bax基因在小鼠睾丸及实验性隐睾中表达的研究
http://www.100md.com
37c医学网
作者:徐健 许增禄 钱晓菁 徐园园
单位:徐健(中国医学科学院 中国协和医科大学基础医学研究所,北京 100005);许增禄(中国医学科学院 中国协和医科大学基础医学研究所,北京 100005);钱晓菁(中国医学科学院 中国协和医科大学基础医学研究所,北京 100005);徐园园(中国医学科学院 中国协和医科大学基础医学研究所,北京 100005)
关键词:bax基因;生精细胞;退化;小鼠
解剖学报000411 【摘要】 目的 研究bax基因在正常小鼠睾丸中的表达、定位及隐睾所导致的改变。 方法 以Western-blotting印迹法从蛋白水平检测bax基因在正常小鼠睾丸及实验性隐睾中的表达、变化;原位杂交技术及Northern杂交法从mRNA水平检测bax基因在小鼠生精上皮中的定位及隐睾所导致的改变。 结果 bax基因在正常小鼠睾丸中有弱表达,实验性隐睾导致其表达明显增强,表达细胞主要为精母细胞、精原细胞和精子细胞,支持细胞和间质细胞未见表达。 结论 bax基因可能在生精细胞主动退化的调节中起着重要作用。
, http://www.100md.com
【中图分类号】 Q343.1;Q492.4 【文献标识码】 A 【文章编号】 0529-1356(2000)04-335
THE STUDY OF bax GENE EXPRESSION IN NORMAL MOUSE
TESTES AND EXPERIMENTAL CRYPTORCHIDISM
XU jian XU Zeng-lu QIAN Xiao-jing XU Yuan-yuan
(Institute of Basic Medical Sciences, Chinese Academy of Medical Sciences and Peking Union Medical College, Beijing 100005,China)
, 百拇医药
【Abstract】 Objective To investigate bax gene expression and distribution in mouse testes and experimental cryptorchidism. Methods Western-blotting, in situ hybridizaton and Northern hybridization were used. Results bax gene showed low level expression in normal mouse testes. Experimental cryptorchidism induced Bax protein and bax mRNA transcription increased obviously. bax gene expressed mainly in spermatocytes,spermatogonia and spermatids. bax gene expression in both Sertoli cells and Leydig cells was negative. Conclusion bax gene may play an important role in germ cells degeneration.
, http://www.100md.com
【Key words】 bax gene; Germ cells; Degeneration; Mouse
生精过程中存在着大量的生精细胞正常的主动退化,但其机制尤其是分子机制仍不清楚。近年,国外一些研究者开始将这种主动退化与细胞凋亡联系在一起。越来越多的证据证明,生精细胞中存在着凋亡,凋亡可能是生精细胞主动退化的重要机制[1,2]。bcl-2基因是1984年Tsujimoto等[3]从滤泡性B淋巴细胞瘤中分离出来的一种癌基因,大量的证据表明它是细胞凋亡的重要抑制基因。随着研究的深入,不断发现一些与bcl-2有不同程度同源性的基因,它们都有高度保守的BH1和BH2功能区,可通过彼此的相互作用来调节细胞凋亡。这些基因统称bcl-2基因家族。其中bax是第一个被分离的bcl-2同源基因,主要编码21kD的膜蛋白,与bcl-2基因功能相反,它促进细胞凋亡。Bax蛋白可以自身形成同源二聚体,也能与Bcl-2形成异源二聚体[4]。但是,bax基因在正常小鼠睾丸中是否表达,对生精细胞的凋亡是否有调控作用,有什么样的调控作用,目前难以定论。本实验采用隐睾建立生精细胞凋亡的模型,从蛋白及mRNA水平检测bax基因在小鼠生精上皮中的表达、定位及隐睾所导致的改变。
, 百拇医药
材料和方法
1.动物来源及动物模型的建立
中国医学科学院动物所提供的8~10周(26~30 g)健康雄性昆明小鼠。3%戊巴比妥腹腔注射麻醉(1 ml/kg),将阴囊中的睾丸轻轻推入腹腔,缝合单侧腹股沟管,使小鼠睾丸不能从腹腔下降至阴囊,术后3、6、8 d取材,每组动物12~15只。
2 试剂
兔抗小鼠Bax多抗、生物素化的山羊抗兔抗体、辣根酶标记链抗生物素(Santa Cruz Biotechnology公司,购于北京中山生物技术有限公司),山羊血清(Vector Laboratories, Burlingame),琼脂糖(agrose)、蛋白酶K(protein kinase)、Trizol(Sigma公司),随机引物标记试剂盒(prime-a-gene-labeling system, Promega公司),地高辛DNA标记和检测试剂盒(DIG DNA Labeling and Detection kit Boehringer Mannheim公司),含小鼠bax基因cDNA片段的重组质粒由美国Washington University,Stanley J. Korsmeyer博士惠赠。
