧带以防髋关节脱位。将移植骨骺植入骨缺损中,为防止脱落,使移植骨骺关节面略低于股骨头关节面。对照组12只兔行单纯股骨头前外侧开槽术,包括破坏部分关节面。
实验动物分别于骨骺移植术后3、6、12和24周后处死,取双侧股骨头标本做下列检查:
, 百拇医药
1.大体标本:观察股骨头的形态,移植骨骺的形态、色泽和生长情况。
2.组织学和组织化学:组织学采用常规组织切片,HE染色观察移植骨骺的组织学变化。组织化学采用番红0染色,根据染色深浅的变化与正常关节软骨对照,以了解移植骨骺软骨细胞的代谢变化和替代关节软骨的表现。
3.超微结构:扫描电镜检查了解移植骨骺关节表层情况并和正常关节软骨进行对照,以了解替代关节软骨的情况。
结 果
大体标本观察
1.实验组:骨骺移植3周后,关节表面仍略低于正常关节面,表面呈白色,移植骨骺已完全充填骨缺损处,移植骨骺与正常股骨头界限清晰。骨骺移植后6~12周,其关节表面已基本与股骨头关节面持平,两者界限清晰度较前减少,移植骨骺的色泽近似于关节软骨。两组中各有1例移植骨骺出现坏死表现。术后24周,移植骨骺趋向于股骨头的球面塑形,与正常关节软骨的界限欠清。在本组中,有1例移植骨骺坏死。
, 百拇医药
2.对照组:股骨头缺损部位在术后3~6周时部分被结缔组织充填,在术后12~24周逐渐有骨组织和纤维结缔组织充填,骨缺损边缘轻度塌陷,部分股骨头出现坏死。
组织学和组织化学观察
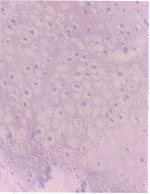
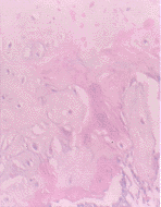
1.实验组:术后3周移植骨骺的组织学特征仍为透明软骨结构,生长板各软骨细胞形态及排列正常(见封三图1),组织化学染色与正常骨骺软骨细胞色泽相似。在术后6~12周,软骨细胞的体积增加,生长板结构较3周组排列紊乱,细胞核深染(见封三图2),组织化学染色色泽变淡。在术后24周,生长板结构消失,骨小梁组织侵入移植骨骺,骨骺软骨细胞减少,软骨细胞呈聚合状态(见封三图3)。在本组移植骨骺表层仍为透明软骨样结构,软骨细胞表面为同源性双细胞和丛状细胞,表明细胞趋于成熟(见封三图4)。
图1 移植后三周,骨骺生长板各层软骨细胞形态及排列正常(HE×100)
, http://www.100md.com
图2 移植后6周,骨骺生长板各层结构正常排列消失(HE×400)
图3 移植后24周,骨骺生长板消失,骨小梁形成,表明骨骺逐渐骨化(HE×400)
图4 移植后24周,移植骨骺表层仍未骨化,保留透明软骨特征(HE×400)
2.对照组:股骨头缺损处在术后3~6周时可见出血机化的疤痕组织和纤维结缔组织。在术后12~24周,股骨头缺损处可见较多量的纤维结缔组织和少量的骨组织。骨缺损边缘部分可见有骨细胞的萎缩和细胞核的消失。
超微结构检查
扫描电镜显示实验组24周时移植骨骺的关节表面呈多个小丘状突起,大小欠均等,部分丘状突起成脊,与正常关节软骨的扫描电镜相比,丘状突起和脊较粗大,脊状突起较少(见封三图5)。
, http://www.100md.com
图5A 正常兔关节软骨扫描电镜下所见
图5B 移植后24周,移植骨骺关节表面扫描电镜下所见
讨 论
最近的实验表明:采用带血管骨骺移植的方法已取得了较好的实验结果[2~4]。但这类手术的操作较为复杂,耗时过长,创伤较大;而且移植血管的变异,损伤和栓塞等都给成功的治疗带来麻烦。采用游离骨骺移植尽管存在不成功的可能,但其手术方法简单,创伤较小,仍具有一定的吸引力。Olin等[5]在1984年已成功的进行了自体游离骨骺移植修复股骨髁骨骺坏死缺损的实验研究。他的实验结果表明:只要供体骨骺表面的附着肌肉,纤维结缔组织完全仔细剥离干净,控制一定的骨骺厚度,使营养成分(血液、关节液)能充分渗入移植骨骺的细胞中去,游离骨骺移植仍可获得成功。另外,透明软骨细胞的细胞核受到软骨细胞陷窝的保护而具有一定的免疫屏蔽作用,使得同种游离骨骺移植成为可能。本实验采用同种异体游离骨骺移植,在未用免疫抑制剂的情况下,大部分移植骨骺成活并保持其生理功能。
, http://www.100md.com
本实验结果还表明:实验组移植骨骺表层始终保持透明软骨的特征,组织学和扫描电镜的观察都显示移植骨骺的表层与关节软骨具有相似的组织结构。扫描电镜下骨骺表层这种丘状和嵴状突起结构有利于关节内营养液、润滑液的停留,这一特殊的超微结构对降低关节面间的磨擦力和提高润滑力有着重要的作用。对此现象的观察发现:在未骨化的骨骺中,生长板中的钙化区已完全退化,基底部软骨细胞趋向成熟,表明表层骨骺不再可能发生骨化。出现这一现象的原因是表层骨骺和深层骨骺所处的生物环境不同,关节表面的低氧环境和关节内的摩擦力可以促进软骨细胞基质酸性粘多糖的合成和促进间充质细胞向软骨细胞转化。
综上所述,利用同种异体骨骺移植修复部分股骨头坏死缺损,它能充分利用骨骺组织本身所具有的生理塑形,逐渐骨化的生理特征,以及替代部分关节软骨的潜力,而且不受来源的限制。故本实验为临床修复由各种原因所致的关节、骨缺损以及替代部分关节软骨提供一定的实验依据。■
参考文献:
, http://www.100md.com
[1]Nettelblad H.Free microvascular epiphyseal plate transplantation.J Bone Joint Surg(Am) 1984,66:1421-14.
