肝动脉栓塞术后的肝内外胆道损毁性病变
http://www.100md.com
37c医学网
作者:黄晓强 黄志强 段伟东 周宁新 冯玉泉
单位:100853 北京,解放军总医院肝胆外科
关键词:肝动脉栓塞;肝血管瘤;胆管损伤
中华外科杂志000302摘 要:目的 探讨经导管肝动脉栓塞术对胆道损伤的病因、治疗及预防。 方法 总结5例因肝动脉栓塞引起的胆道损伤患者,其中4例为肝血管瘤经导管动脉栓塞术后,1例为手术时结扎肝动脉注射TH胶后。动物实验观察向大鼠肝动脉内注射乙醇复制血管栓塞剂对肝脏的损伤。 结果 5例患者均有胆道毁坏性病变,甚至造成胆汁性肝硬化,4例进行胆管空肠吻合及胆道支撑。实验结果证实肝动脉注射血管硬化剂无水乙醇后可以引起邻近汇管区肝脏局部坏死,胆管闭塞。 结论 为了防止肝动脉栓塞后的严重胆道并发症,对肝血管瘤的介入治疗应慎重。
Damage to intra-and extrahepatic bile duct after hepatic artery embolization
, 百拇医药
HUANG Xiaoqiang, HUANG Zhiqiang, DUAN Weidong,(Department of Hepatobiliary Surgery, General Hospital,Chinese People′s Liberation Army, Beijing 100853, China.)
Abstract:Objective To study the pathogenesis, treatment and prevention of bile duct damage arising from hepatic artery embolization. Methods Five patients with intra- and extrahepatic biliary damage resulting from hepatic artery embolization. Of these patients, 4 were due to hepatic artery embolization for hepatic haemangioma,and 1 was due to injecting TH (methacrylate)compound into the hepatic artery during operation. The hepatic artery was injected with ethanol so as to evaluate liver damage in experimental rats. Results All patients were found to have damage to intra- and extrahepatic bile duct at the hilum with biliary hepatocirrhosis; 4 of them received intrahepatic bile duct jejunal anastomosis and bile duct stent. Experiment result revealed obliteration of the bile duct and necrosis of the liver around the portal tract area. Conclusions Arterial embolization of hepatic haemangioma may cause severe biliary damage.
, http://www.100md.com
Key words:Hepatic haemangioma; Artery embolization; Complication
经导管肝动脉栓塞(TAE)是当前治疗肝癌常用的方法,国内将其推广应用于治疗肝良性肿瘤如肝海绵状血管瘤者。但在广泛应用的同时很少有人注意因肝动脉栓塞造成的严重胆道并发症,特别是造成胆管毁坏性的损伤,治疗非常困难。现报告5例因肝动脉栓塞所致的胆道严重并发症及其治疗经过。同时,通过的动物实验以阐明肝动脉栓塞对胆管的影响。