, http://www.100md.com
3.Western-blotting印迹法[5]
新鲜睾丸组织在冰上剪碎,加入适量新配蛋白提取液(脲0.3g,SDS 0.05g,DTT 0.125g,加去离子水5 ml溶解),振荡器上振荡10 min,加NP-40至终浓度10%,振荡10 min,15 000 r/min,4℃ 20 min,取上清。考马斯亮蓝染色法测定蛋白含量。SDS-PAGE电泳,加样量25 μg,电流20~30 mA。剪大小完全吻合或稍小的硝酸纤维素膜及滤纸,作好标记,电转移过夜,电流65 mA/cm2。硝酸纤维素膜于1×丽春红S染液中染色15~30 min,蒸馏水中漂洗至显带清楚,切下相应部位的硝酸纤维素膜,蒸馏水中漂洗,1% BSA封闭液中室温封闭5 h。1∶500封闭液稀释的兔抗小鼠Bax多抗4℃过夜,PBS洗3次,10 min/次,1∶1 000封闭液稀释的生物素化的山羊抗兔抗体室温孵育2 h,PBS洗3次,10 min/次,1∶1 000PBS稀释的辣根酶标记链抗生物素室温孵育2h,PBS洗3次,10 min/次,新鲜配置的DAB显色液中显色,TE终止,摄片。
, 百拇医药
4.石蜡组织切片原位杂交及统计学分析
含小鼠bax基因cDNA片段的重组质粒用氯化钙法转化大肠杆菌DH5α菌株,碱裂解法进行质粒DNA的大量制备,PEG法纯化,限制性内切酶EcoRI消化,低熔点琼脂糖回收cDNA片段,测定A260和A280值,计算DNA浓度。bax基因cDNA探针用地高辛试剂盒标记和检测。睾丸组织4%中性福尔马林固定24h,常规石蜡包埋。6μm的石蜡组织切片以0.04%DEPC水裱贴于圆玻片上,52℃过夜烤干。新鲜二甲苯37℃ 30 min,室温10 min,梯度酒精脱水,PBS洗2次,5 min/次,新配的0.3% Tritonx-100 10 min,PBS洗2次,5 min/次,蛋白酶K(1 mg/L)37℃ 30 min,冷PBS洗3次,5 min/次,0.25%乙酸酐室温10 min,PBS洗2次,5 min/次。余下步骤按常规原位杂交方法操作,终止显色后梯度酒精脱水,二甲苯透明,树脂封片,镜检并摄片。对照:以杂交液中免去探针作阴性对照。利用Pharmacia LKB Ultroscan XL激光密度扫描分析系统,对阳性杂交信号单位面积平均灰度进行半定量扫描分析,结果以“学生”NK检验(Student Newman-Keuls,SNK)进行统计学分析,P<0.05,为差异显著。
, 百拇医药
5.组织总RNA提取
新鲜或液氮中保存的睾丸组织在冰上剪碎,加适量Trizol试剂充分匀浆,吸管反复吹打均匀,室温放置5 min。每ml Trizol加入0.2 ml氯仿,振荡混匀15 s,室温放置5 min,4℃,10 000 r/min,15 min,转移上清,加入0.5 ml异丙醇,振荡混匀,室温放置10 min,4 ℃,10 000 r/min,15 min,弃上清,沉淀以75%乙醇洗涤后晾干,溶于50 μl DEPC水中。
6.Northern杂交
bax基因cDNA探针用α-32P dCTP,随机引物标记试剂盒(prime-a-gene-labeling system, Prom-ega公司)标记,Sephadex G-50柱层析法纯化,测定探针比放射活性大于1×108 cpm/μg,DNA。组织总RNA用甲醛变性的1% 琼脂糖凝胶分离,每个泳道30 μg,总RNA。DEPC水淋洗凝胶数次,50 mmol/L的NaOH处理20 min以水解RNA,无RNA酶的水淋洗数次,20×SSC浸泡凝胶45 min,用20×SSC转膜过夜。转移结束后,6×SSC漂洗,晾干,紫外交联。用Express HybTM Hybridization Solution(Clontech 公司)进行常规Northern杂交,-70℃曝光72 h。以β-actin作内对照。
, 百拇医药
结 果
1.bax基因蛋白表达水平的变化
Western-blotting印迹结果显示:正常小鼠睾丸组织中可见较弱的阳性印迹带,说明Bax蛋白在正常小鼠睾丸中有弱表达,术后3d无显著变化,术后6~8d的印迹带阳性信号逐渐增强(图1),可见Bax蛋白表达在逐渐升高,呈上调趋势。
2.bax基因mRNA转录水平的变化
图1 Bax蛋白Western-blotting印迹
Fig.1 Western-blotting analysis of Bax protein
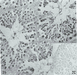
2.1 原位杂交结果及统计学分析:正常小鼠睾丸的组织切片中,生精上皮的各级生精细胞包括精原细胞、精母细胞及精子细胞均出现蓝色阳性染色,但信号较弱(图2A),表明bax基因在正常生精细胞中mRNA转录水平较低,支持细胞和间质细胞中未见阳性信号。隐睾术后3 d,信号开始增强,但灰度扫描无显著差异;6、8d,各级生精细胞呈现明显的阳性染色(图2B),灰度扫描显示与正常及术后3d均有显著差异,其中8d信号最强,与6d也有显著差异(附表),表明bax基因在隐睾术后的mRNA转录水平有明显提高。阴性对照未见阳性染色(图2C)。

, 百拇医药