[2]Teot L,Bossse JP,Gilbert A,et al.Pedicle graft epiphysis transplantation.Clini Orthop,1983,180:206-218.
[3]吴苏稼,马承宣,许瑞江,等.带血管蒂自体骨骺移植的实验研究.中华外科杂志,1991,6:387-389.
[4]Zaleske DJ,Ehrlich MG,Christopher,et al.Growth-plate behavior in whole joint replantation in the rabbit.J Bone Joint Surg(Am),1982,64:249-258.
[5]Olin A,Creasman C,Shapiro F.Free physeal transplantation in the rabbit.J Bone Joint Surg(Am),1984,66:7-20.
收稿日期:1999-03-18
修稿日期:1999-06-21, 百拇医药
单位:吴苏稼(南京军区南京总医院骨科 210002); 林恩及(南京军区南京总医院骨科 210002); 富小志(病理科); 郭炳旭(黑龙江省萝北县人民医院)
关键词:骨骺移植;股骨头;坏死缺损;实验
江苏医药000209 摘 要:目的 研究同种异体游离骨骺移植修复股骨头及关节软骨的部分缺损。方法 选用出生1个月的新西兰大白兔的髂骨骨骺作为供体,成年同种兔作为受体。术后3、6、12和24周进行股骨头及移植骨骺的大体、组织学和组织化学、超微结构的观察。结果 只要彻底去除移植骨骺表面附着的肌肉和纤维结缔组织,控制一定的移植骨骺厚度,大部分游离骨骺可存活并保持一定的生长塑形能力和机械支撑作用;移植骨骺在关节表面一定的压力和摩擦力的作用下,在移植骨骺的关节面区始终保持正常的软骨代谢能力和与关节软骨相似的组织结构而不发生骨化。结论 利用同种异体游离骨骺移植修复成人部分股骨头及关节软骨的坏死缺损,具有一定的临床意义。
, 百拇医药
Free epiphyseal allotransplantation in rabbits:An experimental approach to repair focal defect of the femoral head
WU Sujia,GUO Binxu,LIN Enji,et al
(Department of Orthopedics,Jinling Hospital,Nanjing 210002)
Abstract:Objective To develop a procedure to transplant free allogenic epiphyseal graft into defect in the femoral head.Methods The transplanted graft was obtained from skeletally immature one-month-old New Zealand white rabbit,and it consisted of the pysis and some overlying epiphyseal cartilage.The operation was performed in 24 adult New Zealand white rabbits,of whom 12 were used as controls.In this group,the same defects were created without graft transplantation.After the operation,all the rabbits were observed for 3,6,12 and 24 weeks respectively.The results were assessed in terms of the gross appearance,histological,histochemical and ultrastructural characteristics.Results The transplanted epiphysis retained its normal morphology,united with the femoral head and superficiality of transplanted epiphysis continued to have metabolic ability of normal cartilage without undergoing ossification.Conclusion The results of this study demonstrated that free epiphyseal allotransplantation into focal defect can remain viable and function well on condition that they are fashioned properly and inserted gently.