临床资料与方法
1.临床资料:本组5例临床资料见表1。
表1 5例患者临床资料 病例
年龄
(岁)
, http://www.100md.com
性别
原有疾病
栓塞剂
并发症
治疗
1
55
男
肝血管瘤
鱼肝油酸钠+碘油
肝内外胆道闭塞胆汁性肝硬化
门静脉高压
脾切除脾肾静脉吻合、肝管空肠
, http://www.100md.com
Roux-en-Y吻合
2
51
女
肝血管瘤
无水酒精
右肝脓肿 右肝管狭窄胆瘘
肝脓肿引流、肝方叶切除、右肝U型
管支撑、肝管空肠Roux-en-Y吻合
3
62
女
, http://www.100md.com
肝血管瘤
鱼肝油酸钠+碘油
胆汁性肝脓肿
肝门胆管狭窄
肝脓肿引流、左、右肝U形管
支撑、肝管狭窄整形
4
24
女
肝炎性结节
TH胶(手术中)
右肝纤维化、肝门部胆管狭窄
, http://www.100md.com
肝管胆囊十二指肠瘘 黄疸
左、右肝管U管、Roux-en-Y
肝门空肠吻合
5
60
男
肝血管瘤
碘油+钢丝圈+平阳霉素
肝脓肿 肝内、外胆管狭窄
胆囊坏死 肝硬化
正在治疗中
2.典型病例:
, 百拇医药
例1 男,55岁,1989年4月在外院查体发现右肝前叶有4 cm×4.5 cm血管瘤后, 作经导管肝动脉栓塞术,注射碘油10 ml及鱼肝油酸钠4 ml。术后立即出现全腹剧痛,20分钟后剧烈呕吐,持续3~4 d。腹痛持续半个月后逐渐缓解,栓塞后20 d出现巩膜黄染。1989年7月PTC检查发现左、右肝管壁僵硬,肝外胆道闭塞。B超显示胆囊肿大,周围有积液。1989年7月29日手术见胆囊坏死,肝门部胆管壁部分坏死。手术将胆囊及部分肝总管切除,肝总管端端吻合,T管支撑引流。黄疸指数由90 U下降至20 U,每日胆汁800 ml左右。T管保留两年,黄疸指数一直在20~50 U水平。1991年8月28日作胆总管切开取石。另放T管,T管在术后20 d拔除,但黄疸未消退。1992年10月再次作“胆管扩张术”,T管半年后脱落。1994年到我院住院B超、CT检查显示肝内外胆管扩张、肝硬化、门静脉高压、脾肿大、腹腔少量腹水。食管吞钡检查显示食管道中下段静脉曲张。因肝硬化,门静脉高压严重,一次胆道手术困难,只有分2次进行,于1994年6月9日行脾切除,脾-肾分流术减低门静脉压力。待门静脉压力降低后进行第二次手术,作左肝管空肠吻合术,黄疸消退,恢复良好。
, 百拇医药
例2 女,62岁,无临床症状,查体发现肝右叶有10 cm×9 cm的血管瘤,1994年12月在他院行经导管肝动脉鱼肝油酸钠加碘油栓塞,术后上腹部持续性胀痛,阵发性加剧并伴有食欲不振及全身乏力。2个月后B超、CT检查发现肝左叶有5.6 cm×3.2 cm×6.1 cm 低密度区,3个月后开始反复高热并伴有寒战,抗生素治疗效果不佳。1995年5月来我院,B超、CT检查见肝左、右叶有大小不等的多发性脓肿,沿肝门汇管区轴向分布,经皮穿剌引流出胆汁每天180~200 ml,在经皮胆汁引流减压下,仍常伴有发热。1996年6月作肝内胆汁性肝脓肿内坏死组织清除,术中见脓腔中是胆汁染色的“烂棉絮”状组织,沿胆道走向分布,正常肝胆管消失。肝实质萎缩,尾状叶肥大。肝总管有纤维性狭窄环,为引流胆汁,作左、右肝管U管支撑,肝总管狭窄环切开及T管引流术。患者术后体温降至正常,出院时仍有轻度黄疸及低热。1998年末黄疸已消退,情况较好。
例3 女,24岁,1987年3月发现右肝占位病变,在外院行剖腹探查,发现肝脏有肿物,并在右肝结节取组织送病理检查。术中向肝动脉内注射TH胶。术后病理报告为炎性结节,X线片显示TH胶栓塞左、右肝动脉及胃十二指肠的动脉分支。患者患者术后持续地腹痛伴发热、黄疸。于同年11月转入我院治疗,PTC显示肝门部的胆管狭窄,远端的左肝管扩张,造影剂通过肝门部瘘管进入十二指肠。手术中见肝门处肝脏和周围组织坏死后形成广泛地纤维化,胆管纤维化,胆囊已坏死,肝门部与十二指肠球部形成胆瘘,手术非常困难。在切断瘘道修复十二指肠瘘后,沿狭窄的左肝管探查,在左肝裂处找到扩张的左外叶肝管,作左肝管空肠Roux-en-Y 吻合术,U管支撑(图1)。术后黄疸减退,发热次数减少,1年半后拔除U管,2年后曾顺利妊娠生育。5年后死于肝细胞癌。