图2 组织切片bax cDNA原位杂交 ×200
Fig.2 Distribution of bax mRNA in mouse testes, as detected by in situ hybridization with bax cDNA probe ×200
A, scrotal testes B, crytorchid testes of 8d C,negative control
附表 bax原位杂交结果统计学分析
Table Densitometric quantification analysis of in situ
hybridization of bax mRNA expression in different
, 百拇医药
days of cryptorchid testes 天数(days)
例数(case)
光密度单位(AU)(
±s
)
正常(normal)
4
0.0 359±0.006
3d
4
0.0 550±0.002
, 百拇医药
6d
4
0.0 837±0.006**
8d
4
0.1 300±0.010**#
*光密度单位(arbitrary densitometric units)
**P<0.05 vs normal,3d;#P<0.05 vs 6d
2.2 组织总RNA:提取的组织总RNA,紫外分光光度计测定A260与A280的比值大于1.8,说明提取的组织总RNA纯度较好;甲醛变性凝胶电泳可见明显的28s和18s条带,且28s的亮度明显比18s高,说明RNA提取及电泳过程中没有降解,可以用于杂交(图3)
, 百拇医药
图3 小鼠睾丸组织总RNA
Fig.3 Total RNA of mouse testes.
2.3 Northern杂交:Northern杂交结果显示:正常小鼠睾丸组织中可见较弱的阳性杂交带,说明bax基因在正常小鼠睾丸中的mRNA转录水平较低,术后3~8d的杂交带阳性信号明显增强,(图4A),可见隐睾导致bax基因的mRNA转录水平逐渐增强,呈上调趋势。β-actin杂交结果显示RNA加样量基本相同(图4B)。
图4 A.bax基因cDNA Northern杂交 B.β-actin内对照
Fig.4 A,Northern hybridization analysis of bax gene
, 百拇医药
expression B,β-actin control.
讨 论
在正常的生精过程中,存在着生精细胞的主动退化现象,虽然经过长期的研究,机制仍不清楚。近年来,国外一些研究者开始将这种主动退化与细胞凋亡联系在一起,而很多实验也表明了凋亡可能是生精细胞主动退化的重要机制。睾丸是机体中一个比较特殊的器官,必须在低于体温4~5℃的阴囊中才能正常发育,过高的温度会影响正常的精子发生,甚至导致不育。因此,温度显然是生精细胞凋亡的重要调节因素之一。我们以前的试验和其他研究者均发现:小鼠隐睾术后约1周左右凋亡细胞明显增加,以8、10d最为显著,凋亡细胞类型主要是初级精母细胞,也有一些精子细胞和精原细胞。未见支持细胞和间质细胞凋亡[6,7]。
但哪些基因参与调节生精细胞的凋亡?bax基因是否也对生精细胞的凋亡有调节作用?是怎样的调节作用?目前,在基因水平上研究生精细胞凋亡的报道还很少。Rodriguez等[8]人发现:小鼠睾丸从出生后第2周到第4周,有一个明显的早期生精细胞凋亡波,并被认为在保持适当的生精细胞数目中起着重要作用。而Bax蛋白也正好从出生到第4周有高表达,而且凋亡细胞与表达Bax蛋白的细胞高度吻合,主要是精原细胞和精母细胞。成年小鼠的睾丸中没有检测到Bax蛋白的表达。这些结果似乎表明bax基因促进生精细胞的凋亡,但这种调节作用受到年龄因素的影响,似乎成年小鼠睾丸中的生精细胞凋亡并不需要bax基因的调节。
, http://www.100md.com
但Knudson等[9]有不同的研究结果。他们发现正常成年小鼠睾丸中Bax蛋白明显高表达,bax雄性成年小鼠睾丸萎缩,凋亡生精细胞明显增加,出现多核巨细胞和固缩细胞,精原细胞和细线前期精母细胞聚集,粗线期精母细胞减少,圆形精子细胞极少见,成熟精子消失,流式细胞仪分析发现2倍体细胞增多,4倍体细胞虽然仍有少量存在,单倍体细胞大大减少。这说明bax基因在减数分裂及不同阶段生精细胞数目的平衡中起着重要作用,并参与调节成年小鼠睾丸中的生精细胞凋亡。Taylor[10]在正常成年大鼠的睾丸中也检测到了bax基因的明显表达。
从近期的这几篇报道中,我们可以看出,对bax基因是否在正常生精细胞中有表达,是否调节成年小鼠生精细胞凋亡,还难以得出一致的结论,这可能与动物的种系、实验方法的敏感性相关。我们曾经用间接免疫荧光的方法发现:在正常成年KM小鼠睾丸的组织切片上,Bax蛋白有表达,但荧光信号较弱。随着实验隐睾诱导生精细胞凋亡增加,Bax蛋白的表达明显增强,呈上调趋势,尤以精母细胞胞质更为显著。这与凋亡以精母细胞为主相吻合[7]。本研究进一步用Western-blotting印迹法对bax基因的蛋白表达水平加以检测,结果与间接免疫荧光方法一致,Bax蛋白在正常小鼠睾丸中有弱表达,术后3d无显著变化,术后6、8d Bax蛋白表达逐渐升高,呈上调趋势。可见,在正常成年KM小鼠的生精细胞凋亡中,bax起着明显的调节作用,它促进生精细胞凋亡。
, http://www.100md.com
