耳源性硬脑膜下脓肿大脑镰下疝成功抢救一例
http://www.100md.com
37c医学网
作者:崔少云 梁耀基 王展图
单位:崔少云(广东省 番禺市人民医院耳鼻咽喉科 511400);梁耀基(广东省 番禺市人民医院耳鼻咽喉科 511400);王展图(广东省 番禺市人民医院耳鼻咽喉科 511400)
关键词:
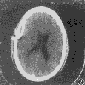
中华耳鼻咽喉科杂志000132 患者男,26岁。因发热、头痛、呕吐10天,左上肢乏力7天,于1998年11月7日收入神经内科。追问病史,患者有右耳反复流脓20余年伴听力下降史。入院时查:血压125/62 mm Hg(1 mm Hg=0.133 kPa),体温37.9℃,脉搏60次/min,呼吸18次/min。神志淡漠,言语欠流利,能对答,双侧瞳孔等大同圆,直径约2.5 mm,对光反射存在。左上肢肌力Ⅰ级,左下肢肌力Ⅳ级;椎体束征(-)。予以青霉素,氯霉素、灭滴灵静脉点滴。腰椎穿刺,脑脊液检查示:外观澄清透明,无凝块,潘氏试验(-),白细胞50×106/L, 红细胞100×106/L,蛋白0.51 g/L,葡萄糖7.9 mmol/L,氯化物110.9 mmol/L,隐球菌(-),抗酸菌(-)。入院后第4天四肢多次抽搐,入院后第5天头颅CT示右额颞部亚急性硬膜下血肿或积液,第7天右乳突CT检查示右乳突胆脂瘤考虑合并感染,已突入中颅凹,第8天以右慢性化脓性中耳炎(胆脂瘤型)合并耳源性硬脑膜下脓肿转入我科。继续以上述抗生素静脉点滴,并加20%甘露醇250 ml每日2次静脉点滴,地塞米松10 mg每日2次静脉推注。第9天患者出现心率及呼吸减慢,分别约40~50次/min及10~15次/min,双侧瞳孔扩大,直径约3~3.5 mm,对光反射减弱。出现尿少和尿失禁,考虑有脑疝形成。即行颅脑CT检查:右额颞部硬膜下积液,右颞部脑水肿,中线结构左移,脑底池变窄、欠清晰,两侧裂及脑沟不清,大脑镰下疝(图1)。在麻醉师监测下,与脑外科医师合作,在局部麻醉下先行右颞枕部钻孔硬脑膜下脓肿引流术,引出脓液约70 ml,脓液送细菌培养加药物敏感试验。以庆大霉素生理盐水冲洗脓腔,于颞部置导尿管2条作引流。行右乳突根治术,术中见右外耳道后壁骨质、天盖及乙状窦骨板破坏。术后继续注射上述抗生素、甘露醇、地塞米松。每日以生理盐水冲洗引流管,患者未再出现抽搐、呕吐。术后第4天,瞳孔直径约2.5 mm,对光反射正常。复查脑CT:右侧额颞部硬膜下积脓已基本吸收,有气泡,右颞叶片状脑炎已基本吸收变淡,脑肿胀减轻,中线结构移位较前明显改善(图2)。术后第6天,拔除右颞部引流管。患者病情好转,左上肢肌力Ⅲ级,左下肢肌力Ⅳ级。由于脓液细菌培养结果为阴性,继续使用原抗生素。患者于1998年12月2日出院,出院时,言语对答流利,左上肢肌力Ⅳ级,左下肢肌力Ⅴ级。3个月后随访,无复发,无后遗症,能进行正常的工作和生活。
, http://www.100md.com
图1 右额、颞顶部硬膜下积脓、右颞部脑水肿、右侧脑室受压,中线结构左移1.8~2.0 cm,脑底池变窄、欠清,两侧裂及脑沟不清,脑回增粗。
图2 右侧额颞顶部硬膜下积脓已基本消失,中线构结移位明显改善。
讨论:耳源性硬脑膜下脓肿手术是治疗的主要措施。若病情紧急出现呼吸停止或昏迷,应急行颅骨钻孔穿刺抽脓,由脑外科医师,在脑CT的准确定位指引下,行颅骨钻孔穿刺抽脓。耳源性脑疝较常见的有小脑幕切迹疝和枕骨大孔疝,大脑镰下疝较少见。临床上可根据患者出现的症状、体征和颅脑CT检查,可确定脑疝的类形,以作相应的处理。大脑镰下疝的主要表现是:早期可出现不同程度的情绪功能障碍,表现为精神运动不安;有时合并幻觉和谵妄,也可能变成梦幻样状态;随后可出现精神性功能压抑,表现为乏力,运动不能及嗜睡;后期为失代偿期,可出现昏睡并可能转为昏迷。药物治疗是治疗耳源性脑内并发症的重要一环,应针对细菌培养和药物敏感试验结果使用抗生素,注意使用容易通过血脑屏障的药物。本例使用了大剂量的青霉素、氯霉素及灭滴灵,及时使用脱水剂及肾上腺皮质激素,以减轻脑组织水肿及降颅内压,为手术治疗创造了有利条件。