, 百拇医药
图1 经肝门瘘管至左外叶肝管由Roux-en-Y
空肠段穿出之硅胶“U”管
实验研究
一、方法
1.实验动物:实验动物用体重250 g左右的纯种Wistar大鼠,雌雄不限,分为3组。A组:对照组;B组:注射乙醇3天组;C组:注射乙醇7天组。每组10只鼠。
2.实验方法:大鼠麻醉后,在腹腔动脉和肠系膜上动脉之间及腹腔动脉干近端的腹主动脉上分别系上丝线。然后用动脉夹夹住腹腔动脉向脾、胃和十二指肠的分支。注射前先结扎腹腔动脉干上下端的腹主动脉,之后在腹腔干处的腹主动脉内注射无水乙醇0.2 ml(添加少量的美蓝作为示踪剂)。
对照组也同样麻醉开腹,之后只抽血标本及取肝标本。
, 百拇医药
到观察日期后,将大鼠麻醉,开腹观察肝脏情况,抽血标本作肝功能检查(GPT、GOT、TB、DB、r-GT、ALP、TBA)。进行均数及标准差的计算,取肝脏用甲醛固定,石腊切片,HE染色,光镜观察。
二、结果
大体观察:注射乙醇后大鼠食欲下降,毛色灰暗,B组有大鼠出现黄疸。开腹见B组和C组在肝脏上均能看见黄色小斑块状的肝坏死,分布不均匀,一般集中在某一、二个肝叶上,没有出现腹水。
肝功能检查显示:B组大鼠肝功能有明显的损害,转氨酶及血清胆红素都有显著的增高;C组大鼠肝功能有所恢复。但我们注意到大鼠注射乙醇后的肝功能损害和是否出现黄疸有关,肝功能改变的个体差异较大。
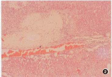
病理观察:肝脏组织经石腊包埋切片,HE染色光镜下观察。A组肝脏结构正常。B组见肝实质中有片状的坏死区。坏死区多位于汇管区,汇管区内,坏死区呈嗜伊红染色,有炎细胞浸润(图2)。多数门静脉保存良好,可见残存的小动脉管壁增厚,胆管不可见。坏死区的肝细胞呈凝固性坏死,细胞质呈嗜伊红颗粒状,细胞核消失。C组坏死区保持肝板形态,坏死周围已有明显的界限,在坏死边缘的炎细胞聚积。在坏死区外的汇管区内见有明显的小胆管增生(图3),说明坏死区域的胆汁的引流受阻。
, 百拇医药
图2 肝汇管区见片状凝固性坏死灶,门静脉仍保存完好
图3 汇管区可见小胆管明显增生、扩张 HE×400
动物实验可复制经肝动脉插管,注入栓塞剂后对肝脏的损害。证明肝动脉内注射无水乙醇后确实可引起肝脏局部坏死,特别是在肝脏的汇管区。肝脏汇管区坏死及肝坏死后将会导致胆汁性的肝脓肿或纤维化造成胆管狭窄。
讨论
1.胆管的血液供应:在肝内胆管、动脉及门静脉是同行于Glisson鞘内,胆管的血液供应全部来自肝动脉,由肝动脉发出分支到胆管,并在胆管的外层相互吻合形成以胆管为轴心的胆管周围血管丛,然后有输出静脉支汇入伴行的门静脉或直接进入肝窦。因此肝内胆管的血供全部来自相伴行的动脉[1,2]。Glisson鞘中的结缔组织的血管也来自肝动脉。在肝外十二指肠以上至肝胆管分叉血管主要来自十二指肠后动脉,右肝动脉及胆囊动脉。血管围绕胆管轴心分布并互相连接成一动脉丛,其主要血管分布在3点和9点上。在肝总管至左右肝管分支的动脉栓塞往往伴有胆囊动脉的栓塞,造成胆囊的炎症甚至坏死。广泛的动脉栓塞对于胆管的损伤远远大于有双重供血的肝细胞。反复单纯肝动脉化疗也可诱发硬化性胆管炎[3],其机理和抗癌药物的毒性有关。目前认为化疗可使胆管的营养血管血栓形成引起胆管慢性缺血最终胆管纤维化,另一方面药物毒性也直接作用于胆管本身造成胆管细胞变性坏死。临床上表现为胆管的慢性缺血,致使胆管的纤维化。
, 百拇医药
2.血管栓塞剂的种类和应用:目前应用最广泛的栓塞剂是碘化油,它对组织和血管的剌激性较小不易造成组织坏死,但在肝动脉栓塞化疗时,碘化油和抗癌药物混合成乳剂,能在局部血管中缓慢持久地发挥作用,将会对肝动脉造成损伤。碘油是一种末稍血管栓塞剂,对较大的血管不能完全栓塞。但同时使用钢丝圈栓塞时,将会造成肝脏较大动脉的栓塞。本组有1例为碘油加钢丝圈栓塞左、右肝动脉引起肝总管及肝内胆管坏死狭窄及肝脓肿形成。