我们又进一步用小鼠bax cDNA探针检测了这种基因mRNA转录水平的变化。原位杂交结果显示:正常KM小鼠睾丸的各级生精细胞中,bax基因的转录水平较低,但能检测到。在隐睾术后3d,信号开始增强,但灰度扫描无显著差异;6、8d,各级生精细胞呈现明显的阳性染色,灰度扫描显示与正常及术后3d均有显著差异,其中8d信号最强,与6d也有显著差异,表明bax基因在隐睾术后mRNA转录水平的变化同蛋白水平的变化一致,随着生精细胞凋亡的增加而有明显升高,支持细胞和间质细胞中未见阳性信号。Northern杂交结果同原位杂交基本一致,正常小鼠睾丸组织bax基因的转录水平较低,隐睾术后的mRNA转录水平明显增强,但杂交带阳性信号从3d即有较明显的增强,这可能与实验方法的敏感性不同有关。我们的结果提示:bax基因在正常KM小鼠睾丸中有低表达,它可能参与维持正常生精细胞数目的平衡;实验隐睾诱导生精细胞凋亡增加时,伴随着bax基因表达的明显升高,表明bax基因促进生精细胞的凋亡,由此推测,bax基因可能在生精细胞主动退化过程中有重要的调节作用。
, 百拇医药 细胞凋亡的基因调控是复杂而有机联系的过程,生精细胞凋亡的基因调控还处于初步探讨阶段,其分子机制还有待于大量的深入的研究。但细胞凋亡这一新概念的引入,为研究者们进一步探索生精细胞主动退化过程提供了新的思路和研究途径。
感谢美国Washington University, Stanley J. Korsmeyer博士惠赠含小鼠bax基因cDNA片段的重组质粒,对我们的研究工作给予了很大帮助。
本文图2见插图第10页
【基金项目】 卫生部科研基金资助项目(94-2-004)
【作者简介】 徐健(1968—),女(汉族),四川峨嵋人,医学博士,讲师
参考文献
[1]Allan DJ, Harmon BV, Roberts SA. Spermatogonial apoptosis has three morphologically recognizable phases and shows no circadian rhythm during normal spermatogenesis in the rat [J]. Cell Prolif,1992,25(3):241-250.
, 百拇医药
[2] Rodríguez JB, García CM. Spontaneous germ cell death in the testis of the adult rat takes the form of apoptosis:re-evaluation of cell types that exhibit the ability to die during spermatogenesis[J]. Cell Prolif, 1996,29(1):13-31.
[3] Tsujimoto Y, Yunis J, Nowell PC, et al. Cloning of the chromosome breakpoint of neoplastic B cell with the t(14;18) chromosome translocation[J]. Science, 1984,226(4678):1097-1099.
, 百拇医药 [4] Chao DT, Korsmeyer. Bcl-2 family:regulators of cell death[J]. Annu Rev Immunol,1998,16:395-419.
[5] Suzuki Atsushi, Matsuzawa Akio, Iguchi Taisen. Down regulation of Bcl-2 is the first step on Fas-mediated apoptosis of male reproductive tract[J]. Oncogene, 1996,13(1):31-37.
[6] Yin YZH, Hawkins KL, Dewolf WC, et al. Heat stress causes testicular germ cell apoptosis in adult mice[J]. J of Andrology, 1997,18(2):159-165.
, 百拇医药
[7] 徐健,许增禄,姜英涛,等.实验性隐睾诱导小鼠生精细胞凋亡的研究[J].解剖学报,1999,30(1):82~85.
[8] Rodriguez I, Ody C, Araki K, et al. An early and massive wave of germinal cell apoptosis is required for the development of functional spermatogenesis[J]. The EMBO Journal,1997,16(9):2262-2270.
[9] Knudson CM, Tung KSK, Warren G, et al. Bax-deficient mice with lymphoid hyperplasia and male germ cell death[J]. Science, 1995,270(5233):96-99
[10] Taylor MF, Woolveridge I, Metcalfe AD, et al. Leydig cell apoptosis in the rat testes after administration of the cytotoxin ethane dimethanesulphonate:role of the bcl-2 family members[J]. J Endocrinology, 1998,157(2):317-326.