, 百拇医药
Key words:Free epiphyseal allotransplantation Femoral head Defect Experiment▲
成人股骨头缺血性坏死的治疗目前仍是骨科领域较为棘手的问题之一,特别是对中青年患者,尚缺乏有效的外科治疗手段。目前采用的局部减压,带血管肌骨瓣等的治疗不能同时达到既改善股骨头的血循环,提高坏死区的支撑能力,又能修复坏死塌陷的关节软骨的综合治疗手段。本实验设计采用同种异体游离骨骺移植修复部分股骨头坏死缺损的方法,是利用骨骺组织具有生长塑形,逐渐骨化和具有一定的免疫屏蔽特点,试图对成人股骨头部分缺血坏死进行治疗,拟在临床上找到一种早期治疗股骨头坏死缺损的方法。利用自体游离骨骺移植在临床和实验研究中已有报道[1],但利用同种异体骨骺移植尚未见到报道。本研究试图对同种异体移植骨骺的成活、生长塑形和替代关节软骨等问题进行探讨。
材料和方法
, http://www.100md.com
实验选用3 kg左右的成年新西兰大白兔24只作为受体,选用兔龄为1个月左右的同种白兔作为供体,按实验需要的不同时间分别取两侧髂骨骨骺,将24只成年兔平均分为两组(实验组和对照组)进行手术。
手术采用氯氨酮100 mg/kg肌肉注射麻醉,取供体兔一侧髂骨骨骺,体积约为0.5 cm×0.3 cm×0.4 cm,仔细剥离附着于骨骺表面的纤维结缔组织,以便使移植后受体部位的血液和关节液可渗入骨骺内。受体兔麻醉后取髋部前外侧切口,长约5 cm,暴露髋关节,在股骨头前外侧面造成骨缺损,其体积稍略大于移植骨骺的体积,约占整个股骨头体积的30%,其中包括部分关节软骨缺损,面积约为0.4 cm×0.3 cm,不损伤圆韧带以防髋关节脱位。将移植骨骺植入骨缺损中,为防止脱落,使移植骨骺关节面略低于股骨头关节面。对照组12只兔行单纯股骨头前外侧开槽术,包括破坏部分关节面。
实验动物分别于骨骺移植术后3、6、12和24周后处死,取双侧股骨头标本做下列检查:
, 百拇医药
1.大体标本:观察股骨头的形态,移植骨骺的形态、色泽和生长情况。
2.组织学和组织化学:组织学采用常规组织切片,HE染色观察移植骨骺的组织学变化。组织化学采用番红0染色,根据染色深浅的变化与正常关节软骨对照,以了解移植骨骺软骨细胞的代谢变化和替代关节软骨的表现。
3.超微结构:扫描电镜检查了解移植骨骺关节表层情况并和正常关节软骨进行对照,以了解替代关节软骨的情况。
结 果
大体标本观察
1.实验组:骨骺移植3周后,关节表面仍略低于正常关节面,表面呈白色,移植骨骺已完全充填骨缺损处,移植骨骺与正常股骨头界限清晰。骨骺移植后6~12周,其关节表面已基本与股骨头关节面持平,两者界限清晰度较前减少,移植骨骺的色泽近似于关节软骨。两组中各有1例移植骨骺出现坏死表现。术后24周,移植骨骺趋向于股骨头的球面塑形,与正常关节软骨的界限欠清。在本组中,有1例移植骨骺坏死。
, 百拇医药
2.对照组:股骨头缺损部位在术后3~6周时部分被结缔组织充填,在术后12~24周逐渐有骨组织和纤维结缔组织充填,骨缺损边缘轻度塌陷,部分股骨头出现坏死。
组织学和组织化学观察
1.实验组:术后3周移植骨骺的组织学特征仍为透明软骨结构,生长板各软骨细胞形态及排列正常(见封三图1),组织化学染色与正常骨骺软骨细胞色泽相似。在术后6~12周,软骨细胞的体积增加,生长板结构较3周组排列紊乱,细胞核深染(见封三图2),组织化学染色色泽变淡。在术后24周,生长板结构消失,骨小梁组织侵入移植骨骺,骨骺软骨细胞减少,软骨细胞呈聚合状态(见封三图3)。在本组移植骨骺表层仍为透明软骨样结构,软骨细胞表面为同源性双细胞和丛状细胞,表明细胞趋于成熟(见封三图4)。
图1 移植后三周,骨骺生长板各层软骨细胞形态及排列正常(HE×100)
, http://www.100md.com
图2 移植后6周,骨骺生长板各层结构正常排列消失(HE×400)
图3 移植后24周,骨骺生长板消失,骨小梁形成,表明骨骺逐渐骨化(HE×400)