鱼肝油酸钠是一种血管硬化剂,对组织有强剌激作用造成局部的组织坏死和无菌性炎症。能使所灌注血管包括较大的血管完全地闭塞。以往用于静脉曲张的硬化治疗,很少作为栓塞剂用于肝动脉插管治疗。鱼肝油酸钠造成胆管及汇管区急性缺血坏死,肝坏死及肝脓肿,患者在栓塞术后立即出现剧烈的症状。鱼肝油酸钠是否能作肝血管的栓塞剂应予否定。
无水乙醇具有凝固蛋白作用,无水乙醇进入血管内可造成血管的内膜损伤,血液中蛋白变性,形成一种凝固复合物栓塞末稍血管,同时也可造成较大血管的栓塞。本组的动物实验也证实,动脉内注入无水乙醇能造成正常大鼠肝局灶性的急性缺血及肝坏死,并以汇管区的坏死为多,引起胆管阻塞,胆汁引流的障碍。
, http://www.100md.com
TH胶为α-氰基丙烯酸正辛酯单体加少量显影剂和改性剂。混合使用前是液体,注入后能在10分钟内在血管内凝固,可栓塞肝内10~100 μm的微动脉。对血管剌激较小,但能完全把动脉系统栓塞。本组有1例为手术时肝动脉内注入TH胶造成右侧肝动脉系统及肝十二肠韧带血管的栓塞,而导致肝坏死及广泛的肝胆管狭窄。
另一种栓塞剂是40%脲素,对血管有剌激作用。常用于肝血管瘤的栓塞,有记载在肝血管瘤插管硬化治疗中也可引起胆道并发症,特别是在结扎肝动脉后注射栓塞剂容易造成胆道并发症[4]。
分析本组的5例病例,有以下特点:(1)4例患者为肝血管瘤,并在栓塞时选择了比碘油剌激性和破坏性更强的血管栓塞剂;(2)栓塞后均有剧烈持续的腹痛,不缓解等明显的临床症状;(3)广泛的肝动脉栓塞,造成栓塞坏死的部位均在正常肝脏内,沿着胆管走向分布,栓塞后不久形成肝脏的坏死液化;(4)造成胆管损伤是毁坏性的,治疗极为棘手,治疗周期长,给患者造成终身的痛苦。
, http://www.100md.com
3.血管栓塞后并发症的处理:由于栓塞剂造成肝Glisson鞘内结构和周围的肝组织坏死。组织坏死的分布是沿胆管的路径发生的,伴有该区域的胆管坏死,而部分肝细胞尚能保存,继续分泌胆汁,形成胆汁性肝脓肿。在发生坏死区域的胆管完全毁坏,胆管无法重新修复。给予适当长期的胆汁引流后,该区域肝脏会逐渐地失去功能而萎缩。当肝门部胆管发生坏死和纤维性狭窄时,可引起阻塞性黄疸,长期胆汁引流不畅可造成胆汁性肝硬化。我们治疗这5例的经验是由肝动脉栓塞引起的胆管损伤需要一个较长时间的分阶段治疗。在治疗的第一阶段主要以坏死区域的胆汁和坏死组织引流为主,控制感染。经一段时间的引流后,坏死的区域界限明确,胆管损伤区域的肝实质开始功能性萎缩。第二阶段治疗对部分胆道坏死的病例可作区域性的肝切除及肝坏死组织清除。如果是中心型的胆管损伤,需要对肝门部的胆管狭窄进行切开并用空肠和左右肝胆管进行吻合,放U形管支撑。这类患者常合并有胆汁性肝硬化,门静脉高压,需在修复性胆道手术前进行减低门静脉压力的手术,如脾-腔或脾-肾静脉分流等。因在门静脉高压下肝门部形成很多侧支循环,很难进行肝门部的胆道手术。在肝内全胆道坏死的情况下,作双侧的U管引流较为合适。但最终仍不免造成患者的终身残疾。
, http://www.100md.com
总之,为了防止肝动脉栓塞后的严重胆道并发症,应特别禁止使用那些作用强烈的血管硬化剂。
参考文献:
[1]黄晓强.肝脏微循环在肝硬化及胆管阻塞时的改变.国外医学外科学分册,1986,6:321-323.
[2]黄晓强,杨可祯,黄志强.阻断胆管后肝微血管改变的实验研究.中华实验外科杂志,1987,4:151-153.
[3]Kemeny MM,Battifora H,Blayney DW,et al. Sclerosing cholangitis after continuous hepatic artery infusion of FUDR.Ann Surg,1985,202:176-181.
[4]高寰,韩庆,李宗芳.肝血管瘤插管硬化治疗的并发症及防治.中国实用外科杂志,1994,14:33-35.