【收稿日期】 1999-07-13
【修回日期】 1999-09-16, 百拇医药
单位:徐健(中国医学科学院 中国协和医科大学基础医学研究所,北京 100005);许增禄(中国医学科学院 中国协和医科大学基础医学研究所,北京 100005);钱晓菁(中国医学科学院 中国协和医科大学基础医学研究所,北京 100005);徐园园(中国医学科学院 中国协和医科大学基础医学研究所,北京 100005)
关键词:bax基因;生精细胞;退化;小鼠
解剖学报000411 【摘要】 目的 研究bax基因在正常小鼠睾丸中的表达、定位及隐睾所导致的改变。 方法 以Western-blotting印迹法从蛋白水平检测bax基因在正常小鼠睾丸及实验性隐睾中的表达、变化;原位杂交技术及Northern杂交法从mRNA水平检测bax基因在小鼠生精上皮中的定位及隐睾所导致的改变。 结果 bax基因在正常小鼠睾丸中有弱表达,实验性隐睾导致其表达明显增强,表达细胞主要为精母细胞、精原细胞和精子细胞,支持细胞和间质细胞未见表达。 结论 bax基因可能在生精细胞主动退化的调节中起着重要作用。
, http://www.100md.com
【中图分类号】 Q343.1;Q492.4 【文献标识码】 A 【文章编号】 0529-1356(2000)04-335
THE STUDY OF bax GENE EXPRESSION IN NORMAL MOUSE
TESTES AND EXPERIMENTAL CRYPTORCHIDISM
XU jian XU Zeng-lu QIAN Xiao-jing XU Yuan-yuan
(Institute of Basic Medical Sciences, Chinese Academy of Medical Sciences and Peking Union Medical College, Beijing 100005,China)
, 百拇医药
【Abstract】 Objective To investigate bax gene expression and distribution in mouse testes and experimental cryptorchidism. Methods Western-blotting, in situ hybridizaton and Northern hybridization were used. Results bax gene showed low level expression in normal mouse testes. Experimental cryptorchidism induced Bax protein and bax mRNA transcription increased obviously. bax gene expressed mainly in spermatocytes,spermatogonia and spermatids. bax gene expression in both Sertoli cells and Leydig cells was negative. Conclusion bax gene may play an important role in germ cells degeneration.
, http://www.100md.com
【Key words】 bax gene; Germ cells; Degeneration; Mouse
生精过程中存在着大量的生精细胞正常的主动退化,但其机制尤其是分子机制仍不清楚。近年,国外一些研究者开始将这种主动退化与细胞凋亡联系在一起。越来越多的证据证明,生精细胞中存在着凋亡,凋亡可能是生精细胞主动退化的重要机制[1,2]。bcl-2基因是1984年Tsujimoto等[3]从滤泡性B淋巴细胞瘤中分离出来的一种癌基因,大量的证据表明它是细胞凋亡的重要抑制基因。随着研究的深入,不断发现一些与bcl-2有不同程度同源性的基因,它们都有高度保守的BH1和BH2功能区,可通过彼此的相互作用来调节细胞凋亡。这些基因统称bcl-2基因家族。其中bax是第一个被分离的bcl-2同源基因,主要编码21kD的膜蛋白,与bcl-2基因功能相反,它促进细胞凋亡。Bax蛋白可以自身形成同源二聚体,也能与Bcl-2形成异源二聚体[4]。但是,bax基因在正常小鼠睾丸中是否表达,对生精细胞的凋亡是否有调控作用,有什么样的调控作用,目前难以定论。本实验采用隐睾建立生精细胞凋亡的模型,从蛋白及mRNA水平检测bax基因在小鼠生精上皮中的表达、定位及隐睾所导致的改变。
, 百拇医药
材料和方法
1.动物来源及动物模型的建立
中国医学科学院动物所提供的8~10周(26~30 g)健康雄性昆明小鼠。3%戊巴比妥腹腔注射麻醉(1 ml/kg),将阴囊中的睾丸轻轻推入腹腔,缝合单侧腹股沟管,使小鼠睾丸不能从腹腔下降至阴囊,术后3、6、8 d取材,每组动物12~15只。
2 试剂
兔抗小鼠Bax多抗、生物素化的山羊抗兔抗体、辣根酶标记链抗生物素(Santa Cruz Biotechnology公司,购于北京中山生物技术有限公司),山羊血清(Vector Laboratories, Burlingame),琼脂糖(agrose)、蛋白酶K(protein kinase)、Trizol(Sigma公司),随机引物标记试剂盒(prime-a-gene-labeling system, Promega公司),地高辛DNA标记和检测试剂盒(DIG DNA Labeling and Detection kit Boehringer Mannheim公司),含小鼠bax基因cDNA片段的重组质粒由美国Washington University,Stanley J. Korsmeyer博士惠赠。
