当前位置:
首页
>
医学版
>
分类新闻
>
国内信息
> 正文
编号:
10515133
图片新闻
http://www.100md.com
2001年9月13日
中国医学论坛报
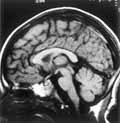
北京天坛医院神经外科罗世祺教授等,自1994-2000年,共收治了18例下丘脑错构瘤患儿,其中男女各9例,年龄1岁5月-14岁(平均5.8岁)。11例患儿采用开颅显微手术,效果满意。所有患儿术后1-2年随访,内分泌激素全部恢复到正常水平。
*u?&, 百拇医药
上图为一例患儿术前的头颅MRI片,箭头所示为下丘脑错构瘤,下图为该患儿术后错构瘤已消失。
http://www.100md.com/html/Dir/2001/09/13/51/53/13.htm