收稿日期:1999-09-20, 百拇医药
单位:100853 北京,解放军总医院肝胆外科
关键词:肝动脉栓塞;肝血管瘤;胆管损伤
中华外科杂志000302摘 要:目的 探讨经导管肝动脉栓塞术对胆道损伤的病因、治疗及预防。 方法 总结5例因肝动脉栓塞引起的胆道损伤患者,其中4例为肝血管瘤经导管动脉栓塞术后,1例为手术时结扎肝动脉注射TH胶后。动物实验观察向大鼠肝动脉内注射乙醇复制血管栓塞剂对肝脏的损伤。 结果 5例患者均有胆道毁坏性病变,甚至造成胆汁性肝硬化,4例进行胆管空肠吻合及胆道支撑。实验结果证实肝动脉注射血管硬化剂无水乙醇后可以引起邻近汇管区肝脏局部坏死,胆管闭塞。 结论 为了防止肝动脉栓塞后的严重胆道并发症,对肝血管瘤的介入治疗应慎重。
Damage to intra-and extrahepatic bile duct after hepatic artery embolization
, 百拇医药
HUANG Xiaoqiang, HUANG Zhiqiang, DUAN Weidong,(Department of Hepatobiliary Surgery, General Hospital,Chinese People′s Liberation Army, Beijing 100853, China.)
Abstract:Objective To study the pathogenesis, treatment and prevention of bile duct damage arising from hepatic artery embolization. Methods Five patients with intra- and extrahepatic biliary damage resulting from hepatic artery embolization. Of these patients, 4 were due to hepatic artery embolization for hepatic haemangioma,and 1 was due to injecting TH (methacrylate)compound into the hepatic artery during operation. The hepatic artery was injected with ethanol so as to evaluate liver damage in experimental rats. Results All patients were found to have damage to intra- and extrahepatic bile duct at the hilum with biliary hepatocirrhosis; 4 of them received intrahepatic bile duct jejunal anastomosis and bile duct stent. Experiment result revealed obliteration of the bile duct and necrosis of the liver around the portal tract area. Conclusions Arterial embolization of hepatic haemangioma may cause severe biliary damage.
, http://www.100md.com
Key words:Hepatic haemangioma; Artery embolization; Complication
经导管肝动脉栓塞(TAE)是当前治疗肝癌常用的方法,国内将其推广应用于治疗肝良性肿瘤如肝海绵状血管瘤者。但在广泛应用的同时很少有人注意因肝动脉栓塞造成的严重胆道并发症,特别是造成胆管毁坏性的损伤,治疗非常困难。现报告5例因肝动脉栓塞所致的胆道严重并发症及其治疗经过。同时,通过的动物实验以阐明肝动脉栓塞对胆管的影响。