, http://www.100md.com
3.Western-blotting印迹法[5]
新鲜睾丸组织在冰上剪碎,加入适量新配蛋白提取液(脲0.3g,SDS 0.05g,DTT 0.125g,加去离子水5 ml溶解),振荡器上振荡10 min,加NP-40至终浓度10%,振荡10 min,15 000 r/min,4℃ 20 min,取上清。考马斯亮蓝染色法测定蛋白含量。SDS-PAGE电泳,加样量25 μg,电流20~30 mA。剪大小完全吻合或稍小的硝酸纤维素膜及滤纸,作好标记,电转移过夜,电流65 mA/cm2。硝酸纤维素膜于1×丽春红S染液中染色15~30 min,蒸馏水中漂洗至显带清楚,切下相应部位的硝酸纤维素膜,蒸馏水中漂洗,1% BSA封闭液中室温封闭5 h。1∶500封闭液稀释的兔抗小鼠Bax多抗4℃过夜,PBS洗3次,10 min/次,1∶1 000封闭液稀释的生物素化的山羊抗兔抗体室温孵育2 h,PBS洗3次,10 min/次,1∶1 000PBS稀释的辣根酶标记链抗生物素室温孵育2h,PBS洗3次,10 min/次,新鲜配置的DAB显色液中显色,TE终止,摄片。
, 百拇医药
4.石蜡组织切片原位杂交及统计学分析
含小鼠bax基因cDNA片段的重组质粒用氯化钙法转化大肠杆菌DH5α菌株,碱裂解法进行质粒DNA的大量制备,PEG法纯化,限制性内切酶EcoRI消化,低熔点琼脂糖回收cDNA片段,测定A260和A280值,计算DNA浓度。bax基因cDNA探针用地高辛试剂盒标记和检测。睾丸组织4%中性福尔马林固定24h,常规石蜡包埋。6μm的石蜡组织切片以0.04%DEPC水裱贴于圆玻片上,52℃过夜烤干。新鲜二甲苯37℃ 30 min,室温10 min,梯度酒精脱水,PBS洗2次,5 min/次,新配的0.3% Tritonx-100 10 min,PBS洗2次,5 min/次,蛋白酶K(1 mg/L)37℃ 30 min,冷PBS洗3次,5 min/次,0.25%乙酸酐室温10 min,PBS洗2次,5 min/次。余下步骤按常规原位杂交方法操作,终止显色后梯度酒精脱水,二甲苯透明,树脂封片,镜检并摄片。对照:以杂交液中免去探针作阴性对照。利用Pharmacia LKB Ultroscan XL激光密度扫描分析系统,对阳性杂交信号单位面积平均灰度进行半定量扫描分析,结果以“学生”NK检验(Student Newman-Keuls,SNK)进行统计学分析,P<0.05,为差异显著。
, 百拇医药
5.组织总RNA提取
新鲜或液氮中保存的睾丸组织在冰上剪碎,加适量Trizol试剂充分匀浆,吸管反复吹打均匀,室温放置5 min。每ml Trizol加入0.2 ml氯仿,振荡混匀15 s,室温放置5 min,4℃,10 000 r/min,15 min,转移上清,加入0.5 ml异丙醇,振荡混匀,室温放置10 min,4 ℃,10 000 r/min,15 min,弃上清,沉淀以75%乙醇洗涤后晾干,溶于50 μl DEPC水中。
6.Northern杂交
bax基因cDNA探针用α-32P dCTP,随机引物标记试剂盒(prime-a-gene-labeling system, Prom-ega公司)标记,Sephadex G-50柱层析法纯化,测定探针比放射活性大于1×108 cpm/μg,DNA。组织总RNA用甲醛变性的1% 琼脂糖凝胶分离,每个泳道30 μg,总RNA。DEPC水淋洗凝胶数次,50 mmol/L的NaOH处理20 min以水解RNA,无RNA酶的水淋洗数次,20×SSC浸泡凝胶45 min,用20×SSC转膜过夜。转移结束后,6×SSC漂洗,晾干,紫外交联。用Express HybTM Hybridization Solution(Clontech 公司)进行常规Northern杂交,-70℃曝光72 h。以β-actin作内对照。
, 百拇医药
结 果
1.bax基因蛋白表达水平的变化
Western-blotting印迹结果显示:正常小鼠睾丸组织中可见较弱的阳性印迹带,说明Bax蛋白在正常小鼠睾丸中有弱表达,术后3d无显著变化,术后6~8d的印迹带阳性信号逐渐增强(图1),可见Bax蛋白表达在逐渐升高,呈上调趋势。
2.bax基因mRNA转录水平的变化
图1 Bax蛋白Western-blotting印迹
Fig.1 Western-blotting analysis of Bax protein
2.1 原位杂交结果及统计学分析:正常小鼠睾丸的组织切片中,生精上皮的各级生精细胞包括精原细胞、精母细胞及精子细胞均出现蓝色阳性染色,但信号较弱(图2A),表明bax基因在正常生精细胞中mRNA转录水平较低,支持细胞和间质细胞中未见阳性信号。隐睾术后3 d,信号开始增强,但灰度扫描无显著差异;6、8d,各级生精细胞呈现明显的阳性染色(图2B),灰度扫描显示与正常及术后3d均有显著差异,其中8d信号最强,与6d也有显著差异(附表),表明bax基因在隐睾术后的mRNA转录水平有明显提高。阴性对照未见阳性染色(图2C)。
, 百拇医药
图2 组织切片bax cDNA原位杂交 ×200