图4 移植后24周,移植骨骺表层仍未骨化,保留透明软骨特征(HE×400)
2.对照组:股骨头缺损处在术后3~6周时可见出血机化的疤痕组织和纤维结缔组织。在术后12~24周,股骨头缺损处可见较多量的纤维结缔组织和少量的骨组织。骨缺损边缘部分可见有骨细胞的萎缩和细胞核的消失。
超微结构检查
扫描电镜显示实验组24周时移植骨骺的关节表面呈多个小丘状突起,大小欠均等,部分丘状突起成脊,与正常关节软骨的扫描电镜相比,丘状突起和脊较粗大,脊状突起较少(见封三图5)。
, http://www.100md.com
图5A 正常兔关节软骨扫描电镜下所见
图5B 移植后24周,移植骨骺关节表面扫描电镜下所见
讨 论
最近的实验表明:采用带血管骨骺移植的方法已取得了较好的实验结果[2~4]。但这类手术的操作较为复杂,耗时过长,创伤较大;而且移植血管的变异,损伤和栓塞等都给成功的治疗带来麻烦。采用游离骨骺移植尽管存在不成功的可能,但其手术方法简单,创伤较小,仍具有一定的吸引力。Olin等[5]在1984年已成功的进行了自体游离骨骺移植修复股骨髁骨骺坏死缺损的实验研究。他的实验结果表明:只要供体骨骺表面的附着肌肉,纤维结缔组织完全仔细剥离干净,控制一定的骨骺厚度,使营养成分(血液、关节液)能充分渗入移植骨骺的细胞中去,游离骨骺移植仍可获得成功。另外,透明软骨细胞的细胞核受到软骨细胞陷窝的保护而具有一定的免疫屏蔽作用,使得同种游离骨骺移植成为可能。本实验采用同种异体游离骨骺移植,在未用免疫抑制剂的情况下,大部分移植骨骺成活并保持其生理功能。
, http://www.100md.com
本实验结果还表明:实验组移植骨骺表层始终保持透明软骨的特征,组织学和扫描电镜的观察都显示移植骨骺的表层与关节软骨具有相似的组织结构。扫描电镜下骨骺表层这种丘状和嵴状突起结构有利于关节内营养液、润滑液的停留,这一特殊的超微结构对降低关节面间的磨擦力和提高润滑力有着重要的作用。对此现象的观察发现:在未骨化的骨骺中,生长板中的钙化区已完全退化,基底部软骨细胞趋向成熟,表明表层骨骺不再可能发生骨化。出现这一现象的原因是表层骨骺和深层骨骺所处的生物环境不同,关节表面的低氧环境和关节内的摩擦力可以促进软骨细胞基质酸性粘多糖的合成和促进间充质细胞向软骨细胞转化。
综上所述,利用同种异体骨骺移植修复部分股骨头坏死缺损,它能充分利用骨骺组织本身所具有的生理塑形,逐渐骨化的生理特征,以及替代部分关节软骨的潜力,而且不受来源的限制。故本实验为临床修复由各种原因所致的关节、骨缺损以及替代部分关节软骨提供一定的实验依据。■
参考文献:
, http://www.100md.com
[1]Nettelblad H.Free microvascular epiphyseal plate transplantation.J Bone Joint Surg(Am) 1984,66:1421-14.
[2]Teot L,Bossse JP,Gilbert A,et al.Pedicle graft epiphysis transplantation.Clini Orthop,1983,180:206-218.
[3]吴苏稼,马承宣,许瑞江,等.带血管蒂自体骨骺移植的实验研究.中华外科杂志,1991,6:387-389.
[4]Zaleske DJ,Ehrlich MG,Christopher,et al.Growth-plate behavior in whole joint replantation in the rabbit.J Bone Joint Surg(Am),1982,64:249-258.
[5]Olin A,Creasman C,Shapiro F.Free physeal transplantation in the rabbit.J Bone Joint Surg(Am),1984,66:7-20.
收稿日期:1999-03-18
修稿日期:1999-06-21, 百拇医药