临床资料与方法
1.临床资料:本组5例临床资料见表1。
表1 5例患者临床资料 病例
年龄
(岁)
, http://www.100md.com
性别
原有疾病
栓塞剂
并发症
治疗
1
55
男
肝血管瘤
鱼肝油酸钠+碘油
肝内外胆道闭塞胆汁性肝硬化
门静脉高压
脾切除脾肾静脉吻合、肝管空肠
, http://www.100md.com
Roux-en-Y吻合
2
51
女
肝血管瘤
无水酒精
右肝脓肿 右肝管狭窄胆瘘
肝脓肿引流、肝方叶切除、右肝U型
管支撑、肝管空肠Roux-en-Y吻合
3
62
女
, http://www.100md.com
肝血管瘤
鱼肝油酸钠+碘油
胆汁性肝脓肿
肝门胆管狭窄
肝脓肿引流、左、右肝U形管
支撑、肝管狭窄整形
4
24
女
肝炎性结节
TH胶(手术中)
右肝纤维化、肝门部胆管狭窄
, http://www.100md.com
肝管胆囊十二指肠瘘 黄疸
左、右肝管U管、Roux-en-Y
肝门空肠吻合
5
60
男
肝血管瘤
碘油+钢丝圈+平阳霉素
肝脓肿 肝内、外胆管狭窄
胆囊坏死 肝硬化
正在治疗中
2.典型病例:
, 百拇医药
例1 男,55岁,1989年4月在外院查体发现右肝前叶有4 cm×4.5 cm血管瘤后, 作经导管肝动脉栓塞术,注射碘油10 ml及鱼肝油酸钠4 ml。术后立即出现全腹剧痛,20分钟后剧烈呕吐,持续3~4 d。腹痛持续半个月后逐渐缓解,栓塞后20 d出现巩膜黄染。1989年7月PTC检查发现左、右肝管壁僵硬,肝外胆道闭塞。B超显示胆囊肿大,周围有积液。1989年7月29日手术见胆囊坏死,肝门部胆管壁部分坏死。手术将胆囊及部分肝总管切除,肝总管端端吻合,T管支撑引流。黄疸指数由90 U下降至20 U,每日胆汁800 ml左右。T管保留两年,黄疸指数一直在20~50 U水平。1991年8月28日作胆总管切开取石。另放T管,T管在术后20 d拔除,但黄疸未消退。1992年10月再次作“胆管扩张术”,T管半年后脱落。1994年到我院住院B超、CT检查显示肝内外胆管扩张、肝硬化、门静脉高压、脾肿大、腹腔少量腹水。食管吞钡检查显示食管道中下段静脉曲张。因肝硬化,门静脉高压严重,一次胆道手术困难,只有分2次进行,于1994年6月9日行脾切除,脾-肾分流术减低门静脉压力。待门静脉压力降低后进行第二次手术,作左肝管空肠吻合术,黄疸消退,恢复良好。
, 百拇医药
例2 女,62岁,无临床症状,查体发现肝右叶有10 cm×9 cm的血管瘤,1994年12月在他院行经导管肝动脉鱼肝油酸钠加碘油栓塞,术后上腹部持续性胀痛,阵发性加剧并伴有食欲不振及全身乏力。2个月后B超、CT检查发现肝左叶有5.6 cm×3.2 cm×6.1 cm 低密度区,3个月后开始反复高热并伴有寒战,抗生素治疗效果不佳。1995年5月来我院,B超、CT检查见肝左、右叶有大小不等的多发性脓肿,沿肝门汇管区轴向分布,经皮穿剌引流出胆汁每天180~200 ml,在经皮胆汁引流减压下,仍常伴有发热。1996年6月作肝内胆汁性肝脓肿内坏死组织清除,术中见脓腔中是胆汁染色的“烂棉絮”状组织,沿胆道走向分布,正常肝胆管消失。肝实质萎缩,尾状叶肥大。肝总管有纤维性狭窄环,为引流胆汁,作左、右肝管U管支撑,肝总管狭窄环切开及T管引流术。患者术后体温降至正常,出院时仍有轻度黄疸及低热。1998年末黄疸已消退,情况较好。
例3 女,24岁,1987年3月发现右肝占位病变,在外院行剖腹探查,发现肝脏有肿物,并在右肝结节取组织送病理检查。术中向肝动脉内注射TH胶。术后病理报告为炎性结节,X线片显示TH胶栓塞左、右肝动脉及胃十二指肠的动脉分支。患者患者术后持续地腹痛伴发热、黄疸。于同年11月转入我院治疗,PTC显示肝门部的胆管狭窄,远端的左肝管扩张,造影剂通过肝门部瘘管进入十二指肠。手术中见肝门处肝脏和周围组织坏死后形成广泛地纤维化,胆管纤维化,胆囊已坏死,肝门部与十二指肠球部形成胆瘘,手术非常困难。在切断瘘道修复十二指肠瘘后,沿狭窄的左肝管探查,在左肝裂处找到扩张的左外叶肝管,作左肝管空肠Roux-en-Y 吻合术,U管支撑(图1)。术后黄疸减退,发热次数减少,1年半后拔除U管,2年后曾顺利妊娠生育。5年后死于肝细胞癌。