Fig.2 Distribution of bax mRNA in mouse testes, as detected by in situ hybridization with bax cDNA probe ×200
A, scrotal testes B, crytorchid testes of 8d C,negative control
附表 bax原位杂交结果统计学分析
Table Densitometric quantification analysis of in situ
hybridization of bax mRNA expression in different
, 百拇医药
days of cryptorchid testes 天数(days)
例数(case)
光密度单位(AU)(
正常(normal)
4
0.0 359±0.006
3d
4
0.0 550±0.002
, 百拇医药
6d
4
0.0 837±0.006**
8d
4
0.1 300±0.010**#
*光密度单位(arbitrary densitometric units)
**P<0.05 vs normal,3d;#P<0.05 vs 6d
2.2 组织总RNA:提取的组织总RNA,紫外分光光度计测定A260与A280的比值大于1.8,说明提取的组织总RNA纯度较好;甲醛变性凝胶电泳可见明显的28s和18s条带,且28s的亮度明显比18s高,说明RNA提取及电泳过程中没有降解,可以用于杂交(图3)
, 百拇医药
图3 小鼠睾丸组织总RNA
Fig.3 Total RNA of mouse testes.
2.3 Northern杂交:Northern杂交结果显示:正常小鼠睾丸组织中可见较弱的阳性杂交带,说明bax基因在正常小鼠睾丸中的mRNA转录水平较低,术后3~8d的杂交带阳性信号明显增强,(图4A),可见隐睾导致bax基因的mRNA转录水平逐渐增强,呈上调趋势。β-actin杂交结果显示RNA加样量基本相同(图4B)。
图4 A.bax基因cDNA Northern杂交 B.β-actin内对照
Fig.4 A,Northern hybridization analysis of bax gene
, 百拇医药
expression B,β-actin control.
讨 论
在正常的生精过程中,存在着生精细胞的主动退化现象,虽然经过长期的研究,机制仍不清楚。近年来,国外一些研究者开始将这种主动退化与细胞凋亡联系在一起,而很多实验也表明了凋亡可能是生精细胞主动退化的重要机制。睾丸是机体中一个比较特殊的器官,必须在低于体温4~5℃的阴囊中才能正常发育,过高的温度会影响正常的精子发生,甚至导致不育。因此,温度显然是生精细胞凋亡的重要调节因素之一。我们以前的试验和其他研究者均发现:小鼠隐睾术后约1周左右凋亡细胞明显增加,以8、10d最为显著,凋亡细胞类型主要是初级精母细胞,也有一些精子细胞和精原细胞。未见支持细胞和间质细胞凋亡[6,7]。
但哪些基因参与调节生精细胞的凋亡?bax基因是否也对生精细胞的凋亡有调节作用?是怎样的调节作用?目前,在基因水平上研究生精细胞凋亡的报道还很少。Rodriguez等[8]人发现:小鼠睾丸从出生后第2周到第4周,有一个明显的早期生精细胞凋亡波,并被认为在保持适当的生精细胞数目中起着重要作用。而Bax蛋白也正好从出生到第4周有高表达,而且凋亡细胞与表达Bax蛋白的细胞高度吻合,主要是精原细胞和精母细胞。成年小鼠的睾丸中没有检测到Bax蛋白的表达。这些结果似乎表明bax基因促进生精细胞的凋亡,但这种调节作用受到年龄因素的影响,似乎成年小鼠睾丸中的生精细胞凋亡并不需要bax基因的调节。
, http://www.100md.com
但Knudson等[9]有不同的研究结果。他们发现正常成年小鼠睾丸中Bax蛋白明显高表达,bax雄性成年小鼠睾丸萎缩,凋亡生精细胞明显增加,出现多核巨细胞和固缩细胞,精原细胞和细线前期精母细胞聚集,粗线期精母细胞减少,圆形精子细胞极少见,成熟精子消失,流式细胞仪分析发现2倍体细胞增多,4倍体细胞虽然仍有少量存在,单倍体细胞大大减少。这说明bax基因在减数分裂及不同阶段生精细胞数目的平衡中起着重要作用,并参与调节成年小鼠睾丸中的生精细胞凋亡。Taylor[10]在正常成年大鼠的睾丸中也检测到了bax基因的明显表达。
从近期的这几篇报道中,我们可以看出,对bax基因是否在正常生精细胞中有表达,是否调节成年小鼠生精细胞凋亡,还难以得出一致的结论,这可能与动物的种系、实验方法的敏感性相关。我们曾经用间接免疫荧光的方法发现:在正常成年KM小鼠睾丸的组织切片上,Bax蛋白有表达,但荧光信号较弱。随着实验隐睾诱导生精细胞凋亡增加,Bax蛋白的表达明显增强,呈上调趋势,尤以精母细胞胞质更为显著。这与凋亡以精母细胞为主相吻合[7]。本研究进一步用Western-blotting印迹法对bax基因的蛋白表达水平加以检测,结果与间接免疫荧光方法一致,Bax蛋白在正常小鼠睾丸中有弱表达,术后3d无显著变化,术后6、8d Bax蛋白表达逐渐升高,呈上调趋势。可见,在正常成年KM小鼠的生精细胞凋亡中,bax起着明显的调节作用,它促进生精细胞凋亡。
, http://www.100md.com