收稿日期:1999-04-13, 百拇医药
单位:崔少云(广东省 番禺市人民医院耳鼻咽喉科 511400);梁耀基(广东省 番禺市人民医院耳鼻咽喉科 511400);王展图(广东省 番禺市人民医院耳鼻咽喉科 511400)
关键词:
中华耳鼻咽喉科杂志000132 患者男,26岁。因发热、头痛、呕吐10天,左上肢乏力7天,于1998年11月7日收入神经内科。追问病史,患者有右耳反复流脓20余年伴听力下降史。入院时查:血压125/62 mm Hg(1 mm Hg=0.133 kPa),体温37.9℃,脉搏60次/min,呼吸18次/min。神志淡漠,言语欠流利,能对答,双侧瞳孔等大同圆,直径约2.5 mm,对光反射存在。左上肢肌力Ⅰ级,左下肢肌力Ⅳ级;椎体束征(-)。予以青霉素,氯霉素、灭滴灵静脉点滴。腰椎穿刺,脑脊液检查示:外观澄清透明,无凝块,潘氏试验(-),白细胞50×106/L, 红细胞100×106/L,蛋白0.51 g/L,葡萄糖7.9 mmol/L,氯化物110.9 mmol/L,隐球菌(-),抗酸菌(-)。入院后第4天四肢多次抽搐,入院后第5天头颅CT示右额颞部亚急性硬膜下血肿或积液,第7天右乳突CT检查示右乳突胆脂瘤考虑合并感染,已突入中颅凹,第8天以右慢性化脓性中耳炎(胆脂瘤型)合并耳源性硬脑膜下脓肿转入我科。继续以上述抗生素静脉点滴,并加20%甘露醇250 ml每日2次静脉点滴,地塞米松10 mg每日2次静脉推注。第9天患者出现心率及呼吸减慢,分别约40~50次/min及10~15次/min,双侧瞳孔扩大,直径约3~3.5 mm,对光反射减弱。出现尿少和尿失禁,考虑有脑疝形成。即行颅脑CT检查:右额颞部硬膜下积液,右颞部脑水肿,中线结构左移,脑底池变窄、欠清晰,两侧裂及脑沟不清,大脑镰下疝(图1)。在麻醉师监测下,与脑外科医师合作,在局部麻醉下先行右颞枕部钻孔硬脑膜下脓肿引流术,引出脓液约70 ml,脓液送细菌培养加药物敏感试验。以庆大霉素生理盐水冲洗脓腔,于颞部置导尿管2条作引流。行右乳突根治术,术中见右外耳道后壁骨质、天盖及乙状窦骨板破坏。术后继续注射上述抗生素、甘露醇、地塞米松。每日以生理盐水冲洗引流管,患者未再出现抽搐、呕吐。术后第4天,瞳孔直径约2.5 mm,对光反射正常。复查脑CT:右侧额颞部硬膜下积脓已基本吸收,有气泡,右颞叶片状脑炎已基本吸收变淡,脑肿胀减轻,中线结构移位较前明显改善(图2)。术后第6天,拔除右颞部引流管。患者病情好转,左上肢肌力Ⅲ级,左下肢肌力Ⅳ级。由于脓液细菌培养结果为阴性,继续使用原抗生素。患者于1998年12月2日出院,出院时,言语对答流利,左上肢肌力Ⅳ级,左下肢肌力Ⅴ级。3个月后随访,无复发,无后遗症,能进行正常的工作和生活。
, http://www.100md.com
图1 右额、颞顶部硬膜下积脓、右颞部脑水肿、右侧脑室受压,中线结构左移1.8~2.0 cm,脑底池变窄、欠清,两侧裂及脑沟不清,脑回增粗。
图2 右侧额颞顶部硬膜下积脓已基本消失,中线构结移位明显改善。
讨论:耳源性硬脑膜下脓肿手术是治疗的主要措施。若病情紧急出现呼吸停止或昏迷,应急行颅骨钻孔穿刺抽脓,由脑外科医师,在脑CT的准确定位指引下,行颅骨钻孔穿刺抽脓。耳源性脑疝较常见的有小脑幕切迹疝和枕骨大孔疝,大脑镰下疝较少见。临床上可根据患者出现的症状、体征和颅脑CT检查,可确定脑疝的类形,以作相应的处理。大脑镰下疝的主要表现是:早期可出现不同程度的情绪功能障碍,表现为精神运动不安;有时合并幻觉和谵妄,也可能变成梦幻样状态;随后可出现精神性功能压抑,表现为乏力,运动不能及嗜睡;后期为失代偿期,可出现昏睡并可能转为昏迷。药物治疗是治疗耳源性脑内并发症的重要一环,应针对细菌培养和药物敏感试验结果使用抗生素,注意使用容易通过血脑屏障的药物。本例使用了大剂量的青霉素、氯霉素及灭滴灵,及时使用脱水剂及肾上腺皮质激素,以减轻脑组织水肿及降颅内压,为手术治疗创造了有利条件。
收稿日期:1999-04-13, 百拇医药