, 百拇医药
图1 经肝门瘘管至左外叶肝管由Roux-en-Y
空肠段穿出之硅胶“U”管
实验研究
一、方法
1.实验动物:实验动物用体重250 g左右的纯种Wistar大鼠,雌雄不限,分为3组。A组:对照组;B组:注射乙醇3天组;C组:注射乙醇7天组。每组10只鼠。
2.实验方法:大鼠麻醉后,在腹腔动脉和肠系膜上动脉之间及腹腔动脉干近端的腹主动脉上分别系上丝线。然后用动脉夹夹住腹腔动脉向脾、胃和十二指肠的分支。注射前先结扎腹腔动脉干上下端的腹主动脉,之后在腹腔干处的腹主动脉内注射无水乙醇0.2 ml(添加少量的美蓝作为示踪剂)。
对照组也同样麻醉开腹,之后只抽血标本及取肝标本。
, 百拇医药
到观察日期后,将大鼠麻醉,开腹观察肝脏情况,抽血标本作肝功能检查(GPT、GOT、TB、DB、r-GT、ALP、TBA)。进行均数及标准差的计算,取肝脏用甲醛固定,石腊切片,HE染色,光镜观察。
二、结果
大体观察:注射乙醇后大鼠食欲下降,毛色灰暗,B组有大鼠出现黄疸。开腹见B组和C组在肝脏上均能看见黄色小斑块状的肝坏死,分布不均匀,一般集中在某一、二个肝叶上,没有出现腹水。
肝功能检查显示:B组大鼠肝功能有明显的损害,转氨酶及血清胆红素都有显著的增高;C组大鼠肝功能有所恢复。但我们注意到大鼠注射乙醇后的肝功能损害和是否出现黄疸有关,肝功能改变的个体差异较大。
病理观察:肝脏组织经石腊包埋切片,HE染色光镜下观察。A组肝脏结构正常。B组见肝实质中有片状的坏死区。坏死区多位于汇管区,汇管区内,坏死区呈嗜伊红染色,有炎细胞浸润(图2)。多数门静脉保存良好,可见残存的小动脉管壁增厚,胆管不可见。坏死区的肝细胞呈凝固性坏死,细胞质呈嗜伊红颗粒状,细胞核消失。C组坏死区保持肝板形态,坏死周围已有明显的界限,在坏死边缘的炎细胞聚积。在坏死区外的汇管区内见有明显的小胆管增生(图3),说明坏死区域的胆汁的引流受阻。
, 百拇医药
图2 肝汇管区见片状凝固性坏死灶,门静脉仍保存完好
图3 汇管区可见小胆管明显增生、扩张 HE×400
动物实验可复制经肝动脉插管,注入栓塞剂后对肝脏的损害。证明肝动脉内注射无水乙醇后确实可引起肝脏局部坏死,特别是在肝脏的汇管区。肝脏汇管区坏死及肝坏死后将会导致胆汁性的肝脓肿或纤维化造成胆管狭窄。
讨论
1.胆管的血液供应:在肝内胆管、动脉及门静脉是同行于Glisson鞘内,胆管的血液供应全部来自肝动脉,由肝动脉发出分支到胆管,并在胆管的外层相互吻合形成以胆管为轴心的胆管周围血管丛,然后有输出静脉支汇入伴行的门静脉或直接进入肝窦。因此肝内胆管的血供全部来自相伴行的动脉[1,2]。Glisson鞘中的结缔组织的血管也来自肝动脉。在肝外十二指肠以上至肝胆管分叉血管主要来自十二指肠后动脉,右肝动脉及胆囊动脉。血管围绕胆管轴心分布并互相连接成一动脉丛,其主要血管分布在3点和9点上。在肝总管至左右肝管分支的动脉栓塞往往伴有胆囊动脉的栓塞,造成胆囊的炎症甚至坏死。广泛的动脉栓塞对于胆管的损伤远远大于有双重供血的肝细胞。反复单纯肝动脉化疗也可诱发硬化性胆管炎[3],其机理和抗癌药物的毒性有关。目前认为化疗可使胆管的营养血管血栓形成引起胆管慢性缺血最终胆管纤维化,另一方面药物毒性也直接作用于胆管本身造成胆管细胞变性坏死。临床上表现为胆管的慢性缺血,致使胆管的纤维化。
, 百拇医药
2.血管栓塞剂的种类和应用:目前应用最广泛的栓塞剂是碘化油,它对组织和血管的剌激性较小不易造成组织坏死,但在肝动脉栓塞化疗时,碘化油和抗癌药物混合成乳剂,能在局部血管中缓慢持久地发挥作用,将会对肝动脉造成损伤。碘油是一种末稍血管栓塞剂,对较大的血管不能完全栓塞。但同时使用钢丝圈栓塞时,将会造成肝脏较大动脉的栓塞。本组有1例为碘油加钢丝圈栓塞左、右肝动脉引起肝总管及肝内胆管坏死狭窄及肝脓肿形成。