我们又进一步用小鼠bax cDNA探针检测了这种基因mRNA转录水平的变化。原位杂交结果显示:正常KM小鼠睾丸的各级生精细胞中,bax基因的转录水平较低,但能检测到。在隐睾术后3d,信号开始增强,但灰度扫描无显著差异;6、8d,各级生精细胞呈现明显的阳性染色,灰度扫描显示与正常及术后3d均有显著差异,其中8d信号最强,与6d也有显著差异,表明bax基因在隐睾术后mRNA转录水平的变化同蛋白水平的变化一致,随着生精细胞凋亡的增加而有明显升高,支持细胞和间质细胞中未见阳性信号。Northern杂交结果同原位杂交基本一致,正常小鼠睾丸组织bax基因的转录水平较低,隐睾术后的mRNA转录水平明显增强,但杂交带阳性信号从3d即有较明显的增强,这可能与实验方法的敏感性不同有关。我们的结果提示:bax基因在正常KM小鼠睾丸中有低表达,它可能参与维持正常生精细胞数目的平衡;实验隐睾诱导生精细胞凋亡增加时,伴随着bax基因表达的明显升高,表明bax基因促进生精细胞的凋亡,由此推测,bax基因可能在生精细胞主动退化过程中有重要的调节作用。
, 百拇医药 细胞凋亡的基因调控是复杂而有机联系的过程,生精细胞凋亡的基因调控还处于初步探讨阶段,其分子机制还有待于大量的深入的研究。但细胞凋亡这一新概念的引入,为研究者们进一步探索生精细胞主动退化过程提供了新的思路和研究途径。
感谢美国Washington University, Stanley J. Korsmeyer博士惠赠含小鼠bax基因cDNA片段的重组质粒,对我们的研究工作给予了很大帮助。
本文图2见插图第10页
【基金项目】 卫生部科研基金资助项目(94-2-004)
【作者简介】 徐健(1968—),女(汉族),四川峨嵋人,医学博士,讲师
参考文献
[1]Allan DJ, Harmon BV, Roberts SA. Spermatogonial apoptosis has three morphologically recognizable phases and shows no circadian rhythm during normal spermatogenesis in the rat [J]. Cell Prolif,1992,25(3):241-250.
, 百拇医药
[2] Rodríguez JB, García CM. Spontaneous germ cell death in the testis of the adult rat takes the form of apoptosis:re-evaluation of cell types that exhibit the ability to die during spermatogenesis[J]. Cell Prolif, 1996,29(1):13-31.
[3] Tsujimoto Y, Yunis J, Nowell PC, et al. Cloning of the chromosome breakpoint of neoplastic B cell with the t(14;18) chromosome translocation[J]. Science, 1984,226(4678):1097-1099.
, 百拇医药 [4] Chao DT, Korsmeyer. Bcl-2 family:regulators of cell death[J]. Annu Rev Immunol,1998,16:395-419.
[5] Suzuki Atsushi, Matsuzawa Akio, Iguchi Taisen. Down regulation of Bcl-2 is the first step on Fas-mediated apoptosis of male reproductive tract[J]. Oncogene, 1996,13(1):31-37.
[6] Yin YZH, Hawkins KL, Dewolf WC, et al. Heat stress causes testicular germ cell apoptosis in adult mice[J]. J of Andrology, 1997,18(2):159-165.
, 百拇医药
[7] 徐健,许增禄,姜英涛,等.实验性隐睾诱导小鼠生精细胞凋亡的研究[J].解剖学报,1999,30(1):82~85.
[8] Rodriguez I, Ody C, Araki K, et al. An early and massive wave of germinal cell apoptosis is required for the development of functional spermatogenesis[J]. The EMBO Journal,1997,16(9):2262-2270.
[9] Knudson CM, Tung KSK, Warren G, et al. Bax-deficient mice with lymphoid hyperplasia and male germ cell death[J]. Science, 1995,270(5233):96-99
[10] Taylor MF, Woolveridge I, Metcalfe AD, et al. Leydig cell apoptosis in the rat testes after administration of the cytotoxin ethane dimethanesulphonate:role of the bcl-2 family members[J]. J Endocrinology, 1998,157(2):317-326.
【收稿日期】 1999-07-13
【修回日期】 1999-09-16, 百拇医药