鱼肝油酸钠是一种血管硬化剂,对组织有强剌激作用造成局部的组织坏死和无菌性炎症。能使所灌注血管包括较大的血管完全地闭塞。以往用于静脉曲张的硬化治疗,很少作为栓塞剂用于肝动脉插管治疗。鱼肝油酸钠造成胆管及汇管区急性缺血坏死,肝坏死及肝脓肿,患者在栓塞术后立即出现剧烈的症状。鱼肝油酸钠是否能作肝血管的栓塞剂应予否定。
无水乙醇具有凝固蛋白作用,无水乙醇进入血管内可造成血管的内膜损伤,血液中蛋白变性,形成一种凝固复合物栓塞末稍血管,同时也可造成较大血管的栓塞。本组的动物实验也证实,动脉内注入无水乙醇能造成正常大鼠肝局灶性的急性缺血及肝坏死,并以汇管区的坏死为多,引起胆管阻塞,胆汁引流的障碍。
, http://www.100md.com
TH胶为α-氰基丙烯酸正辛酯单体加少量显影剂和改性剂。混合使用前是液体,注入后能在10分钟内在血管内凝固,可栓塞肝内10~100 μm的微动脉。对血管剌激较小,但能完全把动脉系统栓塞。本组有1例为手术时肝动脉内注入TH胶造成右侧肝动脉系统及肝十二肠韧带血管的栓塞,而导致肝坏死及广泛的肝胆管狭窄。
另一种栓塞剂是40%脲素,对血管有剌激作用。常用于肝血管瘤的栓塞,有记载在肝血管瘤插管硬化治疗中也可引起胆道并发症,特别是在结扎肝动脉后注射栓塞剂容易造成胆道并发症[4]。
分析本组的5例病例,有以下特点:(1)4例患者为肝血管瘤,并在栓塞时选择了比碘油剌激性和破坏性更强的血管栓塞剂;(2)栓塞后均有剧烈持续的腹痛,不缓解等明显的临床症状;(3)广泛的肝动脉栓塞,造成栓塞坏死的部位均在正常肝脏内,沿着胆管走向分布,栓塞后不久形成肝脏的坏死液化;(4)造成胆管损伤是毁坏性的,治疗极为棘手,治疗周期长,给患者造成终身的痛苦。
, http://www.100md.com
3.血管栓塞后并发症的处理:由于栓塞剂造成肝Glisson鞘内结构和周围的肝组织坏死。组织坏死的分布是沿胆管的路径发生的,伴有该区域的胆管坏死,而部分肝细胞尚能保存,继续分泌胆汁,形成胆汁性肝脓肿。在发生坏死区域的胆管完全毁坏,胆管无法重新修复。给予适当长期的胆汁引流后,该区域肝脏会逐渐地失去功能而萎缩。当肝门部胆管发生坏死和纤维性狭窄时,可引起阻塞性黄疸,长期胆汁引流不畅可造成胆汁性肝硬化。我们治疗这5例的经验是由肝动脉栓塞引起的胆管损伤需要一个较长时间的分阶段治疗。在治疗的第一阶段主要以坏死区域的胆汁和坏死组织引流为主,控制感染。经一段时间的引流后,坏死的区域界限明确,胆管损伤区域的肝实质开始功能性萎缩。第二阶段治疗对部分胆道坏死的病例可作区域性的肝切除及肝坏死组织清除。如果是中心型的胆管损伤,需要对肝门部的胆管狭窄进行切开并用空肠和左右肝胆管进行吻合,放U形管支撑。这类患者常合并有胆汁性肝硬化,门静脉高压,需在修复性胆道手术前进行减低门静脉压力的手术,如脾-腔或脾-肾静脉分流等。因在门静脉高压下肝门部形成很多侧支循环,很难进行肝门部的胆道手术。在肝内全胆道坏死的情况下,作双侧的U管引流较为合适。但最终仍不免造成患者的终身残疾。
, http://www.100md.com
总之,为了防止肝动脉栓塞后的严重胆道并发症,应特别禁止使用那些作用强烈的血管硬化剂。
参考文献:
[1]黄晓强.肝脏微循环在肝硬化及胆管阻塞时的改变.国外医学外科学分册,1986,6:321-323.
[2]黄晓强,杨可祯,黄志强.阻断胆管后肝微血管改变的实验研究.中华实验外科杂志,1987,4:151-153.
[3]Kemeny MM,Battifora H,Blayney DW,et al. Sclerosing cholangitis after continuous hepatic artery infusion of FUDR.Ann Surg,1985,202:176-181.
[4]高寰,韩庆,李宗芳.肝血管瘤插管硬化治疗的并发症及防治.中国实用外科杂志,1994,14:33-35.
收稿日期:1999-09-20, 百拇医药